近日,中山市人民医院张励庭教授团队完成一例高龄主动脉瓣膜重度狭窄合并复杂冠心病行一站式TAVR+PCI术,同时也标志着中山市人民医院建设高水平的心血管疾病治疗,造福中山地区广大患者这一目标有显著成效!
病史
84岁男性,2月余前无明显诱因突发心前区隐痛,持续一小时后缓解,伴胸闷,无心悸.恶心.呕吐,未予重视,因活动后突发胸闷,持续一小时后缓解,完善TNT:101ng/ml, NT-proENP:5047pg/ml,心电图:1.窦性心律 2.V3 V4 V5 ST段压低,急诊拟“急性冠脉综合征”收入我心血管内科。患者经治疗后,仍反复出现胸闷,气促症状,超声提示主动脉瓣重度狭窄并关闭不全轻度,经团队讨论该患者为主动脉瓣重度狭窄,头晕、心衰症状明显,三支病变,考虑患者高龄,三支病变严重,经团队讨论评估,决定PCI+TAVR一站式手术。
CT

瓣环:20.5mm LVOT:19.2mm
瓣叶分型:三叶瓣 STJ:25.3mm AO:35mm
钙化积分:281mm³
工作体位:RAO:4° CAU:16° RAO:16° CAU:28° 左冠:LAO:21° CRA:9°
左右冠脉高度:LCA:11.5mm RCA:16.7mm
心室大小:33.9mm
入路情况:右股主入路,斑块较大,轻柔操作
手术过程:
入路造影评估 正中穿刺


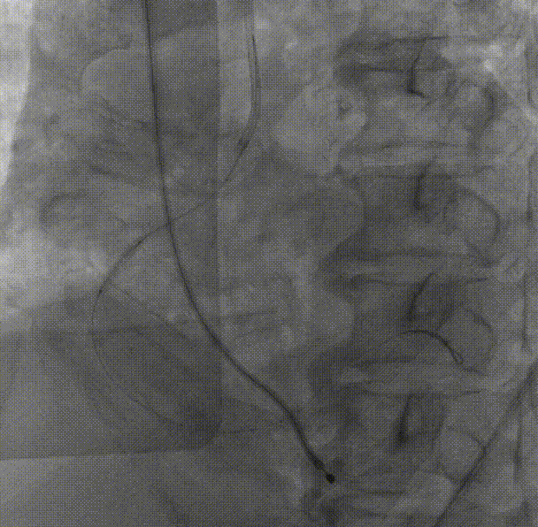
CAG:左主干前三叉真性分叉病变,病变钙化明显,左主干末端狭窄约85%,前降支近段狭窄70-80%,中段长弥漫狭窄60-70%,回旋支开口狭窄60-70%,近中段狭窄80-90%;右冠近段狭窄80-90%,中段狭窄85%,远段狭窄50%。考虑患者胸痛症状可能为冠心病+AS共同作用,以及患者冠脉病变钙化严重,予以PCI+TAVR一站式处理。





右冠中段开口予Balloon Trek2.5*15mm预扩;于中段至开口依次植入Integrity stent3.5*30mm;Integrity stent3.5*22mm;支架内予Balloon NC Trek3.5*12mm后扩。


回旋支中段予Balloon Trek2.5*15mm预扩,回旋支近中段植入3.0*36mm支架;支架内予Balloon NC Trek3.5*15mm后扩;左主干-前降支近段病变予Balloon Trek2.5*15mm预扩;于左主干-前降支近段植入Integrity Stent3.0*26mm;前降支支架内予Balloon NC Trek3.5*12mm后扩,回旋支开口无受压,远端血流TIMI3级。
复查冠脉造影结果满意。
TAVR手术策略:三叶瓣,轻度钙化,流出道比瓣环小,考虑患者整体结构,选择20球囊预扩,通过球囊预扩情况,选择L23或L26VenusA-Plus瓣膜;股动脉入路有斑块,缝合器预缝合时,避免斑块处预埋缝合器,上大鞘时,轻柔操作。
TAVR手术

