2021年12月3日,梧州市工人医院中心顺利完成一例主动脉瓣重度狭窄合并重度反流,且多处钙化狭窄的主动脉瓣置换。在医院多学科的共同协助配合下,手术顺利完成,目前患者术后血流速2.3m/s,平均压差11mmHg无传导阻滞,日前已顺利康复出院。标志着梧州市工人医院将厚积薄发,在主动脉瓣治疗领稳步向前,同时不断积累经验为辖区内更多高龄、多病变、合并症患者带来“一线生机”!
患者基本信息:
患者为79岁女性,因“反复4胸闷,胸天9年余,再发加重10日急诊入院心内科,确诊:入院后确诊为冠状动脉粥样硬化心脏病三支病变,不稳定型心绞痛且心功能3级, 主动脉瓣重度狭窄。颈动脉支架植入术后 (双侧) 右側颈内动脉支架植入术后闭塞,高血压病3级(极高危) 高血压心脏病, 2型糖尿病”,NTP26167,纠正后EF38%。
心脏超声
术前讨论:
经过超声评估,何国欢教授总结了该病例特点:一方面患者合并其他疾病严重,心衰严重,多处钙化,入路挑战大,术中也很大可能出现循环崩溃风险; 另一方面,血管很细,颈内支架,左右股入路钙化过于严重(最狭窄处4.4mm)也会给手术造成一定难度;对于这种非常特殊病例,在入路,球囊扩张,瓣膜选择上需要非常谨慎。本病例窦部情况可行,瓣环周长59.2mm左右,可以植入21mm瓣膜。
手术策略:
监护全醉,经右侧股动脉行TAVR术,快速起搏,选用18mm球囊扩张,VitaFlow®21瓣膜植入。
手术过程:
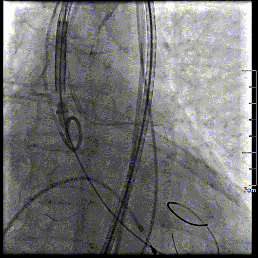
主动脉根部造影
球囊预扩,确认冠脉风险

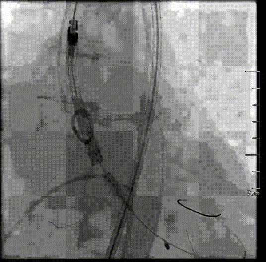
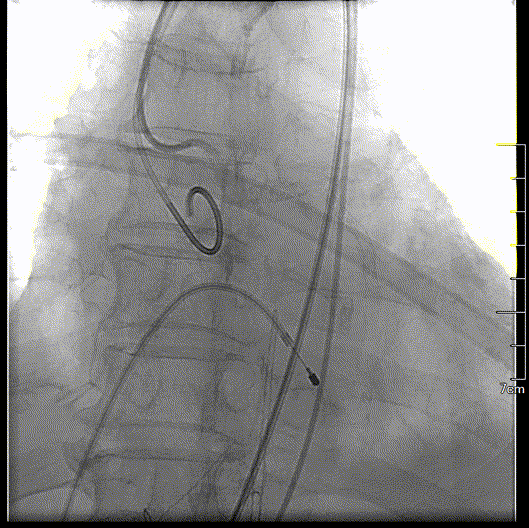
瓣膜初始定位

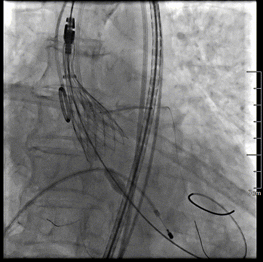
瓣膜释放到可回收临界点

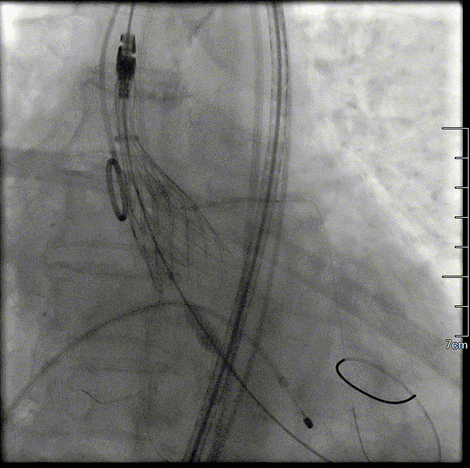
临界点处造影

瓣膜完全释放过程

瓣膜完全释放形态良好
工作钢丝送入左室进行起搏,180bpm起搏下预扩张主动脉瓣,完全扩张后,主动脉根部造影无反流,回撤球囊停止临时起搏。
术后超声
手术评价:
在超声,麻醉,放射,介入科等多学科协作下,梧州市工人医院完成首例VitaFlow®经股动脉介入主动脉瓣置换术,让TAVR技术在梧州扎根发芽。经过2个多小时紧张有序的操作,手术取得圆满成功,患者苏醒后ICU过度一天,顺利转入普通病房。何国欢教授说到:相比传统开胸手术,经股动脉的TAVR不需要打开胸骨,几乎没有明显的失血,麻醉时间更短,创伤小、恢复快,可谓是高龄、多病变、合并症患者突破性的医疗新技术福音!