患者
患者女性,81岁。
主诉
反复胸闷气促半月。
现病史
患者半月前无明显诱因下出现胸闷气促,每次持续时间约十几分钟至半小时,活动后加重,休息可缓解。夜间可平卧,伴双下肢浮肿。
超声检查
左室射血分数:64%;
主动脉瓣峰值流速:472cm/s;
主动脉瓣平均跨瓣压差:53mmHg
主动脉瓣开口面积:0.4cm²;
诊断:主动脉瓣钙化伴重度狭窄及轻度关闭不全;二尖瓣功能性重度返流。起搏器植入术后改变,双房增大,左室饱满,室间隔基底部增厚。主动脉硬化,升主动脉内径增宽。三尖瓣轻中度返流,肺动脉瓣轻度返流,肺动脉收缩压增高(轻度)。右心功能减退,左室顺应性减退。
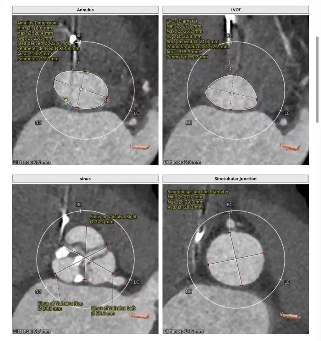
主动脉CT
难点分析:
患者为三叶瓣,中重度钙化,右冠高度可,但左冠高度8mm,且瓣叶达到冠脉开口上缘,法式窦结构不大,综合考虑冠脉风险高。
制定策略:
湖州市中心医院程震锋主任TAVR团队和浙大二院刘先宝主任团队,共同讨论分析,手术拟右侧股动脉作为主入路,使用22mm球囊预扩,根据球囊预扩情况,进一步确认冠脉风险。选偏小一号L26号的VenusA-Valve瓣膜,并采用VenusA-Plus可回收输送系统确保瓣膜的稳定释放,瓣膜释放后结合造影和超声情况,决定是否后扩。 考虑该病例存在高风险,决定必要时采取冠脉保护措施。

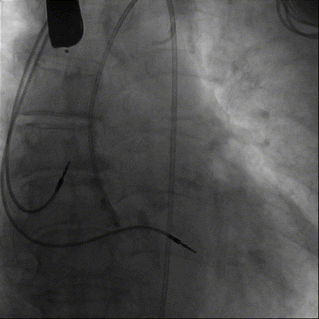
主动脉根部造影

22mm球囊预扩

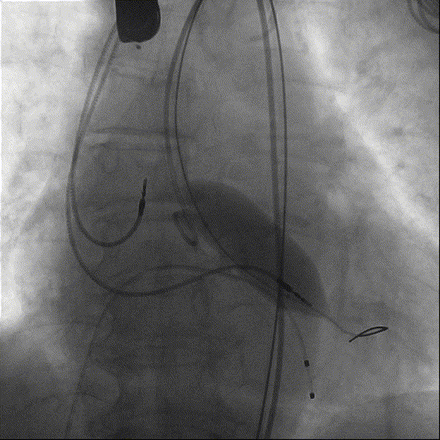
瓣膜初始定位

第一次释放过程

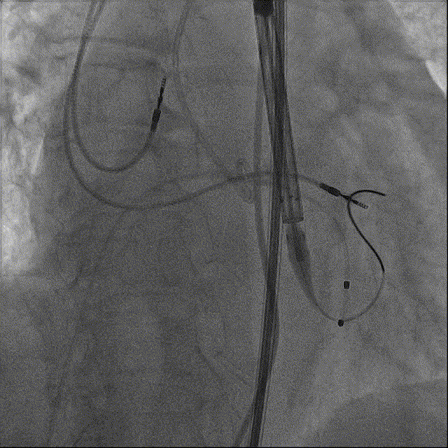
瓣膜回收后,再次定位释放

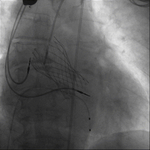
22mm球囊后扩

瓣膜释放后主动脉瓣根部造影提示瓣膜位置良好、冠脉显影正常。
手术结果
在团队配合默契下,手术顺利完成,术后即刻造影及超声检查提示:瓣膜位置良好,冠脉显影正常,存在少量瓣周漏,术后压差2mmHg(术前53mmHg),二尖瓣返流明显减轻。术中血流动力学稳定,术后患者即刻拔除气管插管。术中及术后未出现相关并发症,手术圆满完成。
该病例冠脉堵塞风险高,术前做好冠脉保护策略非常重要。术中球囊预扩时,除常规 Balloon sizing 确认瓣膜型号外,还应当着重观察左冠灌注情况。基于患者安全考虑,瓣膜尺寸选择偏小型号VenusA-Plus® L26降低冠脉封堵风险,选择可回收输送系统多了一次调整的机会,让手术效果和安全性更好。
湖州市中心医院TAVR团队始终秉持着精益求精的精神,积极探讨新技术新方法的应用,通过实践积累更多的经验,为更多的患者重建新的“心”希望。