主动脉根部造影
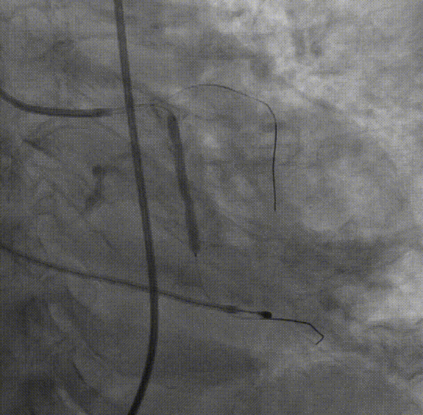
直头导丝跨瓣

20球囊预扩-无腰征,有少量瓣周漏,故选择L26VenusA-Plus瓣膜。


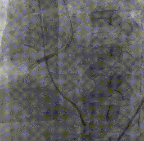
L26VenusA-Plus输送器过弓 瓣膜定位


瓣膜释放到工作区,造影评估瓣周漏及冠脉情况。

最后造影评估 无瓣周漏瓣膜展开良好,故无需后扩。
术后压差
如此高难度病例充分体现了TAVR团队过硬的心理素质、良好的操作技术和强大的团队配合能力。
张励庭教授术后介绍,重度主动脉瓣狭窄患者后期易反复出现活动时胸闷、胸痛、呼吸困难及晕厥,常常会以急诊PCI入院;有些患者还伴有严重心衰,生活质量极差。传统的外科开胸手术创伤较大,恢复时间长,而TAVR即经导管主动脉瓣置换术创伤小,无需体外循环及输血,术后恢复快。主要适用于重度主动脉瓣狭窄或关闭不全患者,但开展TAVR手术,需要多科室相互协作及术后优秀监护团队帮助患者度过术后康复期。这例高难度的TAVR手术是在医院多科室支持及协助下完成,特别是得到心外科、麻醉科、介入中心及超声科的大力帮助。
医院科室简介:
中山市人民医院心血管内科始建于1988年,从1994年起开展心血管疾病的介入诊断与治疗技术,经过多年的规划建设,在全科医务人员共同努力下,心血管内科已建成一支实力雄厚、人才阶梯搭配合理的技术队伍,具有丰富心血管疾病诊治的临床实践经验,现有病床96张(其中CCU20张),我科是珠三角地区开展心血管疾病介入手术规模、业务范围广的单位,年手术量3000余台,在复杂冠脉病变、先心、严重心律失常、终末期心衰的介入治疗方面一直处于省内先进水平。于2003年5月顺利通过广东省卫生厅和中山市卫生局的验收,成为广东省特色专科、中山市重点专科。2011年12月被评为广东省临床重点专科。胸痛中心建设市重大课题立项《利用信息化网络平台,构建城乡一体化的胸痛中心》。建成珠三角西岸强的集医疗、科研、教学、康复为一体的现代化心脏中心。
地址:广东省中山市孙文东路2号
专家简介
张励庭
中山市人民医院
心血管内科副主任、主任医师、医学博士,毕业于中山医科大学、广东省心血管研究所。
曾先后赴美国厦威夷皇后医院、德国Bergmannsheil医院、北京大学第一医院、广东省心血管病研究所学习进修心内科和心血管介入诊疗技术。
具有丰富的心血管临床诊疗经验, 熟悉冠心病、高血压、各种心律失常、心力衰竭,心脏瓣膜病的诊断治疗,抢救和治疗了大量的冠心病、高血压病、心力衰竭、风湿性心脏病、先天性心脏病、心律失常、感染性心脏病、心肌疾病等病人。
擅长心血管疾病的介入治疗,从1995年起率先在中山开展冠心病、先天性心脏病、外周血管疾病的介入治疗。目前每年完成冠心病介入治疗近千例。获得多项科技进步奖及在国家级期刊发表论文20余篇。
