结瓣同行,贞心护航。
本着相互交流,共同学习的初衷,“贞”心一“课”系列活动于2021年11月初正式拉开帷幕。该活动由安贞医院心脏瓣膜病介入中心发起,通过与亚太结构性心脏病青年俱乐部(APSHD)开展的”结瓣同行“活动合作,特以每周定期分享二尖瓣/三尖瓣修复和替换案例的形式,以贴近临床的诸多病例为桥梁,搭建安贞与广大青年结构性心脏病术者相互交流学习的平台,集众智,聚众力,共同推动我国结构性心脏病先进诊疗技术的普及与再提高。
本周,首医科大学附属北京安贞医院宋光远教授团队带来了二尖瓣复杂病变A1+AC区脱垂TEER治疗1例。
患者术前资料
基本情况:患者老年男性,因“间断胸闷、咽部紧缩感3个月”入院。患者3个月前开始出现间断胸闷、心悸,多余劳累后出现,伴咽部紧缩感,持续约1小时可缓解,2个月前上述症状加重,持续不缓解,于当地医院急诊诊断为“急性非ST段抬高型心肌梗死”,当时超声心动图提示:二尖瓣脱垂并中重度反流,LVEF 54%,行冠脉介入治疗,造影提示LAD近中段弥漫钙化病变,狭窄最重90%,LCX全程弥漫钙化病变,最重90%,RCA近中段狭窄最重85%,远端100%闭塞,可见左向右侧枝循环供血,行PCI术,于RCA串联植入3.5*33mm、4.0*33mm及4.0*15mm支架3枚。1个月前于我院复查冠脉造影,LAD弥漫性病变,狭窄最重99%,TIMI血流II级,LCX弥漫病变,钝缘支开口99%狭窄,LCX远端细小,100%闭塞,行PCI术,于LAD病变处串联植入2.25*14mm、3.5*18mm、3.5*15mm支架3枚。术后继续给予冠心病的二级预防药物,患者胸闷症状缓解,复查超声心动图提示二尖瓣前叶A1区脱垂,前交界部分受累,二尖瓣关闭不全(重度,3+~4级,Carpentier II型为主),双房增大,三尖瓣轻度反流。为进一步诊治入我科。
既往病史:高血压病史7年,血压最高160/100mmHg,未规律监测血压。,高脂血症病史3个月。无糖尿病、无脑血管病史。
二尖瓣置换STS评分:8.67%
入院诊断:冠状动脉粥样硬化性心脏病, 陈旧性心肌梗死, 冠状动脉支架术后,二尖瓣前叶及前交界区脱垂, 二尖瓣重度关闭不全, 心脏扩大,心功能III级(NYHA),高血压病2级(极高危),高脂血症。
术前评估
术前超声评估结果
术前超声诊断

3D-color MV view:大量反流,起源于1区
Qlab软件勾画估测瓣口面积约:5.19cm²
手术过程
患者麻醉方式为全麻,建立静脉通路后,穿刺右侧股静脉,预埋ProGlide缝合器,食道超声指导下房间隔穿刺成功,将Superstiff导丝送至左房,应用18F鞘管扩张穿刺部位,沿导丝将导引导管送入左房,将Novoclasp MCD0100 系统调整后顺利到达二尖瓣目标位置,在食道超声辅助下,将成形夹精确定位后,成功夹合二尖瓣A1-P1区,超声显示未见明确残余分流,MR减少至微-少量,后多切面证实夹合组织充分,肺静脉多普勒波形由反向恢复正常,手术顺利结束,安返普通病房。
术中及术后即刻超声评估
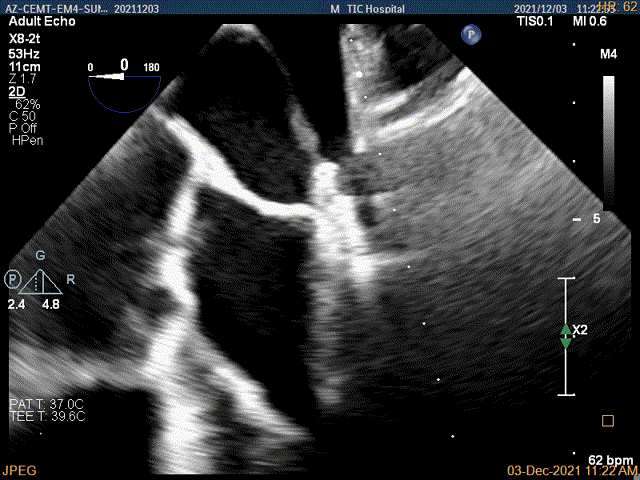
3D视图菲薄的卵圆窝,穿刺点位近似于3点位
3D视图下大鞘位置及长度测量
2D视图下trajectory
3D视图下到达目标位置

