结瓣同行,贞心护航。
本着相互交流,共同学习的初衷,“贞”心一“课”系列活动于2021年11月初正式拉开帷幕。该活动由安贞医院心脏瓣膜病介入中心发起,通过与亚太结构性心脏病青年俱乐部(APSHD)开展的”结瓣同行“活动合作,特以每周定期分享二尖瓣/三尖瓣修复和替换案例的形式,以贴近临床的诸多病例为桥梁,搭建安贞与广大青年结构性心脏病术者相互交流学习的平台,集众智,聚众力,共同推动我国结构性心脏病先进诊疗技术的普及与再提高。
本周,首都医科大学附属北京安贞医院宋光远教授团队带来了风湿性心脏病合并瓣叶脱垂TEER治疗1例。
患者术前资料
基本情况:患者76岁女性,主因“间断喘憋3年,加重2月”入院,患者3年前活动(快步走)时出现喘憋症状,无胸痛,呈阵发性,经休息可缓解,就诊于当地医院,行超声心动图:二尖瓣瓣叶增厚,二尖瓣脱垂并关闭不全(中-重度),予口服药物,上述喘憋症状仍间断出现,先后辗转于多家医院均予调整口服药物治疗。近2月来,患者轻微活动(慢走数米)即出现喘憋症状,伴夜间不能平卧入睡,遂于当地医院就诊,超声提示:EF:57%,二尖瓣瓣叶增厚并重度关闭不全,诊断为:“心力衰竭”,予药物(袢利尿剂、β受体阻滞剂、诺欣妥、地高辛、螺内酯)治疗后上述症状缓解出院,但症状时有反复仍需间断住院治疗,今为进一步诊治来我院,心电图提示心房颤动, 经胸超声心动图提示:EF:58%,二尖瓣瓣叶增厚,瓣口面积小,风湿性心脏瓣膜病可能性大,二尖瓣后叶脱垂(P2区),二尖瓣重度关闭不全,以“心脏瓣膜病,二尖瓣重度关闭不全,心脏扩大,心房颤动,心力衰竭”收入院。
既往病史:高血压,肺栓塞(已纠正),否认糖尿病
二尖瓣置换STS评分:3.042%
入院诊断:心脏瓣膜病(混合性),二尖瓣脱垂(P2区),二尖瓣重度关闭不全, 心脏扩大,心房颤动,心功能IV级(NYHA分级),高血压,肺栓塞(已纠正)。
术前评估
1.经胸超声心动图评估发现二尖瓣瓣叶增厚,瓣口面积小,提示有风湿性二尖瓣基础病变;
2. 患者P2区脱垂,这是导致患者二尖瓣大量反流最主要的原因;
3. 患者双房扩大,二尖瓣瓣环扩张,腱索牵拉后叶,瓣叶“扁平化“改变加重对合不良,因此房性FMR也参与了患者血流动力学改变的进程。
患者高龄、心衰时间较长、体型瘦小虚弱,无法耐受外科手术治疗,在门诊和入院初期评估时,由风湿性+功能性+退行性等多种原因导致的二尖瓣病变病理生理机制也给经导管介入治疗带来极大的挑战。门诊经胸超声心动图提示风湿性改变伴有轻度二尖瓣狭窄是传统意义上经导管缘对缘修复技术的禁忌,脱垂区后叶因AFMR参与被牵拉较短也是TEER的技术瓶颈。但患者反复心衰发作,病情恶化迅速,积极治疗重度的二尖瓣反流将是改善患者预后的一线生机。因此入院后我们通过经食道超声给这位患者进行了细致的评估后发现,患者的确有二尖瓣瓣叶增厚的改变,跨瓣压差在3-5mmHg,二尖瓣瓣口面积在4.43cm²,并没有明显的开放受限,瓣膜面积相对来说是TEER治疗的临界水平,后叶长度约7mm,尽管相对较短,在我们前期的TEER治疗患者中也可以达到充分的钳夹长度。因此经过心脏团队反复的综合评估,认为该患者有TEER治疗成功的机会,在充分药物治疗,患者心衰症状改善且病情平稳后,在患者以及家属强烈要求下,我们积极完善术前准备,择期行TEER治疗。
