近日,东莞市人民医院郭素峡教授团队在鲁甸县人民医院精准帮扶项目中,应用超声引导,损伤电流(COI)再确认的精湛技术,成功为心动过缓患者零射线植入心脏起搏器。患者术后症状明显改善,生活质量得到恢复。
47岁女性患者,18个月来无明显诱因出现阵发性心悸、胸闷、喘息,运动耐量下降等症状,6月前晕厥一次,未作特殊诊治,三月前,患者在山上放羊,再次晕倒摔下山,遂前往鲁甸县人民医院就诊。查心电图:窦性心动过缓,心率41次/分。24小时心电图检查发现,患者平均心率53次/分,最慢心率35次/分,大于1.6秒RR间期17次,最长RR间期1.72秒。诊断为显著窦性心动过缓。
东莞市人民医院心血管内科利用远程网络协助平台跟鲁甸县人民医院对接和进行线上会诊,经郭素峡教授团队讨论,该患者患有症状性的窦性心动过缓,并有晕厥史,危险系数高。根据《2021年ESC心脏起搏与心脏再同步治疗指南》推荐,该患者属于植入心脏起搏器的I类适应症。但患者因家庭经济问题,坚决拒绝进行手术治疗。东莞市人民医院党委委员、副院长周建平得知该患者有晕厥病史,病情关乎性命安危,为避免因病返贫的情况发生,践行党史教育“我为群众办实事”的活动,周建平副院长决定个人向患者捐赠了一套心脏起搏器。
周建平先生个人捐赠心脏起搏器
山重水复疑无路,柳暗花明又一村
▼▼▼
然而,基层医院设备尚不完善,符合起搏器手术无菌要求的手术室没有DSA机,仅有一台心脏彩超机,这给手术开展带来很大困难。
郭素峡教授团队分析道,超声引导下行起搏器植入术有一定难度,首先是失去了X线的辅助,电极进入右心房、跨三尖瓣、到达理想起搏部位存在困难;其次难以判断电极张力和电极头端固定情况;最后是电极固定后预留长度难以确定,容易发生脱位、穿孔及三尖瓣反等并发症。因此,文献报道中该类手术目前国内鲜有人实施。但东莞市人民医院心内科曾经给一位孕妇做过同类手术,有一定经验并有很好的预案。
在手术准备阶段,郭素峡教授提出手术过程增加损伤电流(COI)测试,该参数可以提示电极导线与心肌接触牢靠度,减少术后电极脱位风险。在与患者家属充分沟通后,决定为患者施行彩超引导下的永久性起搏器植入手术。
超声引导国内鲜见,COI护航安全牢靠
▼▼▼
手术在详细周全的计划下进行。严格消毒、铺巾后,郭素峡,陈丽华两位术者顺利进行了左侧腋静脉穿刺,并制作好囊袋。在超声引导下,电极经上腔静脉后顺利进入右心房,跨越三尖瓣,顺利到达右心室。
为了避免心尖部和游离壁起搏导致的不良预后,手术团队精益求精,多次调整电极导线位置,最终将起搏电极固定于低位间隔,起搏图形良好、参数良好。电极测试参数为:阈值 0.5V,R波 11.2-15.68mv,阻抗 904Ω,电极螺旋释放后损伤电流明显增高。
电极导线到位后通过彩超判断电极预留长度及三尖瓣反流情况,再进行缝合固定,最后连接起搏器缝合囊袋,手术顺利完成。术后患者症状明显改善,心率恢复正常状态。
术前病情讨论和设计手术方案
郭素峡教授团队开展手术
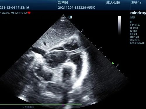
低位间隔部植入电极导线
右房电极预留长度
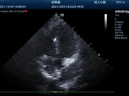
电极螺旋释放前COI
电极螺旋释放后COI
本例手术成功采用超声引导结合COI测试植入心脏起搏器,该术式在国内也鲜见开展。不仅突破了硬件简陋的局限,同时对基层医院开展起搏疗法提供了新的思路。
专家简介
周建平
东莞市人民医院
副院长、主任医师;广东省医学会胸外科学会常务委员;广东省医师协会胸外科学会常务委员;广东省医院协会胸外科学会常务委员;广东省微创学会委员;东莞市医学会胸心外科学会主任委员;东莞市微创学会副主任委员。
郭素峡
东莞市人民医院
心内科学科主任,医学博士,生物学博士后,日本访问学者,副主任医师,副教授,硕士生指导老师,东莞市特色人才 东莞市胸痛中心质控主任,东莞市临床限制性技术质量控制中心心血管内外科专业组组长。
陈丽华
东莞市人民医院
东莞市人民医院心血管内科二区副主任


