经典病例
近日,山东大学齐鲁医院陈玉国教授团队为一例12年前置入21mm生物瓣继发瓣膜毁损的患者再次更换了“心门”,为患者抓住了一线生机!
VIV(Valve in Valve瓣中瓣成形术)是该类患者最安全有效的治疗手段,21mm外科瓣内径仅为18.5mm,该患者内缘几乎无钙化,这给了介入瓣膜的选择及植入时精确定位极高的挑战。21mm生物瓣VIV在国内只有极少的案例报道,齐鲁医院院长陈玉国教授团队经过全面分析讨论,陈院长亲自带队全程指导,急诊科副主任李传保主任医师带领团队成员,联合心外科谷兴华主任医师、心脏彩超室刘艳副主任医师共同完成了此例TAVR手术。
在医院多学科的共同协助配合下,手术取得圆满成功,这也是陈玉国院长团队近日完成的第二例高难度TAVR手术,标志着山东大学齐鲁医院结构性心脏病领域诊治水平不断突破,已位于全国前列。
病例一:生物瓣中瓣成形术(VIV)
患者:女,77岁。
主诉:劳累性呼吸困难6个月。
既往史:12年前曾行主动脉瓣置换,合并高血压病,无糖尿病病史,无肺功能异常病史,无卒中史。
术前检查
心脏彩超
主动脉瓣中重度反流;
左心增大;
三尖瓣反流(中度)肺动脉高压;
左室射血分数EF值: 48%;
左室舒张末期内径(LVD):5.5 cm。
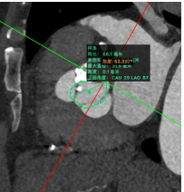
主动脉CT
原生物瓣形态:最大直径18.3mm;
冠脉风险尚可;冠脉切线面窦宽30mm,冠脉距离生物瓣距离>4mm,风险可控;
入路情况:升主有扩张,直径46mm,胸主腹主动脉无明显迂曲,双侧股动脉入路较好,右股可作为主入路;
考虑植入深度:生物瓣缝合环下5mm。
手术治疗策略
术前讨论
陈玉国教授总结了该病例特点:
生物瓣无法通过普通球囊进行有效预扩张,考虑直接植入瓣膜。
该患者生物瓣衰败后反流严重,几乎无钙化,流出道呈喇叭口型,介入瓣膜0位植入后容易下滑,如下滑超过10mm将严重影响瓣叶工作,裙边也不能形成封堵,反流无法得到改善。如高位释放,则弹出风险相对较高。
考虑远期效果,为降低瓣膜开放不良造成瓣膜过早衰败的可能,选择TAV21瓣膜,且介入瓣植入只有一次机会,优先使用电动可回收瓣膜系统;同时为了减少瓣膜移位及瓣周漏,考虑0位释放,下滑空间控制在5-10mm,释放过程中应留意输送系统及导丝的牵拉稳定瓣膜位置,释放至3/4处观察血流情况,复查超声,决定是否回收。
策略制定
全麻下,以右侧股动脉为主入路,不使用球囊预扩张,植入TAV21型号瓣膜。目标植入深度:5mm。
术中精彩操作
主动脉根部造影

瓣膜初始定位
瓣膜释放到2/3,造影确认位置合理
完全释放后造影评估
术后情况
在陈玉国院长带领下,TAVR团队的通力合作下,经过紧张有序的操作,山东大学齐鲁医院急诊科取得了该例手术的圆满成功。术后,患者舒张压明显上升(由40mmHg-55mmHg),仅轻微反流。
病例二:Type1型二叶瓣
患者:男,77岁。
主诉:患者3年余前无明显诱因出现双下肢水肿,伴乏力,无咳嗽、咳痰,无食欲不振,无黑朦、晕厥等不适,遂于当地医院治疗(具体不详)后好转出院。
出院后患者未再出现双下肢水肿。患者1周前查体发现“心脏病”,遂于当地医院就诊,完善相关辅助检查,考虑为心脏瓣膜病。患者现为进一步治疗收住山东大学齐鲁医院。
既往史:发作性双下肢水肿、乏力3年余,发现心脏瓣膜病1周。
术前检查
查体
体重:75kg,身高:170cm,双肺呼吸音清,心率67次/分,主动脉瓣及三尖瓣听诊区可闻及舒张期杂音,余瓣膜区未闻及病理性杂音。
心脏彩超
主动脉瓣及二尖瓣硬化;
主动脉瓣狭窄(中-重度)并反流(重度);二尖瓣狭窄(轻度)并反流(中度);
升主动脉扩张;
左心、右房扩大;
左室射血分数EF值:62%。
主动脉CT
主动脉瓣环周长:97.8mm(瓣上3mm结构周长89mm);
左室流出道周长:92.9mm;
左冠开口高度:17.0mm,左冠瓣长:15.7mm;
右冠开口高度:14.0mm ,右冠瓣长:16.3mm;
主动脉窦宽:43.7-45.3mm;
STJ周长:152.5mm,STJ高度:22.2mm;
升主动脉周长:166.6mm,最大直径54.5mm;
入路:血管情况一般,直径均在7mm以上,但整体均有钙化需要注意;
右侧为主入路,左侧为辅;
升主扩张:平均53mm,最大54.3mm;
三叶瓣:瓣叶无增厚,左右钙化粘连,瓣上可推开空间受限;
左右冠风险较低:术中使用26mm球囊预扩,选用TAV30。
手术治疗策略
术前讨论
陈玉国教授与总结了该病例特点:
Type1型二叶瓣R-L融合,重度钙化且主要位于瓣叶边缘;瓣叶交界处存在纤维增厚融合,钙化分布局限,在环上3mm-10mm出现。
钙化位置预估人工瓣膜打开形态及植入角度或有影响,存在根部损伤、瓣膜移位及瓣周漏风险,考虑使用球囊预扩,瓣膜选择TAV30。
升主最大直径54.5mm,注意轻柔缓慢。双侧股动脉条件皆可,选择右股为主入路。
循环崩溃风险:心室适中,伴中重度反流,循环风险较低。
策略制定
全麻下,目标植入深度:0位,以右侧股动脉为主入路,使用26mm球囊预扩张,植入TAV30型号瓣膜。
术中精彩操作

