2021年12月12日,郴州市第一人民医院心脏团队成功完成一例重度钙化狭窄TYPE0型二叶瓣介入主动脉瓣置换术。在医院多学科的共同协助配合下,手术顺利完成,目前患者恢复良好,无传导阻滞等相关并发症,该手术是郴州地区首台TAVR手术。
患者病史及超声资料:
患者为68岁男性,患者自诉三月余前常因劳累后出现胸闷,以心前区为主,伴气促,活动后加重,爬3层楼梯后感气促,休息后缓解,病情逐渐加重,伴有头晕、乏力、微汗,不伴晕厥、黑矇、呕吐等症状,2天前活动后突发晕厥,意识丧失约30分钟,无口吐白沫、无大小便失禁症状,为求治疗,就诊于郴州市第一人民医院。
患者超声报告显示:主动脉瓣峰值流速:4.5M/s,左室射血分数EF值:63%,瓣膜及瓣环处见多个强回声团,开放受限,关闭尚可。
诊断:主动脉瓣重度狭窄
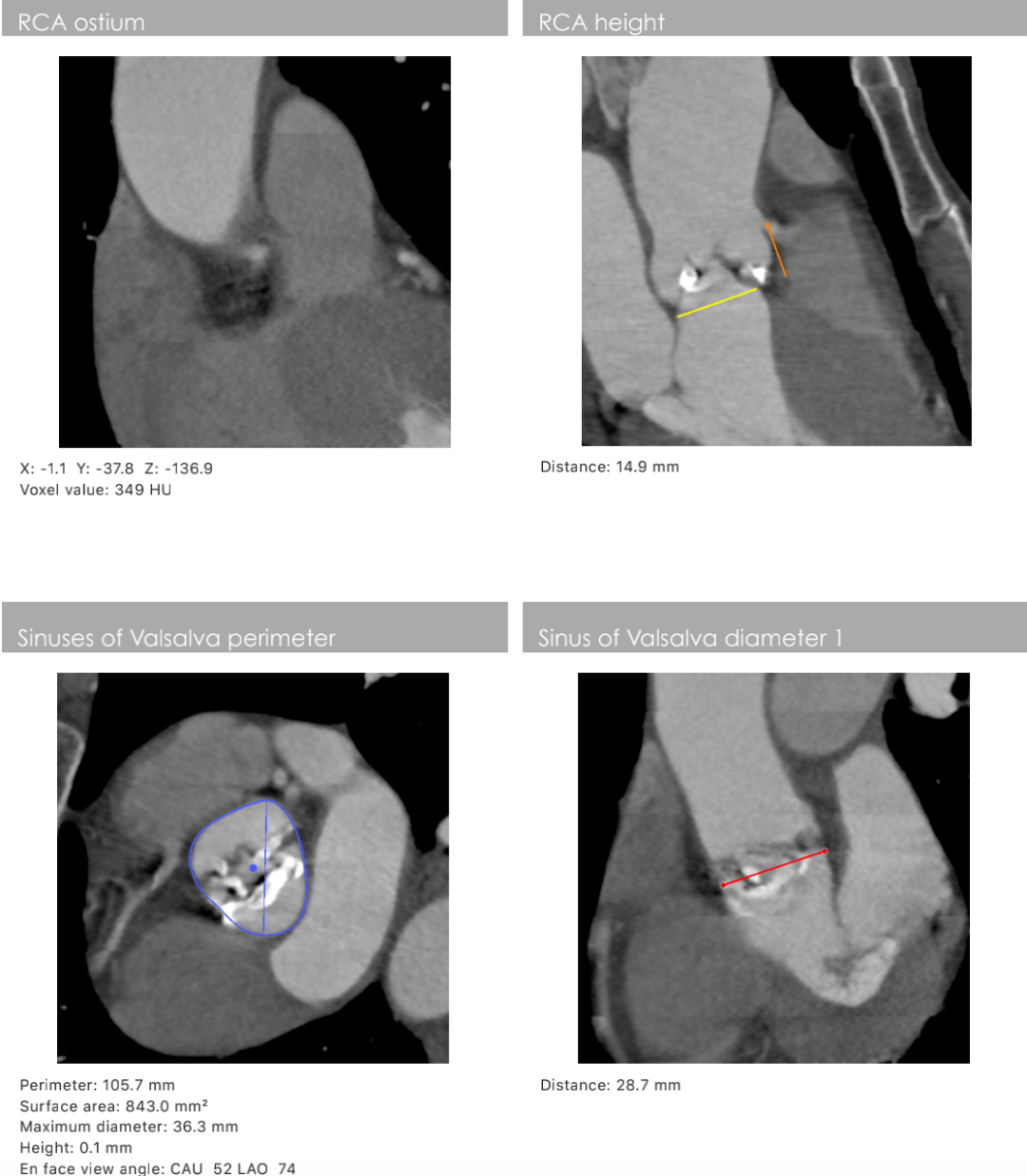
主动脉根部数据:
主动脉瓣环周长82.2mm(平均直径26.1mm),流出道周长89.6mm(平均直径28.5mm),左冠高度:15.4mm,右边冠高:14.9mm,主动脉窦宽28.7mm/33.7mm/34.9mm、STJ周长:93.5mm(平均直径29.7mm)高度22.2mm,升主动脉周长:111.7mm(平均直径35.5mm)。
术前讨论及手术策略:
术前心胸外科、心血管内科、超声科、麻醉科、体外循环、介入室等科室进行了术前讨论和术前策略分析:该患者主动脉瓣属于钙化狭窄的Type0型二叶瓣,左右冠脉同窦,无冠窦可见团状钙化,左右同窦钙化相对较少,主动脉瓣环周长82.2mm、呈现椭圆形,左室流出道周长89.6mm,主动脉窦宽28.7mm/33.7mm/34.9mm、窦宽可,STJ周长93.5mm、高度22.2mm,升主动脉周长111.7mm。患者心室壁明显增厚心尖较薄。左冠高度15.4mm右冠高度14.9mm,双冠高度可。患者右股动脉分叉点位于股骨头下缘,穿刺点内径为8.1mm,血管无明显钙化轻度迂曲。左股动脉分叉点位于股骨头下缘,穿刺点内径为7.8mm,血管无明显钙化轻度迂曲。选择右侧股动脉为主入路,左侧股动脉可作为辅入路;考虑患者主动脉瓣二叶式畸形,钙化严重,采用DOWNSIZE策略,综合评估选择20mm/22mm球囊预扩;患者瓣环周长82.2mm,考虑TAV27型号瓣膜。
手术过程及精彩视频:
患者全麻状态下,穿刺颈静脉,植入临时起搏电级,电级置入右室心尖,穿刺左侧股动脉,建立辅入路。穿刺右侧股动脉作为主入路,跨瓣成功后,予以22mm球囊预扩张观察,冠脉血流正常,根据术前预案,植入TAV27型号瓣膜,选择高位释放。瓣膜植入后,超声评估瓣膜位置良好,形态完整,轻微瓣周漏。术中及术后均无相关并发症,手术取得了圆满成功!

