中国医科大学附属盛京医院庞文跃团队冠脉高风险、横位心、二叶瓣TAVR+烟囱支架精彩病例
2021-12-24 11:22
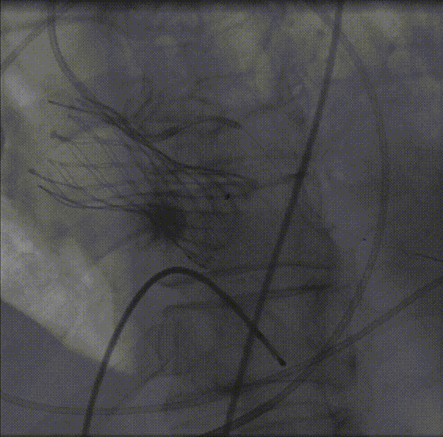
近日,中国医科大学附属盛京医院心脏内科庞文跃主任团队成功完成一例高难度复杂的TAVR病例。庞文跃主任团队经过术前的精准评估,发现患者左冠闭塞风险高、横位心、Type1型二叶瓣。通过术中紧密配合应用“snare技术”和“烟囱技术”,加上plus系统可回收再定位功能,顺利植入TAVR瓣膜,术后血流动力学有效改善,手术取得圆满成功!
(从右至左)万继业、郭思聪、张新忠
一般病史介绍
男性,75岁
反复胸闷气短半年,加重半个月
既往无高血压/糖尿病/冠心病病史
当地医院TTE提示主动脉瓣膜重度狭窄,大量心包积液,药物保守治疗无好转,胸闷症状持续加重,夜间憋醒
冠状动脉造影阴性
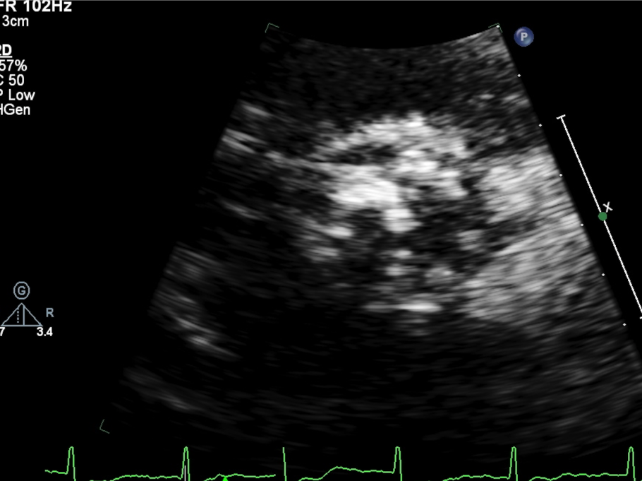
