云南省阜外心血管病医院成功完成首例中国自主创新JensClip经导管瓣膜夹二尖瓣缘对缘修复手术

近日由中国医学科学院北京阜外医院结构中心主任,云南省阜外心血管病医院执行院长潘湘斌教授领衔的多学科心脏团队,在胡盛寿院士的关心指导下,联合云南省阜外心血管病医院结构中心潘家华主任团队,成功应用具有全球IP的中国自主创新产品—JensClip经导管瓣膜夹及输送系统,为一位临床高危的重度功能性二尖瓣反流患者进行经导管二尖瓣缘对缘修复手术。手术过程顺利,术后患者二尖瓣反流显著减轻,临床症状改善,拟于近期出院。JensClip全国首例人体植入获得圆满成功!

患者情况

患者为63岁男性,罹患多支冠心病,既往发生急性心肌梗死,并曾接受两次PCI手术,存在缺血性心脏病继发的重度二尖瓣功能性反流。患者虽接受了最佳药物治疗且药物剂量已经调整到最大耐受剂量,但仍有明显症状,反复因心衰发作住院治疗,纽约心功能III级,且合并高血压、肾功能不全、室性早搏等合并症。超声(TTE/TEE)提示重度功能性二尖瓣反流(4+),缩流颈宽约7x15mm,有效反流口面积约0.67cm2;全心扩大(左室舒张末前后径62mm),左室壁运动幅度明显减低,LVEF 31%,二尖瓣前后叶活动尚可,瓣叶未见明显挛缩及活动受限,合并三尖瓣反流及肺动脉高压。患者STS评分8.92分,外科手术风险高危。心脏团队经过对患者病情和二尖瓣解剖的全面评估与讨论,决定采用JensClip瓣膜夹系统为患者进行二尖瓣缘对缘修复手术,以改善患者的二尖瓣反流及临床症状。

图片
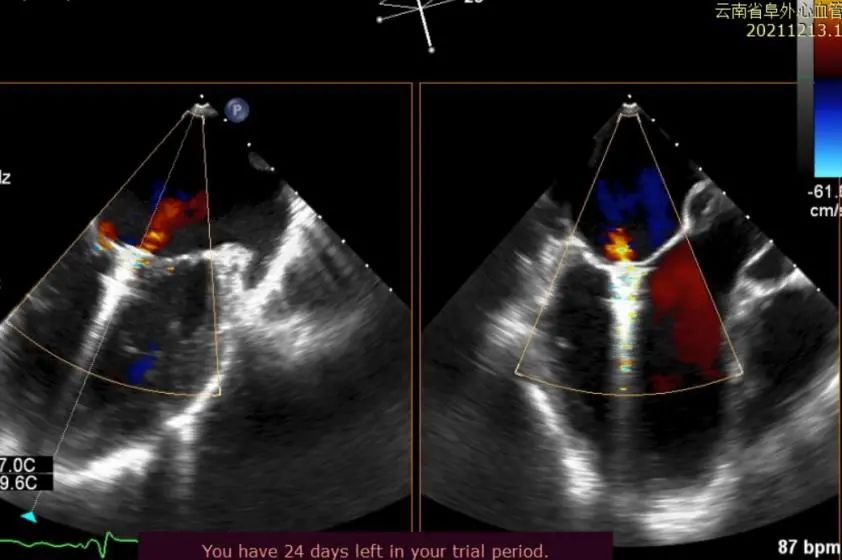
图1:患者术前TEE Biplane提示重度二尖瓣功能性反流
图片
 图2:术前3D Color TEE提示重度功能性二尖瓣反流

手术过程

手术采用经典股静脉-房间隔入路,房间隔穿刺后将瓣膜夹输送系统送入左心房,在TEE引导下捕捉二尖瓣前后瓣叶,并关闭瓣膜夹。经TEE反复确认手术效果后最终释放瓣膜夹。术中仅植入一枚JensClip瓣膜夹就达到了良好的治疗效果,术后即刻心超二尖瓣反流减少到0-1+,瓣膜夹位置稳定,功能良好。术后患者症状明显好转,术后复查TTE反流0-1+,瓣膜夹位置稳定,拟于近期出院。