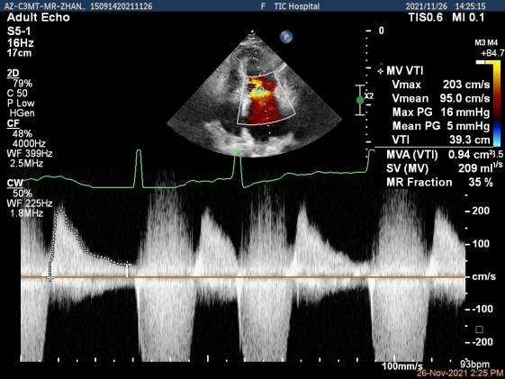
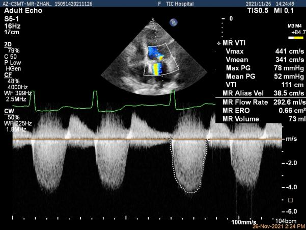
术前超声评估结果
术前超声诊断
Qlab软件勾画估测瓣口面积约:4.42cm²
二尖瓣口平均跨瓣压差:5mmHg
手术过程
患者麻醉方式为全麻,建立静脉通路后,穿刺右侧股静脉,预埋ProGlide缝合器,食道超声指导下房间隔穿刺成功,将Superstiff导丝送至左房,应用18F鞘管扩张穿刺部位,沿导丝将导引导管送入左房,应脉MSG0101操作系统调整后顺利到达二尖瓣目标位置,在食道超声辅助下,将成形夹(MCD0100)精确定位后,成功夹合二尖瓣A2-P2区,超声显示少量残余分流,整体反流量改善至少2级以上,后多切面证实夹合组织充分,肺静脉多普勒波形由反向恢复正常,手术顺利结束,安返普通病房。
术中及术后即刻超声评估
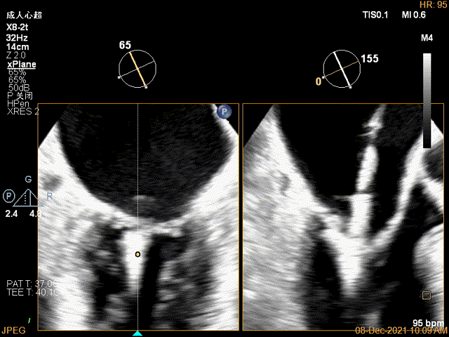
3D视图菲薄的卵圆窝,穿刺点位近似于3点位
3D视图下大鞘位置及长度测量
2D视图下trajectory
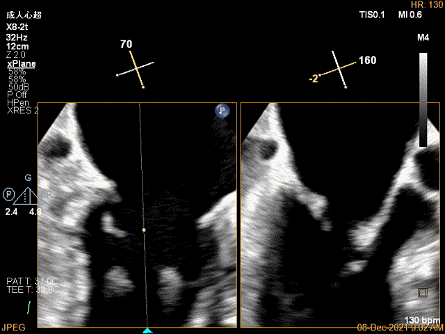
2D视图下开夹子
3D视图下调整夹子位置及Rotate
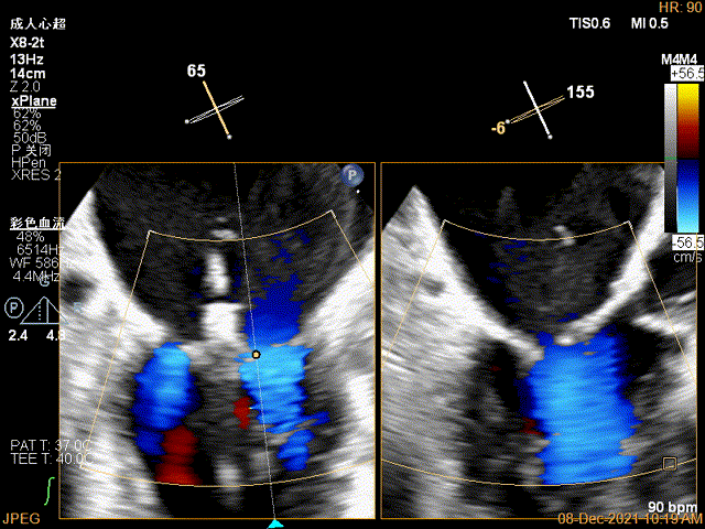
X-plane:下夹子尝试先捕获2区瓣叶
夹子关闭过程中,Color提示2区反流逐渐减少,残余反流位于夹子外侧
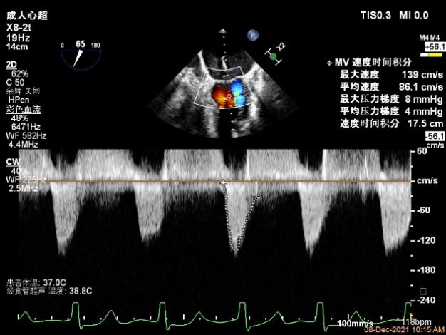
第一个夹子放置侯二尖瓣口平均跨瓣压差:4mmHg
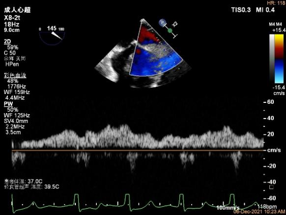
肺静脉血流频谱恢复正向
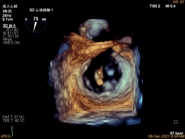
x-plane验证前后叶抓捕后bond明显
3D-VIEW验证结果
3D-Color-view验证残余分流位于外侧
手术心得:
1、此患者打破了风湿性心脏瓣膜患者不能做TEER治疗的传统观念,在经胸超声心动图的报告上风湿性心脏瓣膜病,二尖瓣瓣叶增厚,瓣口狭窄的初步印象让这个虚弱的患者险些错失了经导管介入治疗的机会。因此,对于每一个二尖瓣反流的患者,对其发病机制和解剖结构都需要全面细致的评估,即使是风湿性心脏瓣膜病变,也并非TEER治疗的绝对禁忌,利用经食道超声心动图的最新优势,结合2D、3D、 multivue、血流多普勒参数等多个维度去精准评估患者的解剖特征和血流动力学状态,为TEER治疗的可行性和手术测略做出准确判断。
2、此患者后叶缩短,脱垂病变宽大,适合选择较宽较短的夹子进行钳夹。宽夹子是保证充分覆盖退行病变,短夹子是避免明显增加跨瓣压差,造成瓣口狭窄。但是术中短夹子夹合时,后瓣叶由于增厚明显,多次脱出,也是此患者TEER的难点,最终对较短的增厚瓣叶夹合成功,验证了应脉MCD0100短夹子系统的安全性和有效性经受住了考验。
