2021年12月4日,郑州市第七人民医院赵育洁主任、张申伟主任团队成功完成TaurusElite®可回收经导管主动脉瓣系统首例植入。此病例十分典型,Type 0型二叶式主动脉瓣,重度钙化主要沿两窦瓣叶边缘连续分布,瓣叶增厚,窦内少量钙化向窦底延伸至瓣环水平,瓣环水平夹角54接近横位心,升主动脉严重扭曲。术后瓣膜工作正常稳定,未出现冠脉阻挡和瓣周漏等情况,血流动力学均得到有效改善,为患者带来更长久生存期受益和更高生活质量。
患者基本信息:
患者:女性,71岁,以间断胸闷气短4年为主诉入院,术前诊断:1.冠心病2.高血压病2级3.主动脉瓣重度狭窄二尖瓣重度关闭不全4.心律失常,三度房室传导阻滞。术前峰值跨瓣压差 120mmHg,瓣上速度 4.5m/s,瓣口面积0.8cm²。
术前评估:
1.Type 0 型二叶瓣,瓣叶增厚,双侧瓣叶边缘连续条状钙化,瓣膜锚定难度适中,瓣膜植入受两侧钙化挤压存在移位风险及瓣周漏风险。
2.冠脉开口高度可,未见冗长瓣叶,结合瓦氏窦、STJ内径综合预估,冠脉风险适中。
3.接近横位心,升主动脉扭曲,弓顶部角度略锐,宽度适宜,预计输送器可顺利过弓,输送器跨瓣难度增高,必要时Snare辅助。
4.外周入路走行及内径可,未见明显狭窄,左股穿刺区少量钙化,入路穿刺规范操作,小心通过,避免入路血管损伤及相关并发症。
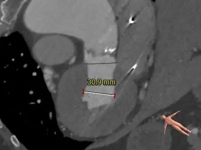
主动脉根部测量
瓣上测量
冠脉评估及钙化
外周入路评估
手术难点:
1.重度钙化Type0型二叶瓣,瓣叶增厚,瓣膜锚定难度适中,存在移位风险及瓣周漏风险
2.接近横位心,升主动脉严重扩张并扭曲,跨瓣、球囊及输送器跨瓣难度增高
手术策略:
1.右侧股动脉为主入路,左侧为辅助入路,使用20F大鞘。
2.Type0型二叶式主动脉瓣狭窄跨瓣困难,故推荐跨瓣、球扩、释放共同采用接近双窦展开角度LAO 33 CRA 15 左右(双窦展开角度过大难以实现)。
3.推荐22mm球囊预扩,根据球扩后腰征决定AV26还是AV29瓣膜,瓣环下2mm定位释放,建议释放后调整至右前斜足位 RAO 6 CRA 35 左右进一步确定人工瓣膜展开形态。
4.接近横位心,升主动脉严重扩张扭曲,输送器及球囊跨瓣难度高,必要时Snare辅助。
5.弓顶部角度略锐,宽度适宜,预计输送器可顺利过弓。
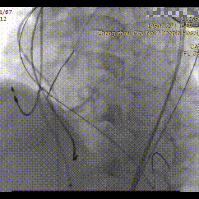
手术过程概览:
冠脉造影


术后效果:
瓣膜释放后形态位置良好,造影几乎无瓣周漏

术后超声微量瓣周漏
跨瓣压差3mmHg
专家简介
赵育洁
郑州市第七人民医院
农工党党员,郑州市第七人民医院心内科主任、心内科二病区主任,医学硕士,主任医师,硕士生导师,河南省医学会心电生理和起搏专业委员会常务委员,河南省医师协会心血管内科医师分会常务委员,河南省医学会心血管病学分会常务委员,海峡两岸医药卫生交流协会心脏康复专业委员会河南省工作委员会副主任委员,中国房颤中心联盟第一届委员会委员,中国心衰中心联盟委员,中国老年保健医学研究会老年心血管病分会第三届委员会常务委员,中国医疗保健国际交流促进会心血管健康医学分会委员,河南省房颤中心联盟副主席,河南省心衰中心联盟副主任委员,郑州市医学会心电生理和起搏专业委员会副主任委员,郑州市医学会心血管内科专业委员会常委,郑州市医师协会心电生理起搏分会秘书。目前为全国心血管疾病介入诊疗技术培训项目培训基地(心律失常介入、左心耳封堵介入、先心病介入)导师、全国CRT植入建设中心郑州市第七人民医院基地主任、左心耳封堵全球带教专家。担任中国介入心脏病学杂志编委。从事心血管内科专业20余年,曾在北京阜外医院学习冠心病介入治疗、北京大学第一医院学习心脏起搏电生理与射频消融介入治疗。荣获“郑州市科学技术带头人、郑州市第十三批专业技术拔尖人才、郑州市科学技术人才、郑州市医德标兵、郑州市三八红旗手”等多项荣誉。发表SCI论文3篇,学术论文20余篇,获得省科技进步奖多项。目前可独立完成起搏器植入术、射频消融术(包括房颤、室早、室速等复杂心律失常射频消融治疗)、冠脉支架植入术、左心耳封堵术等,各类手术累计完成近万例,积累了丰富的手术及临床工作经验。
张申伟
郑州市第七人民医院
心内科十病区、心脏复合病区主任,医学博士,副主任医师,硕士生导师,国家卫健委结构性心脏病(先心病、大血管)介入培训基地导师、中华医学会心血管病分会大血管学组委员、中国瓣膜中心建设委员会专家组成员,河南省医学会心血管病分会委员,河南省心血管微循环学会委员,亚太结构性心脏病青年俱乐部黄金成员,享受郑州市政府特殊津贴。从事心血管内科临床工作18年。参编四部中国专家共识,主持河南省重大科技攻关及多项国家级临床试验,发表SCI论文5篇、核心期刊论文10余篇,获郑州市科技进步二等奖、河南省新技术引进二等奖、河南省科技进步二等奖各1项,主编论著3部。熟悉掌握心血管常见病、多发病的诊治,擅长冠脉造影及支架置入术、肺动脉支架置入术、超声引导下室间隔射频消融术、永久性心脏起搏器植入术、ICD、CRT-D植入、心脏瓣膜病的介入治疗、先心介入封堵、瓣周漏、冠状动脉瘘封堵术、大血管及外周血管、肺栓塞及下腔静脉滤器介入等手术治疗。

