2021年11月27日,绵阳市中心医院罗彩东教授、戴闽教授团队在四川大学华西医院陈茂教授、冯沅教授的指导协助下,挑战二叶瓣畸形合并升主动脉瘤,顺利植入一枚26mm SAPIEN 3瓣膜。在多学科团队的紧密配合下,术者克服患者横位心、二叶瓣畸形、瓣膜钙化、升主动脉瘤等困难,顺畅完成过弓、跨瓣等一系列操作,实现了手术的圆满成功。这也是绵阳市中心医院及川西北地区首例应用SAPIEN 3瓣膜完成的TAVR手术。
患者基本情况
患者男性,62岁,主动脉瓣二叶式畸形(Type 1型)伴重度狭窄。
影像学检查结果
术前心脏超声结果显示,患者主动脉瓣开放明显受限,呈二叶式畸形(Type 1型),主动脉瓣前向血流Vmax 4.2m/s,峰值跨瓣压差71mmHg,平均跨瓣压差41mmHg,窦部内径31 mm,主动脉瓣环内径22mm;升主动脉瘤样扩张,内径50mm。
术前CT结果显示,主动脉瓣口面积495.3mm²,瓣环平均直径25.4mm,瓣环周长80.4 mm;LVOT面积432.1 mm²,LVOT平均直径24.1 mm;升主动脉平均直径51.5 mm;心夹角63°。
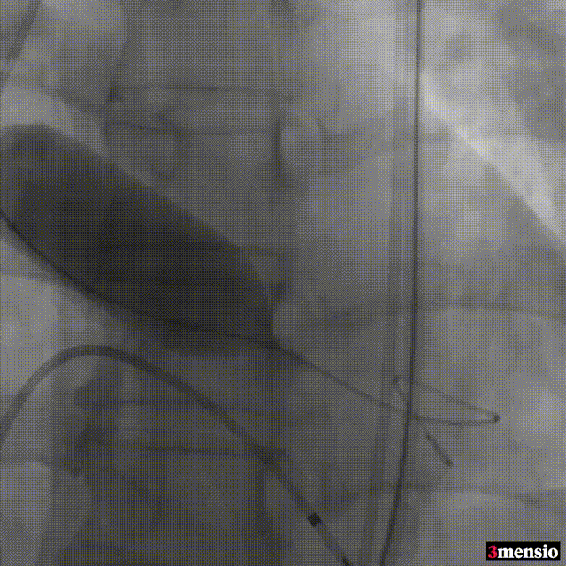
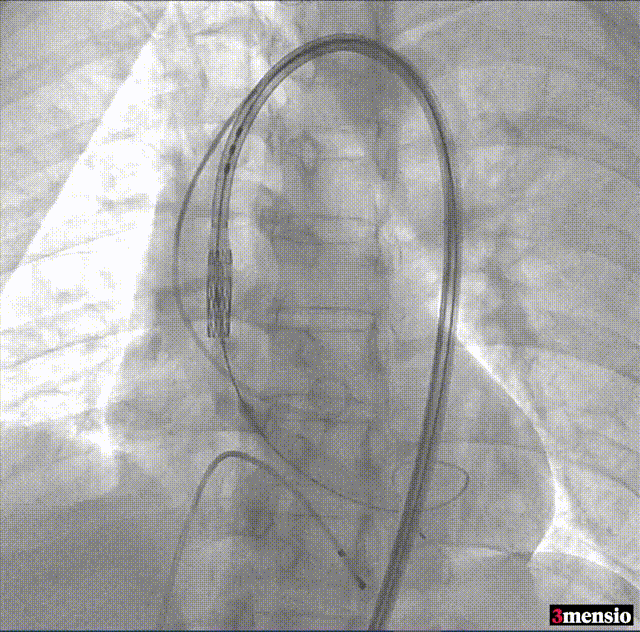
手术过程
1.术中建立双侧股动脉入路,以右股动脉为主,经左股动脉猪尾行股动脉造影。

2.使用23mm球囊预扩,无腰征无反流,嵴部钙化被推开,进一步证明可以选用26mm瓣膜的且使用其标称容积,瓣环撕裂风险低。
3.通过支撑导丝,送入SAPIEN 3瓣膜,使用独特调弯功能,保证安全过弓并成功跨瓣。
4.调整至共平面角度,瓣膜到位,180次/min快速起搏下精准释放26mm SAPIEN 3瓣膜。

5.瓣膜植入且撤出导丝后,造影及超声结果均显示瓣膜工作良好,无残余瓣周漏,瓣膜植入成功。

6.对侧入路进行造影,排除主入路并发症,手术顺利结束。
术后点评 | 罗彩东:复发瓣膜病变患者的TAVR治疗新武器
专家简介
罗彩东
绵阳市中心医院
心内科主任,绵阳市心脏起搏与电生理主任委员,绵阳市胸痛全市模式质量控制组组长,四川省心血管专委会委员,四川医师协会心血管分会常委,中国医师协会心血管分会基层学组委员,中国心血管健康联盟胸痛专家委员,中国胸痛中心认证专家。
戴闽
绵阳市中心医院
博士,主任医师,硕士研究生导师,绵阳市中心医院内科部主任。四川省卫健委学科带头人后备人选,四川省医学会电生理与起搏专委会委员,绵阳市医学会电生理与起搏专委会常务委员,绵阳市医学会双心医学专委会常务委员。德国Dusseldorf Central Hospital访问学者,以色列Soroka University Medical Center访问学者。
参考文献:
注释:1. SAPIEN 3瓣膜为经导管主动脉瓣膜系统,注册证编号:国械注进20203130291。