图片

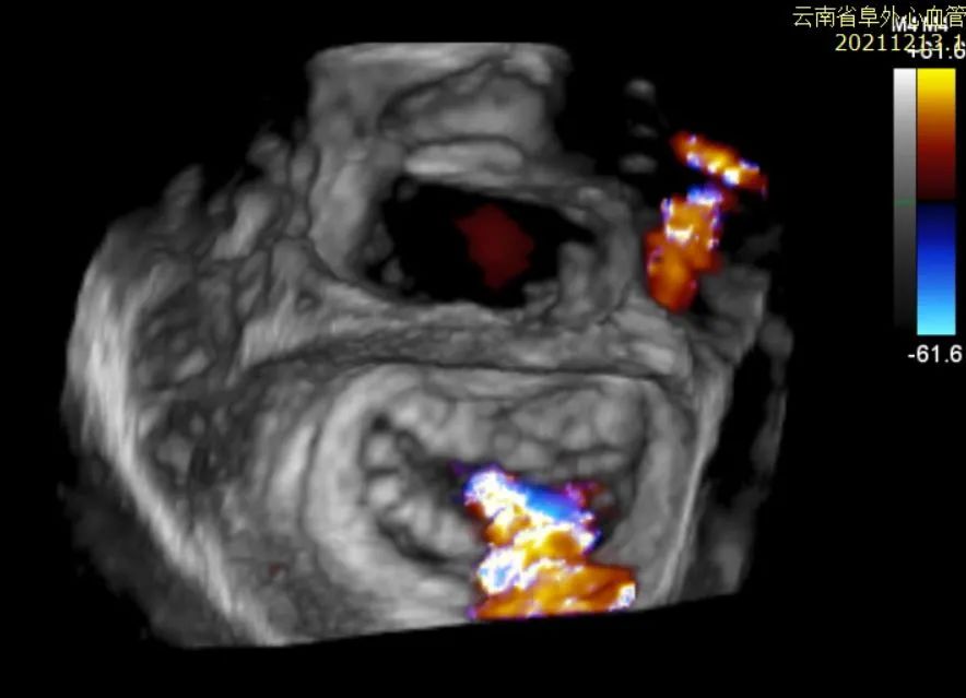
 投射下提示瓣膜夹植入及锁定完成(图3)

图片
图片

患者术后TEE提示二尖瓣反流显著减轻,瓣膜夹位置和功能良好(图4-5)

此次手术采用的JensClip经导管瓣膜夹及输送系统是我国自主研发的创新经股静脉入路的介入二尖瓣缘对缘修复产品,不同于国际主流二尖瓣缘对缘修复装置,其采用独特的机械锁闭和一体式解脱结构设计,具有瓣叶单独捕捉、分别夹合、可靠锁固、一键解脱、双向可回收等特点。机械性能优越,操作可重复性高,为术者提供更多机会达到最优效果。产品核心传动及锁定结构设计经全球范围的专利检索,均为全球首创,并申请了多项中国和国际专利,以绝对原创替代“Me Too”,除此以外,JensClip也同时具备包括多型号夹子,瓣叶分开捕获等最新一代缘对缘修复系统特点。值得一提的是,阜外医院团队更是全程参与了产品的设计定型,临床前评价,产品改进,临床应用的完整研发转化流程。

二尖瓣反流是最常见的心脏瓣膜疾病之一。数据显示我国二尖瓣反流患者逾千万,随着老龄化社会的到来,未来患者数量将大量增长。经导管二尖瓣微创治疗是近年来心血管领域研究和探索的重点。此次JensClip首例人体植入手术顺利开展,标志着云南省阜外心血管病医院作为牵头单位的全国多中心探索性研究扬帆起航。相信JensClip未来将为二尖瓣反流治疗提供又一有效的新选择,造福更多的二尖瓣反流患者!

中国医学科学院北京阜外医院、云南省阜外心血管医院结构性心脏病团队在胡盛寿院士的关心指导下和潘湘斌教授的带领下,持续在介入二尖瓣/三尖瓣治疗领域探索前行。胡盛寿院士高瞻远瞩,突破学科限制,在国内率先建立了以结构性心脏病疾病为中心的多学科诊疗病房 - 结构性心脏病中心,目前累计完成介入二尖瓣/三尖瓣手术愈百例,技术覆盖了介入二尖瓣置换,介入二尖瓣缘对缘修复,介入二尖瓣人工腱索修复,介入三尖瓣置换,介入三尖瓣缘对缘等多种技术路径,形成了一整套完善的治疗体系,成绩斐然。创新的引入全超声影像引导二/三尖瓣介入诊疗的技术理念,相关系列学术成果发表于JACC cardiovascular intervention等顶级学术期刊。

阅读数: 3952