瓣膜定位

瓣膜释放

释放后造影, 瓣膜形态良好, 同时无瓣周漏
结语:
在医院多学通力合作下,郴州市第一人民医院心脏团队最大程度发挥了各学科优势,经过1个小时紧张有序的操作,TAVR手术取得了圆满成功!心胸外科李轶君主任说到:与传统开胸手术相比,经股动脉的TAVR不需要打开胸骨,几乎没有明显的失血,麻醉时间更短,创伤小、恢复快。心内科王仲华主任说到:随着人口老龄化,老年主动脉瓣严重狭窄的病人会越来越多,经导管主动脉瓣置换术的不断成熟,将让这一类老年病人能够得到恰当的治疗。
本台TAVR手术是郴州地区的第一台TAVR手术,标志着这项国际领先的尖端技术在郴州市第一人民医院开展,这将为辖区内更多患者带来突破性的医疗新技术福音。
专家简介
王仲华
郴州市第一人民医院
主任医师,硕士研究生导师,心血管内科主任,擅长于心血管疾病介入治疗技术。
兼任湖南省医师协会心血管内科专业委员会委员,湖南省医学会起搏与电生理专业委员会委员,湖南省中医药和中西医结合学会心血管病专业委员会副主任委员,湖南省心血管疾病介入诊疗技术质量控制中心委员,郴州市医学会心血管内科专业委员会主任委员。获湖南省科学技术进步三等奖1项,医院110周年院庆“突出贡献奖”,“2019年郴州市最美科技工作者”。
李轶君
郴州市第一人民医院
主任医师,郴州市第一人民医院中心医院胸心外科,湖南省医学会胸心外科学委员会青年委员,中国医疗保健国际交流促进会心脏重症分会湖南省专业委员会委员,湖南省健康与服务业协会与大血管健康分会副理事长。