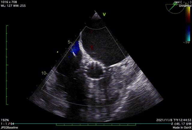
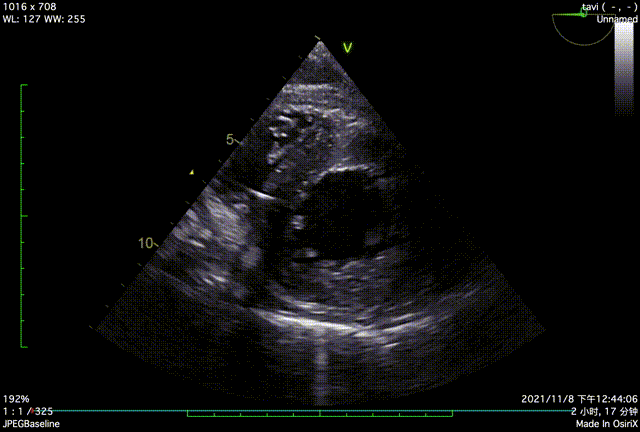
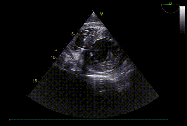
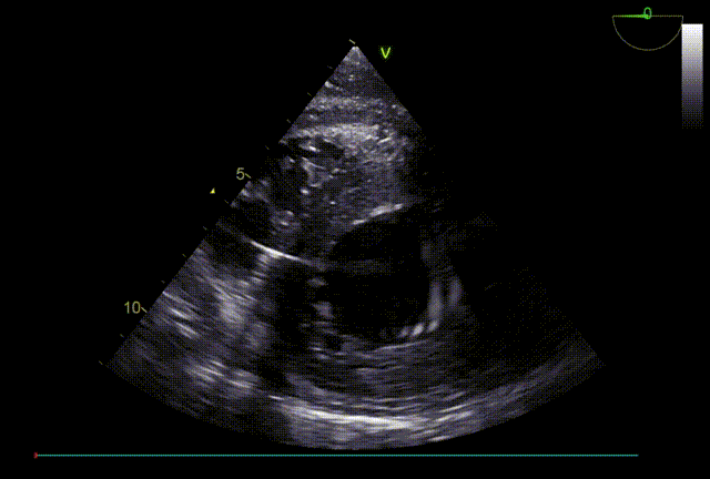
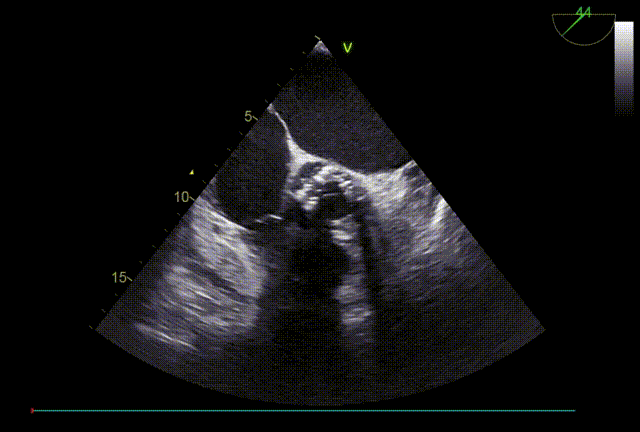
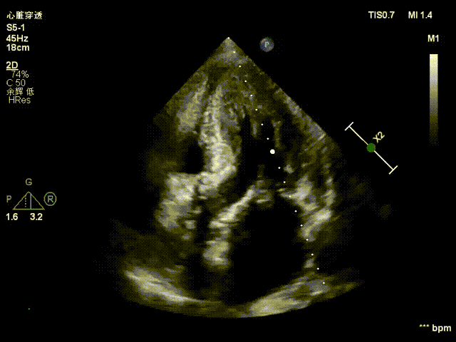
