2021年12月21日,四川大学华西医院心脏内科陈茂、冯沅教授,联合麻醉科朱涛教授、陈果教授,心脏外科蒙炜教授等组成的多学科团队,使用全球首款全释放可回收自膨干瓣主动脉瓣膜置换(TAVR)系统Venus-PowerX(杭州启明医疗器械股份有限公司),成功完成首例应用于人体(First-in-Man,FIM)的临床试验。
患者男性,80岁,伴有反复胸闷和气喘症状,超声心动图提示:主动脉瓣狭窄(重度)反流(中度)、LVEF:62%、 最大跨瓣流速:4.9m/s、平均跨瓣压差:46mmHg。经评估采用Venus-PowerX 26mm瓣膜,术后主动脉瓣无瓣周漏及中心反流,平均跨瓣压差:6mmHg,最大跨瓣流速:1.6m/s,有效瓣口面积1.8cm2,效果良好。
术前CT
瓣环:周长71.9mm,最大径25.6mm
法氏窦:周长109.7mm,最大径36.0mm
STJ:周长86.2mm
左冠高度:12.519mm
右冠高度:20.306mm
主动脉弓以及外周血管情况
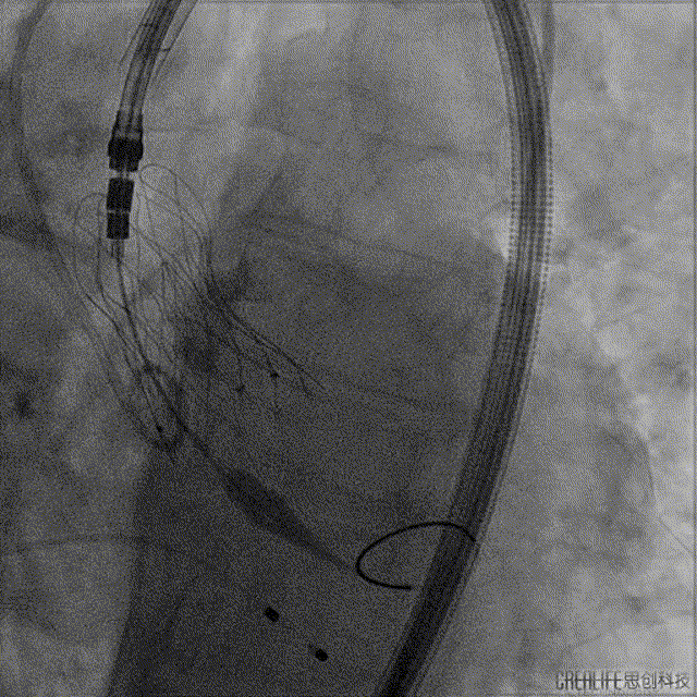
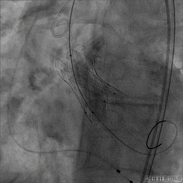
手术过程:

Numed 20mm*40mm 球囊预扩:Video 1

Venus-PowerX 26mm人工瓣膜开始定位:Video 2

释放过程中:Video 3

完全释放:Video 4

Numed 20mm*40mm 球囊后扩:Video 5

最终效果:Video 6
Venus-PowerX是全球首款全释放可回收自膨干瓣TAVR产品,在临床应用中存在独特优势。与第一代、第二代自膨瓣(VenusA-Valve®及VenusA-Plus®)相比,Venus-PowerX拥有线控技术,在瓣膜100%完全释放后,仍可进行回收;人工瓣膜采用启明医疗自主研发的特制干瓣,运用先进的抗钙化处理工艺,可直接在常温中保存,且保存过程中瓣叶不会因脱水导致机械性能受损,具有较长的耐久性;另外,干瓣不含醛残留,可进行预装,在提升安全性的同时,便于临床使用和瓣膜储藏运输。
作为Venus-PowerX的主要研究者(PI),四川大学华西医院陈茂教授表示:“非常荣幸可以参与到PowerX的全球首例FIM。作为启明医疗自主研发的第三代TAVR产品,PowerX具有全可回收的特点,提高了TAVR手术的安全性和瓣膜定位的准确性。同时,瓣架较短,过弓顺畅,并延续了一代二代产品的显影标记,在术中利于精准释放。此次采用的干瓣技术,大幅减少手术准备时间,提升瓣膜耐久性,真正令医患受益。”
团队介绍:
四川大学华西医院心脏内科作为国内最大的TAVR中心之一,在主动脉瓣疾病的介入治疗上有着丰富的经验;同时也正在大力开展二尖瓣、三尖瓣及肺动脉瓣疾病的介入治疗。目前已完成TAVR总手术量超过1400例,包括二叶式畸形(占比超四成)、横位心、折叠弓等挑战解剖;除重度主动脉瓣狭窄,治疗还涵盖单纯重度主动脉瓣反流(逾百例),外科生物瓣或TAVI瓣衰败(达数十例);除常规股动脉入路,亦开展经颈动脉/锁骨下动脉、经升主动脉,并完成全国首例经腔静脉途径TAVR;并能为危重AS患者,常规开展急诊TAVR。