喜讯|葛均波院士团队完成的首批两例LuX-Valve Plus经血管三尖瓣置换患者1周内康复出院!

2021年12月7日,复旦大学附属中山医院葛均波院士团队完成的首批两例LuX-Valve Plus经血管三尖瓣置换患者顺利出院,从患者入院至出院仅历时一周时间,出院时患者状态恢复良好,复查心超三尖瓣无反流。

图片

周达新教授与一名患者合影

两例患者是都是外科手术高危的极重度三尖瓣反流的老年女性,反复下肢水肿、腹胀、纳差,活动耐力减退。一例患者风湿性心脏病,二尖瓣生物瓣置换术后,房颤,心超显示三尖瓣极重度反流(最大反流宽度15mm);另一例患者房颤,心超示三尖瓣极重度反流(最大流宽度23mm)。

两例患者入院后,葛均波院士及其团队周达新教授、潘文志教授、张源博士、陈莎莎博士及心超室的潘翠珍教授、李伟教授对患者的情况进行了详细讨论和评估,决定采用LuX-Valve Plus经血管三尖瓣置换系统为患者进行手术治疗。

图片

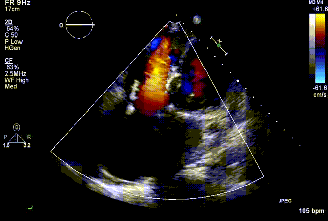
结合术前CT评估结果,葛均波院士团队最终决定选用LuX-Valve Plus 50mm和55mm两种型号的瓣膜,并于2021年11月30日顺利完成LuX-Valve Plus经血管三尖瓣置换术,手术室即刻拔除气管插管,术后第二天转出心内科监护室,下床活动。术后患者三尖瓣反流症状得到显著改善,复查心超结果显示人工三尖瓣瓣膜支架固定稳定,瓣叶关闭形态未见异常,未见明显反流。

图片
周达新教授查看患者术后恢复情况,可见患者下肢水肿症状显著改善
图片
图片
图片
图片

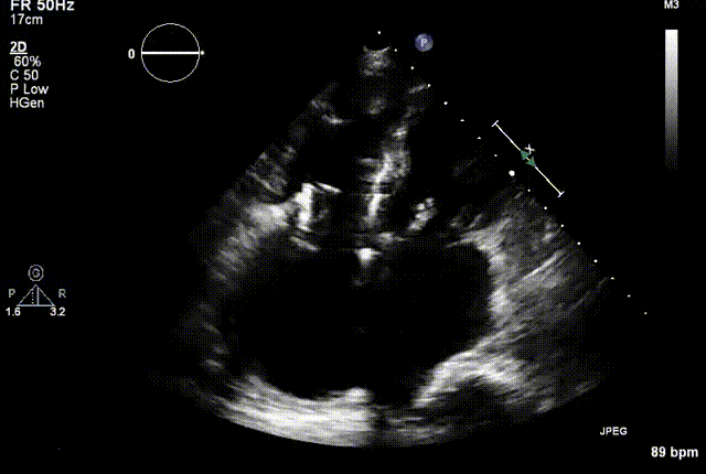
复查心超图

LuX-Valve是一种非径向支撑力原位经血管三尖瓣置换装置。相较于传统的依赖径向支撑力的器械相比,LuX-Valve的锚定方式能更好地适应三尖瓣组织菲薄脆弱的特性,瓣膜选择大小可基于有效的三尖瓣孔面积,而不是扩张的三尖瓣环。在LuX-Valve独具优势的基础上,LuX-Valve Plus对输送系统进行了全面升级,实现了经颈静脉入路,进一步减少了手术创伤和风险。

葛均波院士寄语

图片

在本次救治性临床研究中,治疗的两例患者病因不同解剖结构复杂,均为极重度三尖瓣反流,手术最终都顺利植入了LuX-Valve Plus三尖瓣人工瓣膜。术后超声显示瓣膜支架固定稳定,反流症状显著改善,取得了良好临床治疗效果。

LuX-Valve Plus是LuX-Valve的第二代产品,术者通过颈静脉入路将三尖瓣人工瓣膜植入人体,术后即刻拔除气管插管,术后第二天即可下床活动。这种术式对患者的身体损耗小,术后恢复快,相信今后将造福更多的三尖瓣反流患者,尤其是无法耐受外科开胸手术的高危患者。本次救治性临床研究已初步验证LuX-Valve Plus经血管入路治疗极重度三尖瓣反流的患者的可行性和安全性,我们也期待后期的正式临床研究开展展示更可靠的结果。

周达新教授寄语

图片

一直以来,三尖瓣瓣膜被称为“被遗忘的瓣膜”。实际上,三尖瓣反流是一种常见的心脏瓣膜疾病,严重的三尖瓣反流患者临床预后差,对患者的生活造成了极大的不便。并且国内的老年人群患病数量被严重低估,因此,有效治疗三尖瓣反流一直是广大医生同道关心的热点问题。

LuX-Valve Plus是一款经血管介入的三尖瓣瓣膜置换系统,在本次救治性的临床研究中“表现出色”,两例患者的极重度三尖瓣反流显著改善,术后恢复很快,短短一周时间即可出院,治疗效果及康复速度令人满意相信今后LuX-Valve Plus将会为更多的三尖瓣反流患者带来临床获益,也期待后期多中心临床研究的开展,为经血管三尖瓣置换领域的循证“添砖加瓦”!

阅读数: 2206
相关专题