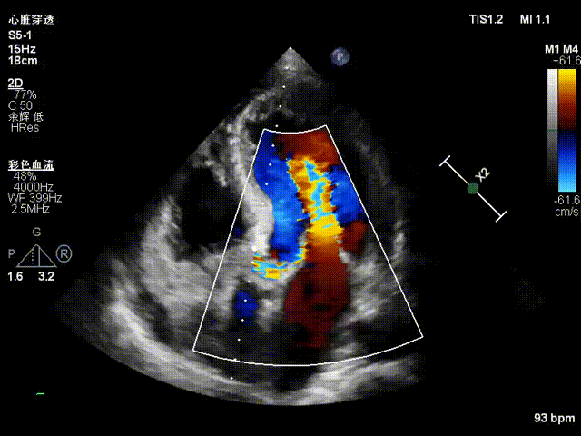
TTE入院
ECG术前
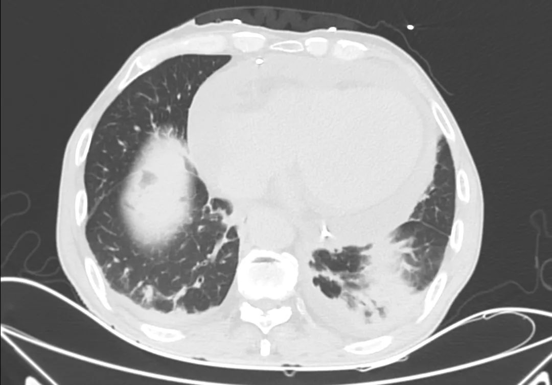
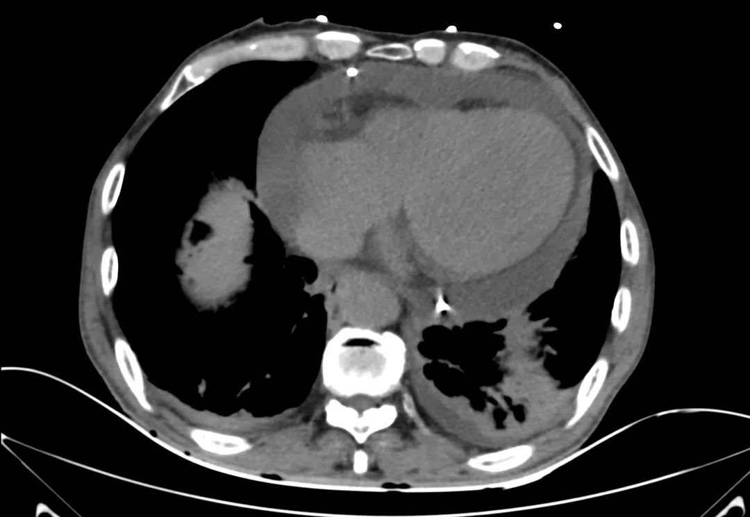
胸部CT
心包穿刺引流
3D入路全程
R/L股动脉分叉位置
主入路条件
左心耳
心室腔大小S/D

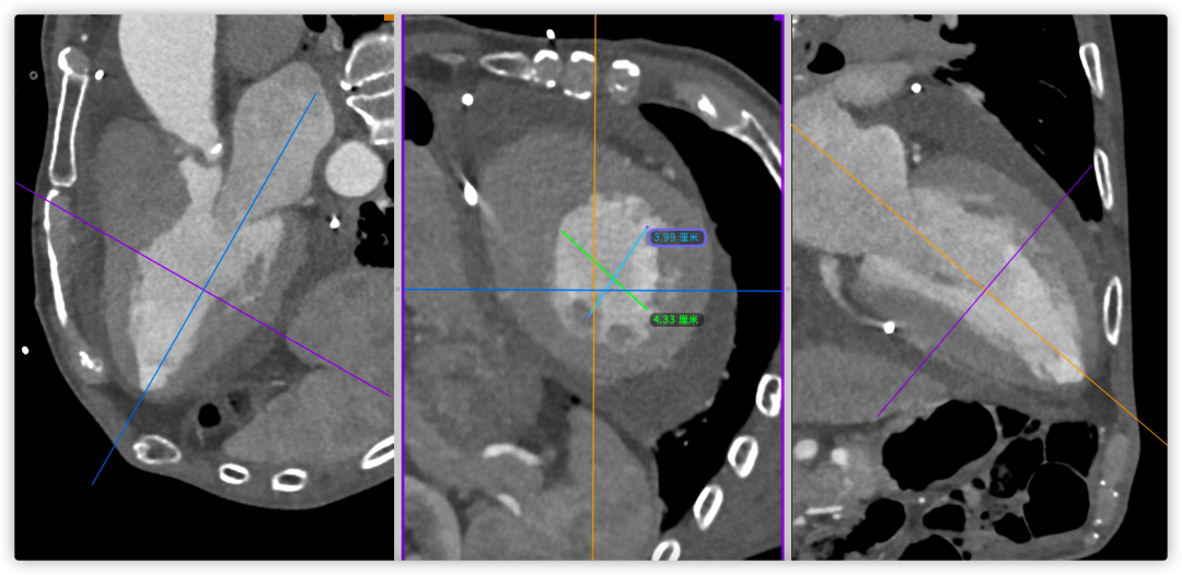
