台湾振兴医院魏峥教授团队成功完成一例瓷化主动脉经心尖主动脉瓣单纯反流TAVR手术

主动脉瓣反流(Aortic Regurgitation, AR)是较为常见的主动脉瓣病变[1],导致AR的病因很多,大致可分为原发性瓣膜病变和继发于主动脉瓣支持结构(如:主动脉根部和瓣环)的异常,其中最为常见的病因是瓣膜粥样硬化性退变。最近的临床随机对照试验和大规模注册试验结果表明:经导管主动脉瓣置换术(Transcatheter Aortic Valve Replacement, TAVR)的适应症可以扩展到低风险患者中,成为常规外科手术方式(Surgery Aortic Valve Replacement, SAVR)的一种替代治疗手段[2,3]

TAVR主要的手术入路有:经股动脉途径、经心尖途径和经升主动脉途径等。当患者存在严重血管病变(如外周动脉硬化狭窄、升主动脉扩张或严重钙化)时,心尖入路的TAVR技术有着不可比拟的优[6]

近日,台湾振兴医院心外科魏峥教授及其团队,成功的对一例主动脉重度关闭不全合并瓷化主动脉的患者实施了经心尖TAVR手术,术后效果良好。

病例介绍

患者,女,50岁,主诉:“夜间呼吸困难及行走时呼吸急促”,简要病史:病患之前无特殊病史,也没有家族遗传病病史,发作前六个月开始有上述症状,经转诊进入本院预行传统瓣膜置换手术,在手术前检查发现有瓷化主动脉,在团队会议及病患治疗决策会议中建议使用J-Valve进行主动脉瓣置换。

术前超声提示:主动脉瓣大量反流,其中:左室:47 mm 室间隔:10 mm左室后壁:9 mm EF:63% 

术前CT评估

1.患者主动脉瓣三叶式,瓣叶基本等大,瓣叶增厚,瓣叶游离缘密度稍高,无冠窦壁轻微钙化;

2.患者主动脉瓣环周长折算直径约23.2mm;

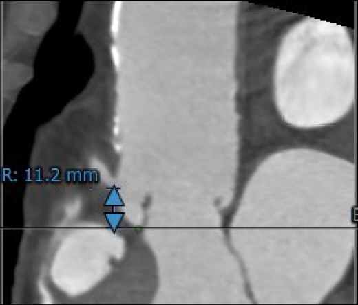
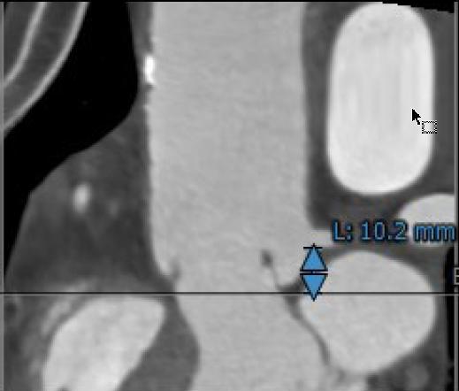
3.患者双侧冠脉开口高度可LCA:10.2mm,RCA:11.2mm;

4.患者术中造影角度LAO:13°,CAU:3°;

5.升主动脉、降主动脉可见多发钙化;主动脉弓未显示。

图片

主动脉瓣环周长折算内径:23.2mm

图片

 距瓣环5.8mm处瓣叶开放最大直径25.4mm

图片

窦部最大直径约33.8mm(无冠窦)

图片

窦管交界处平均内径33.5mm

图片

升主动脉平均内径33.6mm

图片

左室流出道周长折算内径约24.3mm

图片

右冠开口高度11.2mm 

图片

左冠开口高度10.2mm

图片

瓣叶及窦部无明显钙化

图片

投照角度:LAO13°CAU3°

图片

升主管壁多发钙化斑块

手术过程

经右侧股静脉置入临时起搏器,经右侧股动脉在患者主动脉无冠窦内放置1根6F猪尾导管定位。透视下定位后第五肋间小切口进胸,打开心包,选择心尖裸区缝制六边形荷包。心尖穿刺后将泥鳅导丝过主动脉瓣经升主动脉、主动脉弓到达降主动脉膈肌水平,通过TEE确认细导丝没有与二尖瓣腱索缠绕。单弯管交换硬导丝后,用16F扩张鞘预扩心尖穿刺处,后将 J-Valve瓣膜(25mm)装入输送器。将输送器推送至主动脉根部,释放定位件,适当调整定位件角度使其进入三个主动脉窦部,并通过DSA和TEE确定三个定位件准确入窦后完全释放瓣膜,撤出输送器。通过DSA和TEE观察人工瓣膜膨胀后金属支架的形态、位置良好,无瓣周漏,收缩期左室侧反流消失。撤出导丝,收紧心尖处荷包线并打结,后鱼精蛋白中和肝素,彻底止血,逐层关胸,封皮,拔出股动脉鞘并在股动脉穿刺处压迫止血。手术过程顺利,患者生命体征平稳。

术中影像监护与评估(DSA&TEE)