冠脉造影

导丝跨瓣

球囊预扩
瓣膜初始定位

完全释放,瓣膜形态良好,无周漏
术后情况

在陈玉国院长带领下,山东大学齐鲁医院急诊科取得了该例手术的圆满成功。术后,患者跨瓣压差由术前的63mmHg降至术后8mmHg,无反流及瓣周漏。
结语
随着人类寿命提高,老年性疾病已成为制约人类寿命延长的最主要因素。在众多老年性疾病中,心脏瓣膜病发病率高,对健康影响大,将成为制约人类寿命进一步延长的主要疾病之一。近10余年来,瓣膜介入技术突飞猛进,已成为最热门的医学技术之一。
陈玉国院长表示:齐鲁医院作为全国知名的综合性三甲医院,多学科全方位发展,科研,医疗水平均处于全国内居前列,结构性心脏病诊疗技术跟团队也已经成熟完善,能够很好的服务于齐鲁乃至全国各地患者!
心脏瓣膜疾病诊疗咨询:0531-82169329
地址:山东省济南市历下区文化西路107号山东大学齐鲁医院华美楼二楼胸痛门诊
术者介绍
陈玉国
教授/博导,山东大学齐鲁医院院长,山东省急危重症临床医学研究中心主任。
泰山学者攀登计划专家;
国家重点研发计划项目首席科学家;
国家卫生健康委和山东省突贡专家;
欧洲心脏病学会会士(ESC);
美国心脏病学会会士(FACC);
美国心血管造影和介入学会会士(FSCAI);
享受国务院政府特殊津贴;
现任山东大学齐鲁医院院长;
山东省急危重症临床医学研究中心主任;
山东省急危重症防治工程实验室主任;
兼任中华医学会急诊医学分会第九届委员会主任委员;
中国医师协会胸痛专业委员会候任主任委员等职务。
承担国家重点研发计划、国家自然科学基金重点项目等国家级、部省级课题30余项,发表Eur Heart J、JAMA Cardiol、NAT COMMUN等高水平论文100余篇,获中华医学科技奖一等奖1项、省部级一等奖2项,主编、副主编《急诊医学》国家规划中英文教材、著作15部。
2017年获评山东大学先进教育工作者。
李传保
医学博士,主任医师,山东大学教授,硕士研究生导师。
国家公派密歇根大学访问学者;
齐鲁卫生与健康杰出青年人才;
国家胸痛中心建设全国飞检专家;
目前担任山东大学齐鲁医院急诊科副主任(主持工作);
兼任中华医学会急诊医学分会信息学组委员;
中国医师协会心脏重症专家委员会青年委员;
中国医疗保健国际交流促进会胸痛分会常务委员;山东省医学会急诊医学分会委员;
山东省医师协会胸痛专业委员会委员;
山东省医师协会急诊重症专业委员会委员;
山东省医师协会心血管介入医师分会及山东省心血管疾病介入诊疗技术质量控制中心秘书;
美国心脏协会“基础生命支持和高级心血管生命支持”培训导师等。
主要从事心血管急症的抢救与诊治,尤其是冠心病及心脏瓣膜病的介入诊疗工作。
研究方向:急性心肌梗死和心肌重构的基础及临床研究。目前主持国家自然科学基金2项及省部级课题3项,先后在国内外核心期刊发表论文20余篇,SCI收录10余篇。获省部级奖励3项。