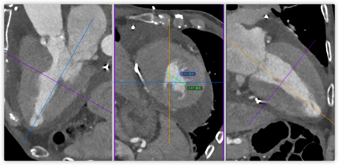
主动脉根部CT断层
根部角度/瓣环/左室流出道
瓣上结构2,4,6,8,10,12mm
SOV/STJ/AAO
SOV/STJ/AAO
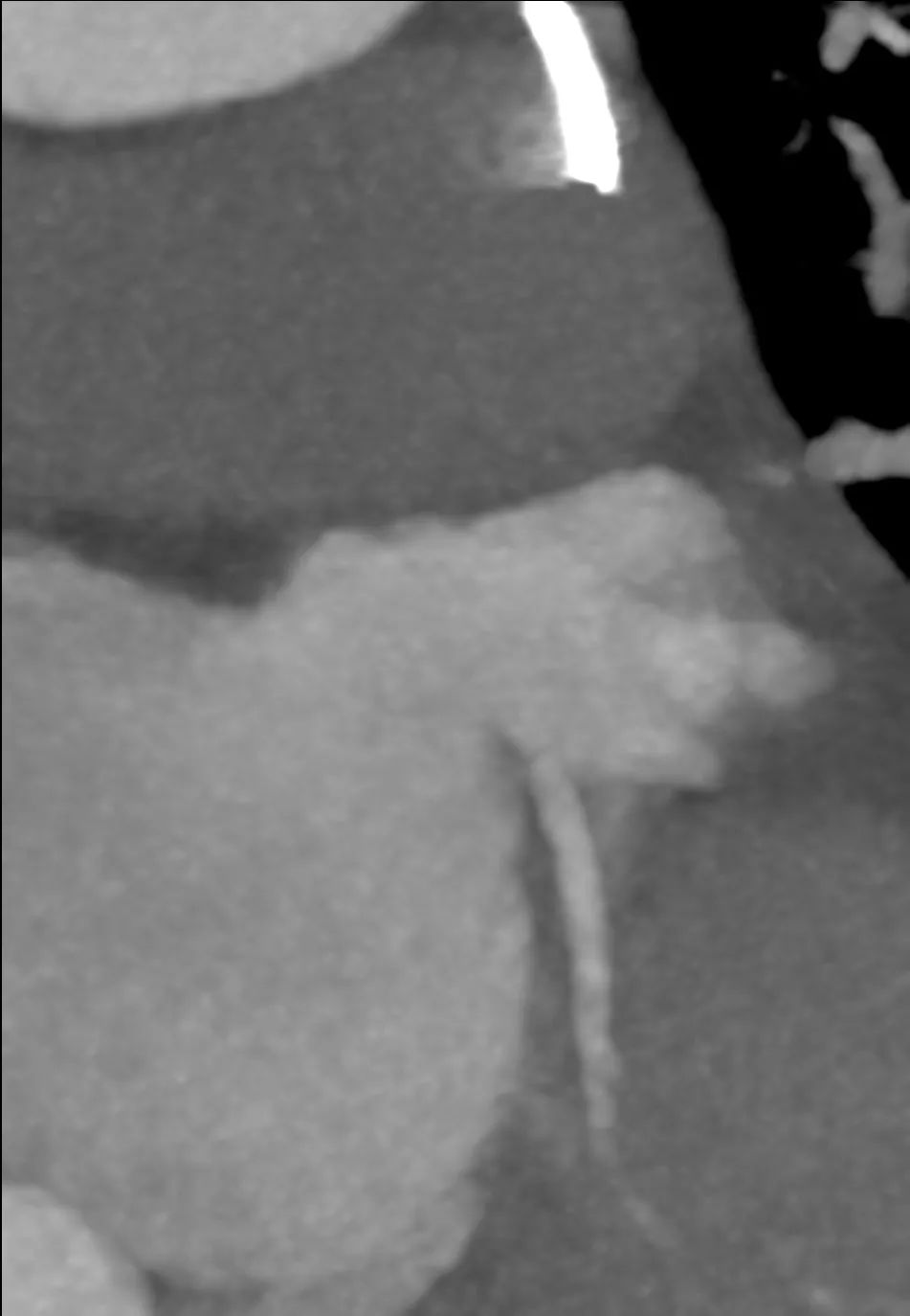
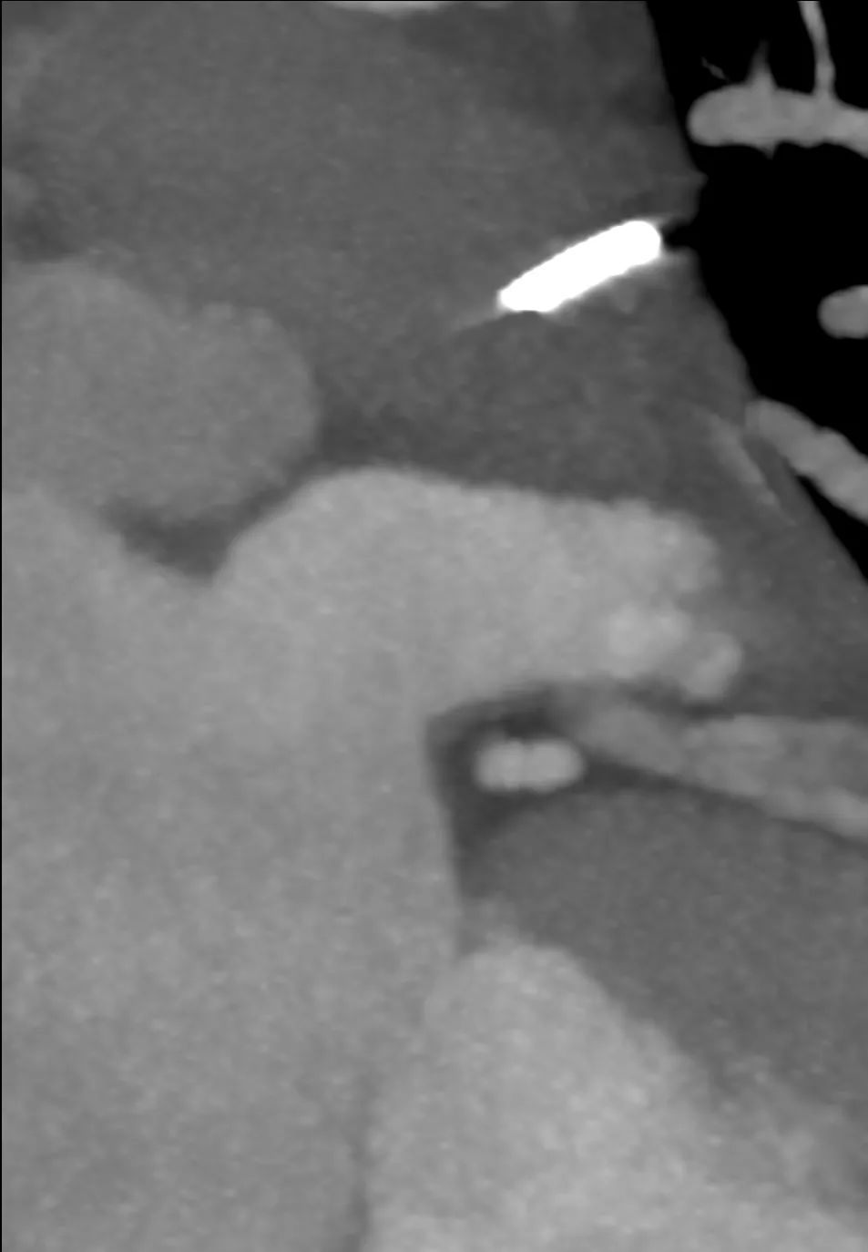
左冠风险评估
间隔膜部
病例难点(GA+TEE)

