2021年12月(总第6期)
三尖瓣生物瓣置换术后瓣叶的耐久性大约为10-15年,瓣叶衰败导致三尖瓣反流和/或狭窄,严重影响患者的生活质量。对于此类患者再次采用外科干预手术风险大,且并发症多,采用经导管“瓣中瓣”植入术可成为代替外科手术的一种有效技术。该技术创伤小,手术时间短,恢复快,成为更多术者和老年患者的选择。
经下腔静脉入路的三尖瓣“瓣中瓣”植入术入路短,理论上输送系统头端调弯一次可直接正对三尖瓣位,但常因患者右心房较大,直接采用导丝跨瓣建立通路相对困难,耗时久,本中心采用新型预弯鞘跨瓣并送入输送系统,能够有效降低手术难度,在此,我们通过一病例详细介绍该手术过程。
患者信息
男,19岁,55Kg,心衰病史1年+, 双下肢水肿,超声心动图提示:房间隔缺损并肺动脉瓣狭窄矫治术后(16年),三尖瓣位生物瓣(29美敦力)置换术后(9年),三尖瓣生物瓣狭窄伴关闭不全,PGmax20mmHg,EDV 68ml,ESV 26ml,EF 31%,FS 31%,SV 42ml。NYHA心功能分级IV级。
术前评估
术前计算机三维重建右心模型:
手术策略:
手术拟选择型号TAV 26 的Prizvalve®瓣膜进行瓣中瓣手术;设定充盈时直径达到26mm进行扩张;手术路径选择经股静脉入路。
手术操作:

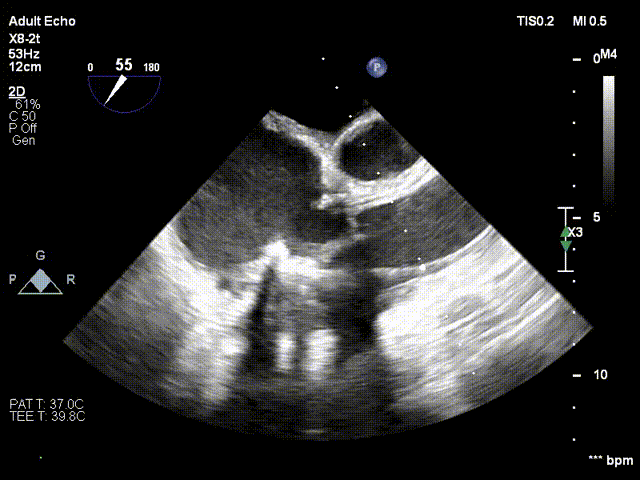
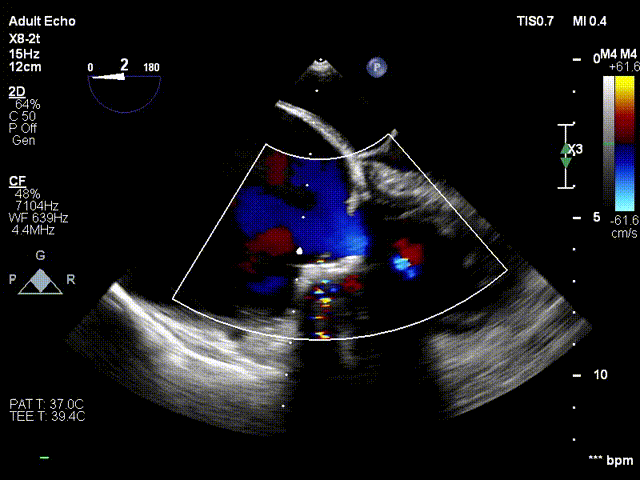
术前造影可见三尖瓣反流