目前担任中国医疗保健国际交流促进会血管疾病高血压分会委员、中国医师协会心血管内科医师分会基层工作委员会委员、广东省心血管介入质量控制专家委员会委员、广东省单病种质控心血管专家组成员、广东省医师协会心脏病器械辅助治疗医师分会第一届委员会常务委员、广东省中西医结合学会心血管介入专业委员会第一届委员会常务委员、广东省介入性心脏病学会先心介入学组常委、广东省中西医结合学会心血管介入专业委员会第一届委员会副主任委员、广东省介入性心脏病学会结构性心脏病分会副主任委员、广东省介入性心脏病学会周围血管介入分会副主任委员、广东省医学会心血管病学分会介入心脏病学组成员、广东省临床医学会华南名医专家委员会第一届专家会员、中华医学会中山分会中山市心血管病学专业委员会副主任委员、中山市社会医疗保险专家组成员等)。
黄炫生
中山市人民医院
中山市人民医院心血管内科CCU主任、心血管硕士、主任医师
毕业于中山医科大学,从事心血管专科近30年,曾到广东省心研所及美国Cedars-Sinai医疗中心深造,专注于急危重症及心血管介入诊疗;具有丰富的专科诊疗、心血管疾病预防经验。
社会任职:
1、中山市医学会心血管病专业委员会 副主任委员兼秘书长;2、广东省医学会心血管病学分会急危重症学组秘书3、广东省临床医学会生命支持专业委员会 常委;4、广东省介入医师协会介入医师分会 常委;5、广东省中西醫結合心血管介入專業委員會 常委;6、广东省中西医结合心力衰竭学会 常委;7、广东省医师协会心血管内科医师心力衰竭与预防康复组 副组长 ;8、广东省老龄产业协会心血管康复专业委员会 副主任委员;
门诊时间:周一全天
张劲
中山市人民医院
副主任医师,擅长:冠心病、高血压、心律失常、心肌病、心肌炎心力衰竭、先天性心脏病、心脏瓣膜病。
2000年毕业于中山医科大学,从事心血管内科临床工作10多年,曾于中山大学附属第一医院进修冠心病介入治疗。现任广东省医师协会心血管介入医师分会第一届委员会委员、广东省医师协心脏病器械辅助治疗医师分会第一届委员会委员、广东省中西医结合学会心血管介入专业委员会第一届委员会委员,擅长冠心病、高血压病心力衰竭、心律失常等各种心血管疾病及危急重症的诊治,每年参与完成冠心病、外周血管介入诊治病例400例以上。主要研究方向:冠心病高血压病、心力衰竭等疾病的诊治。在核心期刊发表论文数篇。
门诊时间:周一上午 周二下午
吴颖
中山市人民医院
广东省中山市人民医院心血管内科,副主任医师,主要研究方向:冠脉介入治疗(IVUS,OCT,FFR),多年从事心血管内科临床工作,具有相当丰富的理论与实践经验,为广东省女医师协会高血压病防治专业委员会常务委员,广东省医师协会心脏病器械辅助治疗医师分会委员,广东省中西医结合学会心血管介入专业委员会委员,大湾区心脏协会会员,大湾区心脏协会泛血管分会会员,中山市中西医结合学会心血管专业委员会常务委员,结构性心脏病分会委员。主持市级科研课题两项:《心肌血流储备分数及血管内超声在冠脉复杂病变介入中的应用研究》,项目编号:20122A104。《血管内超声指导下冠状动脉真性分叉病变介入治疗的临床研究》,项目编号:2019B1058。近几年来,发表论文7篇:《体外膜肺氧合联合急诊经皮冠状动脉介入治疗抢救急性心肌梗死后心脏骤停患者的临床疗效及其影响因素分析》发表于中国循环杂志. 《心肌血流储备分数及血管内超声在冠脉复杂病变介入治疗中的应用研究》发表于临床医学工程等等。