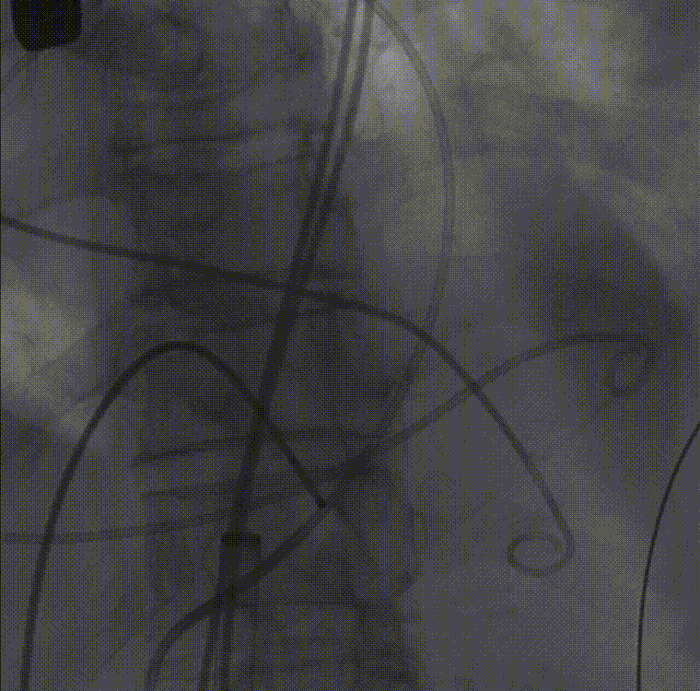
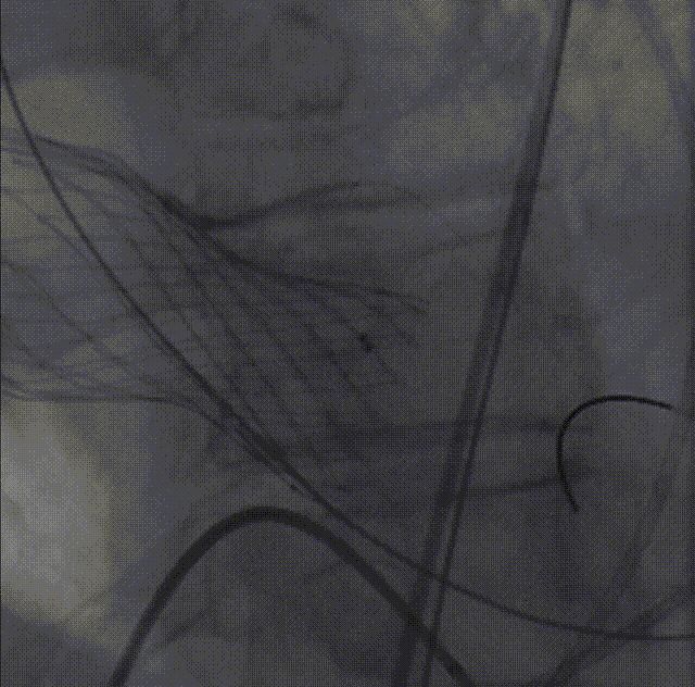
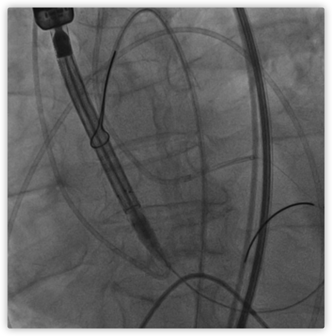
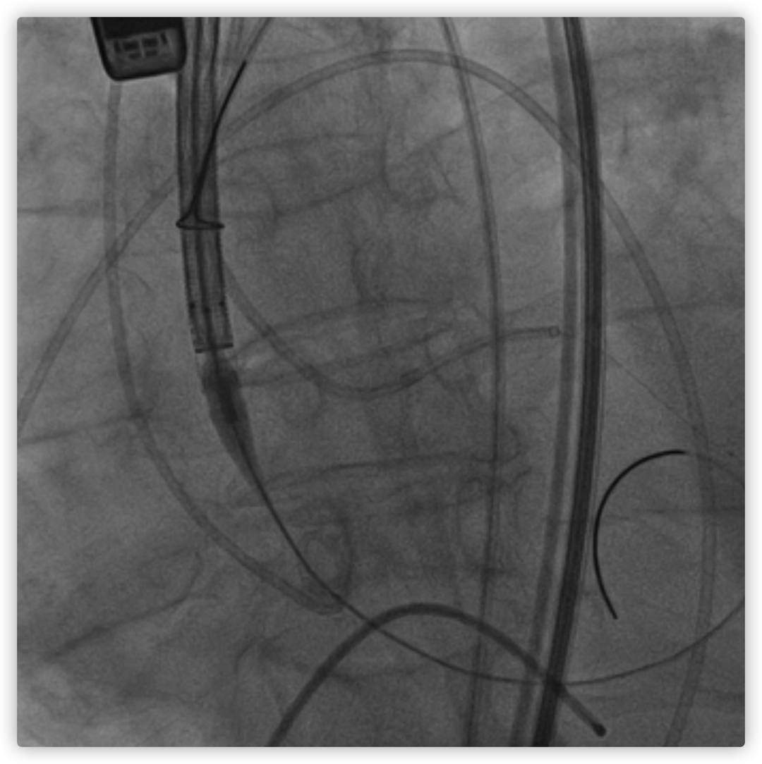
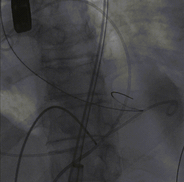
26VenusAplus+snare