DSA及食道超声引导新型预弯鞘送至三尖瓣

预弯鞘定位

置入26mm Prizvalve
食道超声引导瓣膜跨瓣定位

撤出大鞘,Prizvalve瓣膜显影点定位

Prizvalve瓣膜左侧显影点与瓣环齐平后球囊扩张释放瓣膜

术后造影三尖瓣反流消失
术后食道超声显示球扩瓣形态理想、反流消失
术后3D重建:
三尖瓣“瓣中瓣”支架形态位置良好
小结:
经导管三尖瓣“瓣中瓣”置入技术是三尖瓣生物瓣衰败患者的首选治疗方式,且在国际指南中属于Ⅱa类推荐。此例患者年纪轻,但心功能差,且为第三次手术,外科手术风险极大,由于介入生物瓣具有一定的耐久性,采用短瓣架置换三尖瓣后能够保障今后生物瓣衰败后适宜再次介入手术。结合本病例可见短瓣架的球囊扩张式瓣膜是适宜此类患者“瓣中瓣”治疗的,手术过程中无需使用起搏器,可以采取局麻方式手术。尤其对患者准确的术前CTA影像评估以及术中多模态影像引导是成功实施经导管三尖瓣“瓣中瓣”手术的重要依据。此外,该手术过程中新型预弯鞘的使用可保障介入瓣膜输送系统快速准确地到达三尖瓣位,能够有效缩短手术时间。
专家简介
杨剑
空军军医大学西京医院
心血管外科一病区主任,博士研究生导师。曾于德国洪堡大学Charité医学院、德国柏林心脏中心、美国Cleveland Clinic医学中心等国际知名医学中心访问研修。担任美国心脏协会专家会员(FAHA)、 美国心脏病学会专家会员(FACC)、中国医师协会心血管外科医师分会结构性心脏病专业委员会副主任委员、中华医学会胸心血管外科分会第九届委员会青年委员、陕西省医疗器械不良事件监测专家咨询评价委员会专家。获聘陕西省中青年科技创新领军人才、陕西省科技创新团队带头人,为陕西省自然科学基础研究计划杰出青年科学基金项目获得者、西安交通大学兼职教授。担任Eur Heart J, BMJ,AJC等杂志特邀审稿人,《中华胸心血管外科杂志》、《心脏杂志》、《中国体外循环杂志》、《心血管外科杂志》、《精准医学杂志》编委。临床专长于复杂结构性心脏病的微创及介入治疗,在国内较先开展了经导管肺动脉瓣置换、主动脉瓣置换、二尖瓣修复、二尖瓣置换以及瓣周漏封堵等创新性技术。主要科研方向为结构性心脏病诊疗新技术以及心肌细胞损伤修复、重构和再生的临床转化研究。在微创心血管器械研发、临床转化及以3D打印为主的多模态影像学评估方面有一定建树。先后在Eur Heart J,JACC等国际期刊上以第一或通讯作者发表SCI论文30余篇,被Circulation,JACC等国际权威杂志引用500次,承担十三五国家重点研发计划、国家自然科学基金等10余项基金,经费1000余万元。荣获国家科技进步二等奖、中华医学科技一等奖、中华医学会胸心血管外科分会Lillehei奖学金“菁英奖”、中国医师协会胸心血管外科分会优秀青年医师“杏林奖”等奖励。授权国家专利20余项,出版专著、译著12部。
刘洋
空军军医大学西京医院
心血管外科博士,副教授,硕士生导师。美国马里兰大学医学院博士后。国家心血管病专家委员会微创心血管外科专业委员会委员。专注心血管疾病微创治疗。先后开展经皮微创介入瓣膜病修复及置换术,瓣膜置换术后瓣周漏介入封堵术,主动脉缩窄球囊扩张支架置入术,冠状动脉漏介入封堵术等多项心血管疾病微创治疗新技术。在国内外发表研究论著50余篇,其中SCI论著18篇;主持军队重大专项子课题1项,国家自然科学基金1项,军队及省部级课题各3项;参加“863”重点课题,“十二五”、“十三五”国家重大科技专项等课题13项。获国家专利11项;副主译专著1部,参编专著8部。先后获得美国ASAIO青年医师奖,Euro-ELSO青年研究者奖,中国医师协会心血管外科分会杏林奖,中华医学会胸心血管外科分会Lillehei 奖学金及厄尔巴肯奖学金。

