2021年11月15日,南昌大学第二附属医院吴延庆教授团队成功挑战冠心病合并严重主动脉瓣狭窄,顺利完成SAPIEN 3瓣膜及冠脉支架植入。在团队成员紧密配合下,克服患者瓣膜严重狭窄、合并冠脉病变、冠脉开口较低等困难,顺畅完成瓣膜和支架植入操作,实现了手术的圆满成功。这是南昌大学第二附属医院第3例应用SAPIEN 3瓣膜完成的TAVR。
患者基本情况
患者男性,69岁,主动脉瓣二叶式畸形(Type 0型)伴重度狭窄,冠状动脉狭窄(三支病变合并左主干病变)。
影像学检查结果
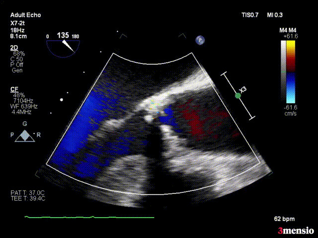
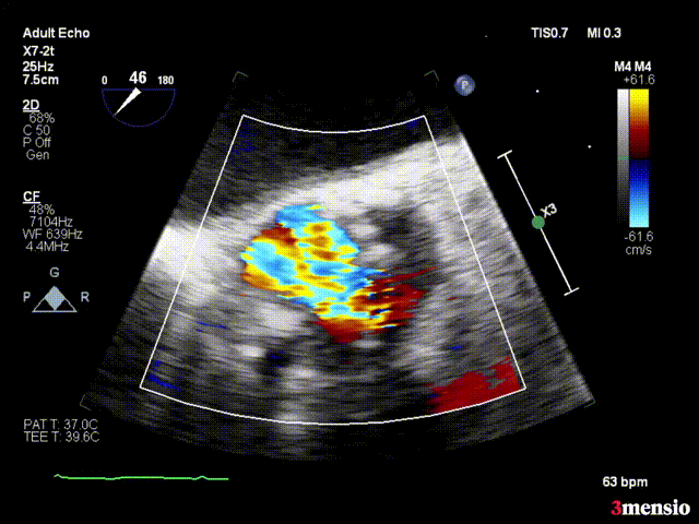
术前心脏超声结果显示,患者主动脉瓣开放明显受限,呈二叶式畸形(Type 0型),主动脉瓣前向血流Vmax 5.82m/s,平均跨瓣压差84mmHg。
超声心动图1
超声心动图2
术前CT结果显示,主动脉瓣口面积498.2mm²,瓣环平均直径25.4mm,瓣环周长80.43mm;LVOT面积523.8 mm²,LVOT平均直径25.8mm;升主动脉平均直径29.2 mm;心夹角44°;左冠开口高度15.5mm、右冠开口高度17.3mm。
患者Type 0型二叶瓣,重度钙化,冠脉三支病变,左右冠脉开口高度15.5mm/17.3mm,左主干开口内侧较低,手术策略选择需综合考虑以下因素:
1、患者冠脉三支病变,后期介入治疗需求较大,瓣膜选择需避免遮挡冠脉开口;
2、本次手术需同时处理冠脉病变和瓣膜狭窄。
经专家团队综合评估,最终决定选用23mm预扩球囊及26mm SAPIEN 3瓣膜,同时完成冠脉内支架植入。
手术过程
1.术中建立双侧股动脉入路,以右股动脉为主;送入导丝顺利跨瓣进入左室;
2.送入造影导丝至左冠状动脉,支架送至冠脉内进行主动保护;
3.使用23mm球囊预扩,通过支撑导丝,送入SAPIEN 3瓣膜,使用独特调弯功能过弓并成功跨瓣,调整至共平面角度,瓣膜到位;

4.180次/min快速起搏下精准释放26mm SAPIEN 3瓣膜.

5.冠脉造影确认狭窄部位,释放支架;

支架植入前

支架植入后
6.撤出导丝后,造影结果显示瓣膜及支架工作良好,无残余瓣周漏,左右冠脉开口无压迫,支架植入部位无残余狭窄,一站式手术成功。

术后点评 | 吴延庆:球扩瓣,瓣膜合并冠脉病变患者“一站式”治疗的更优选择
吴延庆教授:SAPIEN 3瓣膜在国外的应用已经很成熟了,只是我们国家刚刚引进,目前国产瓣膜都是自膨瓣,球扩瓣只有SAPIEN 3瓣膜。对于多数主动脉瓣狭窄的患者,只要符合适应症,自膨瓣和球扩瓣都可以,都能解决病人的问题;但是对于特殊类型患者,比如相对年轻、冠脉开口比较低的,或者存在冠脉风险需要干预的,尤其术前评估冠脉造影提示一定程度狭窄,今后存在介入治疗需求的患者,球扩瓣膜是更好的选择。
其次,我们医院从2016年开始专门布局成立心脏瓣膜团队,包括心内科、心外科、血管外科、麻醉、超声和CT,还专门送团队医生到国外学习观摩,2016年开展了全省第一例TAVR手术,2020年9月开展全省第一例SAPIEN 3瓣膜手术,截至目前完成了近100多例,这一系列的工作能够顺利开展,得益于医院在人才、物资和政策方面的支持。
未来,希望我们团队继续不断提升自身水平,争取迈进国内前沿队伍,能够成为江西地区的亮点,从而更好的为患者服务。
三场TAVR,三枚SAPIEN3瓣膜,吴延庆教授团队对症施治,结合不同患者病变程度,应用合适的瓣膜,既是团队在瓣膜病诊疗领域能力的日益精进,也是SAPIEN3瓣膜不断为各地主动脉狭窄患者丰富器械选择的有力体现。诚如吴延庆教授所言,相信随着我国经济水平的提升、医保政策的发展, SAPIEN3瓣膜定能造福国内更多瓣膜病患者,成为临床医生行TAVR手术时的一项有益补充。
专家简介
吴延庆
南昌大学第二附属医院
现任南昌大学二级教授,主任医师,硕士生/博士生/博士后导师,南昌大学第二附属医院心内科主任,兼任美国心血管造影和介入学会(SCAI )专家会员、中国医师协会心血管内科分会常委兼基层学组副组长,国家心血管病专业质控中心专家委员会冠心病专家工作组专家、中华医学会心血管病分会动脉粥样硬化和冠心病组委员、中国非公立医疗机构协会心血管疾病专业委员会第一届委员会常委、中国房颤中心联盟副主席、囯家卫健委及医师协会心血管(心律失常、冠心病、结构性心脏病)介入培训基地导师、江西省康复医学会心血管病专业委员会主任委员、江西省房颤中心联盟主席、江西省胸痛联盟副主席、江西省医学会心血管病分会主任委员、江西省医师协会理事、中国胸痛中心执委会委员及核查专家、中国心血管康复中心执委会委员及核查专家、巜中国介入心脏病杂志》、《ESC Congress in Review Chinese Editiong》巜中国心血管病研究》杂志编委。共主持及完成国家级课题6项,省、厅级研究项目21项。获省级二等奖2项,三等奖4项,厅级奖7项。担任4部学术专著主编,撰写论文100余篇,其中SCI、核心期刊80余篇。培养硕博研究生70余人。
参考文献:
注释:1. SAPIEN 3瓣膜为经导管主动脉瓣膜系统,注册证编号:国械注进20203130291。
