上周,第二十三全国心血管年会暨第十二届海峡心血管病高峰论坛在厦门召开。厦心王焱院长带领结构性心脏病团队应邀向全国实时成功演示2例经导管主动脉瓣膜置换术(TAVI),患者均为高龄、复杂,外科手术高危人群。12月12日又向全国实时成功演示一例高龄、复杂,重度二尖瓣反流患者二尖瓣钳夹术(MitraClip)
病史简介
患者是一名84岁的高龄老人,反复胸闷气促年多年,多次心衰发作入院,此次慕名就诊厦心经检查患者二尖瓣后叶脱垂伴重度关闭不全。因患者同时合并有严重贫血、房颤、高血压、肾功能不全等问题,采用传统的外科开胸手术风险极高。经厦心结构性心脏病团队讨论,准备为其行二尖瓣钳夹术。主要诊断:心脏瓣膜病,二尖瓣脱垂伴重度关闭不全 二尖瓣腱索断裂 主动脉瓣及三尖瓣中度关闭不全 持续性心房颤 肺动脉高压 慢性肾功能不全 重度贫血,持。
入院后行TTE示:LA48mm,AAO44mm,LVDD 56mm,LVS 34mm,LVEF 45%,重度二尖瓣反流。
1、二尖瓣脱垂伴重度反流(DMR4+),二尖瓣后叶腱索断裂
2、主动脉瓣钙化并中度反流
3、中度三尖瓣反流;中重度肺动脉高压
4、左心扩大,升主动脉增宽,肺动脉增宽
5、左室整体收缩功能正向,舒张功能III级减退
行TEE示:二尖瓣P2脱垂并累及部分P3区(DMR4+)、后叶腱索断裂、二尖瓣口舒张期几何面积 5.25cm2、收缩期二尖瓣口偏心性反流束缩流颈宽度8.0mm、PISA定量瓣口EROA=0.65cm2。STS评分13.009%。
手术过程:
手术麻醉,穿刺房间隔后,常规输送夹合器至二尖瓣水平。首次XTR夹合位于A2/P2区域,TEE提示夹合器两侧仍有反流束。团队重新讨论评估后,松解夹合器,并向P3区域适当调整后重新夹和, TEE示:夹合器偏P3侧反流消失,但偏P1侧仍有少中量反流,测得此刻二尖瓣跨瓣平均压差4mmHg,考虑压差较高与残余反流相关,随后于第一枚夹合器外侧植入第二枚XTR夹合器, 即刻TEE示:二尖瓣反流降基本消失,测得二尖瓣平均跨瓣压差2mmHg。X线及TEE提示双夹稳定,血压维持在110/60mmHg。术后即刻患者苏醒,诉胸闷、气促症状缓解。

术前X-plane

术前X-plane
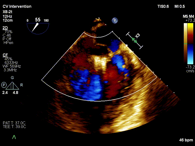
术前3D colour
术后 commissure view 提示反流微量
术后 3D colour view
欧洲瓣膜病流行病学调查显示,所有外科或经导管治疗的瓣膜病患者中,二尖瓣患病率仅次于主动脉瓣。二尖瓣返流和狭窄占所有瓣膜病治疗的比例为21%和5%。
最新的欧洲瓣膜病指南推荐TEER用于具有良好解剖结构、手术风险高的继发性二尖瓣反流(SMR)患者,以及心衰治疗,推荐级别IIb。2020年ACC / AHA心脏瓣膜病指南推荐级别为IIa,TEER适用于那些采用最佳的药物治疗,但仍有严重二尖瓣反流的退行性二尖瓣反流(DMR)患者,或存在外科手术禁忌症或高风险,或合并左室功能低下(EF<50%)的慢性严重SMR患者。目前,经导管二尖瓣钳夹术已成为外科手术风险高危的重度二尖瓣反流患者改善症状和预后的有效替代策略。

DSA提示双夹稳定
自经股静脉二尖瓣钳夹技术在国内获批应用以来,厦门大学附属心血管病医院在该领域不断创新,勇于挑战,无论手术量及手术难度都处于国内领先地位。此次为这位高龄终末期心衰患者成功施行微创二尖瓣修复手术,有望改善患者的临床症状和预后,也给广大二尖瓣反流的心衰患者带来了福音。