3D视图下开夹子旋转使得clip的两个arm与MV对合线垂直

X-plane:下夹子尝试先捕获1区脱垂瓣叶

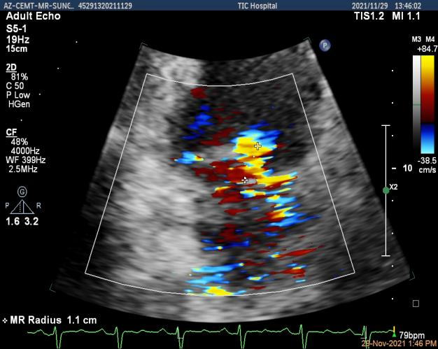
夹子关闭过程中,Color提示1区反流逐渐减少
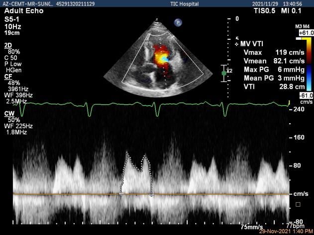
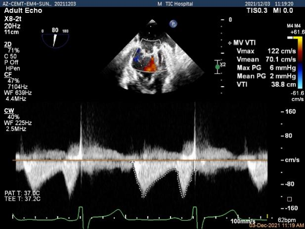
二尖瓣口平均跨瓣压差:2mmHg
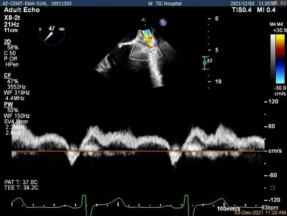
肺静脉血流频谱恢复正向

4Ch验证前后叶抓捕后有典型的bouncing征
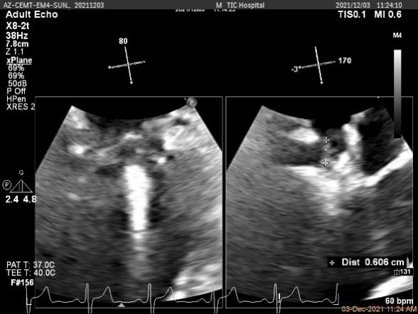
x-plane平面测量确认后叶抓捕长度大于6mm
3D证实夹子AC区残余脱垂被禁锢住
3D-color证实无明确残余分流
手术心得:
专家简介
宋光远
首都医科大学附属北京安贞医院
2015.2-2016.7 美国 Cedars Sinai Medical Center 博士后学习。
· 累计完成瓣膜病介入治疗超过 1000 例。
· 累计完成房颤左心耳封堵术超过 200 例,其中 LAAO+PCI 一站式治疗 50 余例。
· 累计完成复杂冠脉介入治疗超过 5000 例。
· 主持结构性心脏病影像核心实验室,目前完成 CT 和超声分析 3000 余例。
· 带教省级医院横跨 30 余省市 60 余家 主持国家自然基金,国家自然青年基金、教育部博士点基金、北京市科委创新基金、协和青年基金等多项课题。
· 发表论文 20 余篇,共计他引超过 110 次,最高单篇 SCI 影响因子超过 20发表文章质量高:63.2%的文章均发表在《我国高质量科技期刊分级目录》收录的期刊中;21%的文章位于 T1 区(国际一流期刊),31.6%的文章于 T2 区(国际知名期刊)。
· 主译《心脏导管手册》,《结构性心脏病介入治疗》。
何怡华
首都医科大学附属北京安贞医院
主任医师/国家二级教授/博士、博士后导师
首都医科大学附属北京安贞医院心脏超声医学中心主任、胎儿心脏病母胎医学中心主任;
受国家卫健委委托牵头制定《胎儿心脏病诊断咨询及管理指南》;作为首席专家牵头科技部十三五国家重点研发计划1项、参与十三五国家重点研发计划1项,承担科技部十二五国家科技支撑计划及科技部国际合作、国家自然科学基金、北京自然科学基金等多个国家级和省部级项目。
第一完成人获得2020年教育部科学技术进步奖二等奖;第一完人获得2021年第四届妇幼健康科学技术奖一等奖;
中国心胸血管麻醉学会心血管超声分会主任委员、中华医学会超声医学分会第十届委员会妇产超声学组副组长、国家人口与健康数据平台胎儿心脏首席专家、中国妇幼保健协会胎儿心脏病防治专业委员会第一届主任委员、中国风湿免疫病相关生殖及妊娠研究委员会副主任委员、中国医师协会医学遗传医师分会妇幼保健专业委员会第一届委员会副主任委员等;全国产前诊断专家组成员;中国优生科学协会出生缺陷预防专业委员会常务委员
何怡华教授团队目前有成员40名,团队目前在外科术中及介入治疗领域主攻开发成人介入瓣膜远程协同机器人系统,远程机械臂自动图像采集及图像判读诊断系统,在国内相关领域处于技术领先水平。近十年何怡华教授一第一及责任作者发表国内核心期刊文章260余篇,SCI 76余篇,国际会议发言30余次。主编出版专著《胎儿超声心动图学》,再版《经食管超声心动图学》。

