70岁的张大爷于三个月前出现胸闷、心悸、气紧症状,于一个月前心衰症状加重,辗转求治多家医疗机构,症状未能缓解,最终家属携张大爷慕名就医华中阜外心血管病医院。
经检查诊断张大爷心功能III级,慢性心衰,心脏几乎是正常人心脏两倍大小(LV79 LA56),心脏彩超诊断提示,心脏瓣膜病,主动脉瓣重度关闭不全,升主动脉扩张,二尖瓣关闭不全(中—重度),三尖瓣关闭不全(中度),心功能Ⅲ级(NYHA)。
由于张大爷年龄大,身体虚弱,病情严重到已无法行常规手术治疗。在张大爷及其家属绝望之际,华中阜外医院成人心外四病区赵子牛教授团队为张大爷制定了经心尖导管主动脉瓣置换术(TA-TAVR)手术方案,12月11日,赵子牛教授团队使用国内唯一获批上市治疗主动脉瓣单纯关闭不全的介入瓣膜J-Valve,成功救治张大爷,即刻“缩”心,救治效果立竿见影,张大爷重获“心”生。
CTA分析结果:
1.患者主动脉瓣三叶式,瓣叶基本等大,瓣叶增厚,瓣叶游离缘密度稍增高,左冠窦窦底轻度钙化;
2.患者主动脉瓣环周长折算直径约25.7mm;
3.患者双侧冠脉开口高度可LCA:12.6mm,RCA:18.7mm;
4.患者术中造影角度RAO:11°,CAU:16°。
患者瓣环
患者左室流出道与升主夹角
患者左侧冠脉高度
患者右侧冠脉高度
患者左室流出道
患者窦部
患者窦管结合部
患者术中最佳投射角度
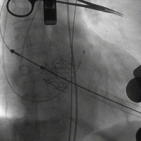
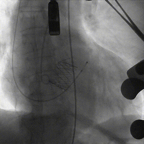
手术过程:
经过赵子牛教授Heart Team讨论,因患者窦部(47mm)增宽,选择oversize手术策略,决定选择29mm J-Valve介入瓣膜行TA-TAVR手术。
手术在华中阜外医院心脏杂交手术室内完成,经颈内静脉安置临时起搏导线。DSA下确定心尖穿刺位置,行3cm微创切口。悬吊心包及心尖荷包缝合。股动脉穿刺置入5F鞘管,全身肝素化后放置Pigtail导管至主动脉根部(ACT>250s),选择最佳DSA投射角度,获取最佳引导切面。
超声及DSA引导下行心尖穿刺,置入1.8m 泥鳅导丝至升主动脉,置入血管鞘,采用JR4导管引导导丝跨越主动脉弓至降主动脉,更换2.6m加硬导丝,用22F扩张条扩张心尖穿刺处。
根据CTA结果调整DSA机头位置,显示最佳主动脉瓣各瓣位置,经心尖送入29mm J-Valve介入瓣膜。
释放定位件,并回拉至三个主动脉瓣窦,造影确认定位件位置正确。
回撤瓣膜,支架瓣膜在定位件引导下进入主动脉瓣区域。
旋转释放按钮,瓣膜释放,此过程无需快速起搏。
锁丝脱钩,回收输送系统,造影及TEE显示瓣膜位置良好,无瓣周漏。
缝合心尖切口,心尖部无出血,逐层关闭切口。整个手术过程共40分钟,瓣膜置换过程不到10分钟,张大爷术后恢复良好。
术后三天,心脏超声提示心脏明显缩小,主动脉瓣反流消失,二尖瓣中—重度反流改善到轻—中度,张大爷重获“心”生。
专家简介
赵子牛
阜外华中心血管病医院
成人心脏外科四病区主任,主任医师,教授。
河南省著名心血管外科专家,中华医学会胸心血管外科分会会员;中国医师协会心脏外科分会青委会委员;先后在美国Mayo Clinic及St joseph Hospital研修学习;在成人心脏瓣膜病、先天性心脏病、冠心病外科治疗方面具有较高造诣。
擅长心脏不停跳、全动脉化、微创小切口等各种术式冠脉搭桥术,精通各种小切口、全腔镜下瓣膜置换术、成形术,以及经导管心脏瓣膜治疗术。