瓣膜内22mm球囊后扩张,左冠无显影
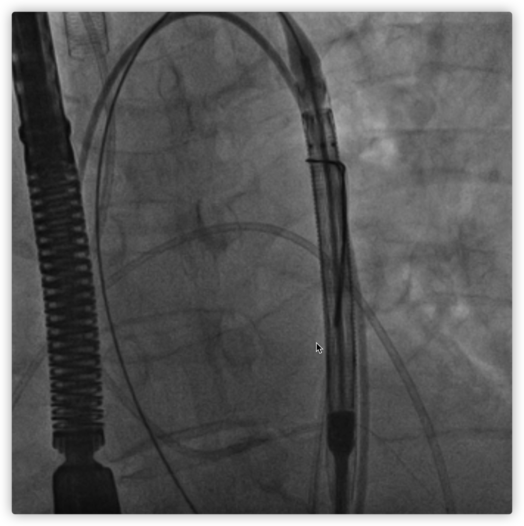
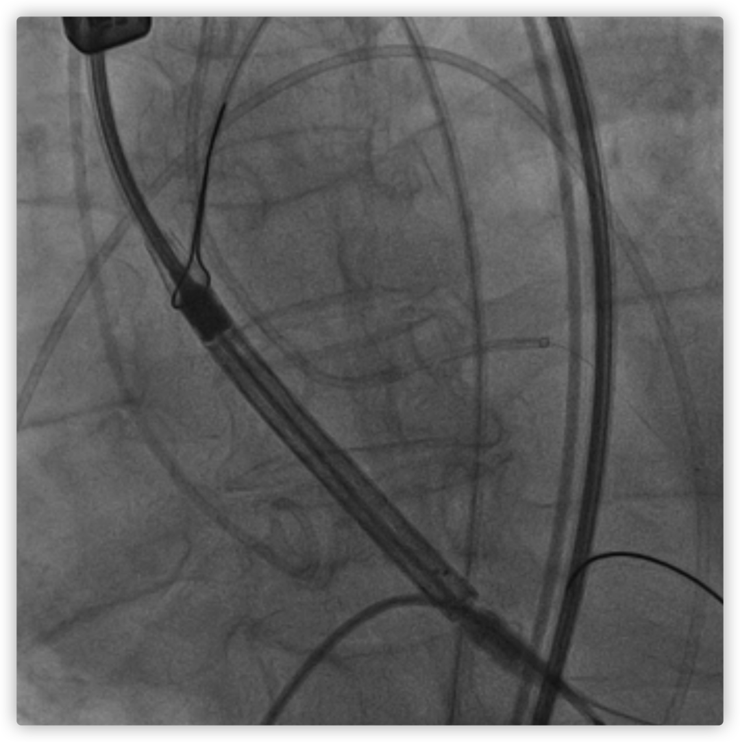
LM烟囱支架植入4.0*30mm

ECG术后即刻
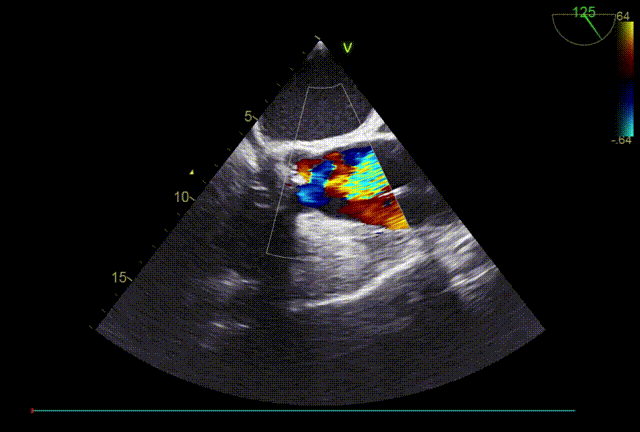
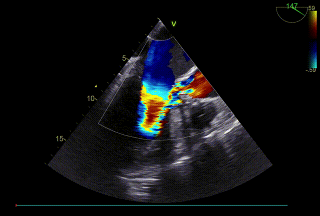
TTE
ECG出院时
TAVR团队专家介绍