3.、本例患者二尖瓣瓣口面积临界范围,在钳夹后我们按照规范步骤,确认二尖瓣跨瓣压差、瓣叶钳夹长度和肺静脉血流频谱改善均达到满意效果后放心释放器械,术后患者的血流动力学和临床症状迅速改善。因此,要做好不简单的病例,基石就是把每一个简单的步骤规范做好。随着我们TEER治疗经验的积累,相信不久的将来,一套标准的中国TEER临床路径将会应运而生,推动整个领域的迅速规范发展。
专家简介
宋光远
首都医科大学附属北京安贞医院
2015.2-2016.7 美国 Cedars Sinai Medical Center 博士后学习。
· 累计完成瓣膜病介入治疗超过 1000 例。
· 累计完成房颤左心耳封堵术超过 200 例,其中 LAAO+PCI 一站式治疗 50 余例。
· 累计完成复杂冠脉介入治疗超过 5000 例。
· 主持结构性心脏病影像核心实验室,目前完成 CT 和超声分析 3000 余例。
· 带教省级医院横跨 30 余省市 60 余家 主持国家自然基金,国家自然青年基金、教育部博士点基金、北京市科委创新基金、协和青年基金等多项课题。
· 发表论文 20 余篇,共计他引超过 110 次,最高单篇 SCI 影响因子超过 20发表文章质量高:63.2%的文章均发表在《我国高质量科技期刊分级目录》收录的期刊中;21%的文章位于 T1 区(国际一流期刊),31.6%的文章于 T2 区(国际知名期刊)。
· 主译《心脏导管手册》,《结构性心脏病介入治疗》。
何怡华
首都医科大学附属北京安贞医院
主任医师/国家二级教授/博士、博士后导师
首都医科大学附属北京安贞医院心脏超声医学中心主任、胎儿心脏病母胎医学中心主任;
受国家卫健委委托牵头制定《胎儿心脏病诊断咨询及管理指南》;作为首席专家牵头科技部十三五国家重点研发计划1项、参与十三五国家重点研发计划1项,承担科技部十二五国家科技支撑计划及科技部国际合作、国家自然科学基金、北京自然科学基金等多个国家级和省部级项目。
第一完成人获得2020年教育部科学技术进步奖二等奖;第一完人获得2021年第四届妇幼健康科学技术奖一等奖;
中国心胸血管麻醉学会心血管超声分会主任委员、中华医学会超声医学分会第十届委员会妇产超声学组副组长、国家人口与健康数据平台胎儿心脏首席专家、中国妇幼保健协会胎儿心脏病防治专业委员会第一届主任委员、中国风湿免疫病相关生殖及妊娠研究委员会副主任委员、中国医师协会医学遗传医师分会妇幼保健专业委员会第一届委员会副主任委员等;全国产前诊断专家组成员;中国优生科学协会出生缺陷预防专业委员会常务委员
何怡华教授团队目前有成员40名,团队目前在外科术中及介入治疗领域主攻开发成人介入瓣膜远程协同机器人系统,远程机械臂自动图像采集及图像判读诊断系统,在国内相关领域处于技术领先水平。近十年何怡华教授一第一及责任作者发表国内核心期刊文章260余篇,SCI 76余篇,国际会议发言30余次。主编出版专著《胎儿超声心动图学》,再版《经食管超声心动图学》。