图片

造影确认定位件入窦,瓣膜入座

图片

瓣膜充分自膨

图片

释放瓣膜后,瓣膜位置和形态理想

图片

造影确认无反流和瓣周漏

图片

术前TEE提示重度AR

图片

TEE提示瓣膜位置良好,膨胀充分,无瓣周漏

讨论

瓷化主动脉(Porcelain Aorta, PA)于20世纪80年代首次被报道,即升主动脉弥漫性钙化,可向下延伸。钙化的主动脉呈蛋壳状外观,通俗讲主动脉就像瓷器一样脆弱,影响插管、主动脉钳闭、主动脉切开等操作,并增加卒中等血栓性疾病风险的病变。PA是一种在人群中比较罕见的疾病,但最近在60岁以上的人群中,尤其是那些合并有冠脉疾病、慢性肾病和钙化性主动脉瓣狭窄的患者中被越来越多的发现和了解。在PARTNER临床试验中,15.1%(54/358)的患者合并PA[4]。研究认为PA可能是大动脉炎或者体内钙磷代谢异常等原因造成的。

从该患者术前的CTA可以看到该患者升主动脉和降主动脉有明显、多发的高密度钙化现象,符合PA影像学表现。目前,对于合并PA的患者总的处理原则是“不触碰”原则,即:在任何心脏手术中,我们有必要应用更加先进的技术避免对严重钙化主动脉的外科操作,这样可以避免钙化主动脉不良事件的发生,如中风和系统性栓塞[5]。因此,对于主动脉瓣重度关闭不全合并瓷化主动脉的患者而言,常规的SAVR需要行升主动脉交叉钳闭,这无疑增加了患者的手术风险。台湾振兴医院心外科魏峥教授团队经过会诊和评估后认为:尽管该AR患者属于非高龄患者,但考虑到动脉管壁条件,对其行常规的外科开胸手术风险较高,经过和患者及其家属的充分沟通后,选择经心尖TAVR手术。

与股动脉入路相比,心尖入路的TAVR技术有着不可比拟的优势[6]。首先,经心尖TAVR入路途径短。手术一般采取胸骨左侧第四/五肋间小切口(3~5cm),打开心包以后在心尖部缝荷包,后经心尖穿刺处将支架瓣膜沿硬导丝输送至主动脉瓣位。相比逆行的经股动脉入路而言,经心尖输送途径最短,输送操作便捷。其次,由于经心尖TAVR属于顺行操作,因此导丝及导管的跨瓣操作简单,操作时间短,可以有效减少射线对医患的伤害。

此外,经心尖TAVR血管腔内操作少,可减少外周血管并发症,同时不受股动脉直径的限制,因而可置入较大型号的瓣膜。对于管壁斑块较多的患者,如本例PA患者,还可以避免主动脉斑块脱落,显著降低围术期神经系统并发症[7]。因此,这也要求术者在从股动脉植入猪尾导管到无冠窦的过程中,全程要的DSA的监护下进行,手法要轻柔缓慢,避免对动脉管壁不必要的触碰。

以往的研究认为单纯主动脉瓣反流的患者,瓣环较为松弛,因此理论上需要瓣膜具备更大径向支撑力方能锚定在瓣环处,否则舒张期很容易将瓣膜冲入左室里,这将是灾难性的后果,需要开胸将瓣膜取出,极大的增加了手术风险。另外,单纯依靠较大的径向支撑力还会增加房室传导阻滞的风险,这也就是传统瓣膜永久起搏器植入率相对较高的原因之一。值得关注的是经心尖主动脉瓣膜植入系统(J-Valve)有独特的定位件设计,将病变瓣膜夹持在定位件和瓣膜支架之间,即重复利用了原病变瓣膜,使支架瓣膜本身无需特别大的径向支撑力就可以牢固的锚定在病变瓣膜处。上述设计攻克了传统长支架瓣膜和球扩瓣膜无法用于治疗单纯重度AR的难题,为这些患者带来重生的希望,是国际心血管领域的重大突破。

小结

PA增加了单纯AR患者的常规外科换瓣手术的风险,而常用的经股TAVR会增加斑块脱落、神经系统栓塞的风险,经心尖TAVR(J-Valve)可以合理的减轻甚至规避上了上述风险,这与其经心尖的入路途径、特殊的定位件设计密切相关。该患者的良好术后效果也充分的说明J-Valve瓣膜对于这样的高风险手术是安全有效的。

参考文献:

[1] Supino PG, Borer JS, Preibisz J, Bornstein A. The epidemiology of valvular heart disease: a growing public health problem. Heart Fail Clin. 2006. 2(4): 379-93.

[2] Beckmann A, Funkat AK, Lewandowski J, et al. German Heart Surgery Report 2016: The Annual Updated Registry of the German Society for Thoracic and Cardiovascular Surgery. Thorac Cardiovasc Surg. 2017. 65(7): 505-518.

[3] Rosato S, Santini F, Barbanti M, et al. Transcatheter Aortic Valve Implantation Compared With Surgical Aortic Valve Replacement in Low-Risk Patients. Circ Cardiovasc Interv. 2016. 9(5): e003326.

[4] Leon MB, Smith CR, Mack M, et al. Transcatheter aortic-valve implantation for aortic stenosis in patients who cannot undergo surgery. N Engl J Med. 2010. 363(17): 1597-607.

[5] Abramowitz Y, Jilaihawi H, Chakravarty T, Mack MJ, Makkar RR. Porcelain aorta: a comprehensive review. Circulation. 2015. 131(9): 827-36.

[6] 吴凯胜, 孟旭, 张海波. 经心尖及经颈动脉导管行主动脉瓣置换术的研究进展. 中国综合临床. 2021. (03): 284-288.

[7] Sekiya N, Sakaguchi T. [Aortic Valve Surgery for Patients with Severely Calcified Aorta]. Kyobu Geka. 2020. 73(10): 744-748.


阅读数: 1760