结瓣同行,贞心护航。
本着相互交流,共同学习的初衷,“贞”心一“课”系列活动于2021年11月初正式拉开帷幕。该活动由安贞医院心脏瓣膜病介入中心发起,通过与亚太结构性心脏病青年俱乐部(APSHD)开展的”结瓣同行“活动合作,特以每周定期分享二尖瓣/三尖瓣修复和替换案例的形式,以贴近临床的诸多病例为桥梁,搭建安贞与广大青年结构性心脏病术者相互交流学习的平台,集众智,聚众力,共同推动我国结构性心脏病先进诊疗技术的普及与再提高。
本周,首医科大学附属北京安贞医院宋光远教授团队带来了A1A2区Flail+巨大心房的TEER治疗1例。
患者术前资料
基本情况:77岁女性,患者主因发现二尖瓣反流10余年,喘憋2月入院,患者10余年前于外院体检时发现二尖瓣关闭不全(中度),无喘憋、胸闷等不适,未诊治。2月前出现夜间阵发性呼吸困难,伴双下肢水肿,至当地医院性超声心动图提示:左房77×99×118mm,左室舒张末期内径65mm,EF:55%,二尖瓣前叶收缩时部分脱向左房内,致瓣叶重度关闭不全,诊断为“二尖瓣重度关闭,心脏扩大,心力衰竭”,予规律药物治疗后,上述症状有所改善,但仍间断出现活动后胸闷、气短症状,为进一步诊治收入院。
既往病史:高血压,陈旧性脑梗死,无糖尿病、无冠心病史。
二尖瓣置换STS评分:12.362%
入院诊断:心脏瓣膜病,二尖瓣重度关闭不全原因待查,心脏扩大,心律失常,持续性心房颤动,心功能IV级(NYHA分级),高血压,陈旧性脑梗死。
术前评估
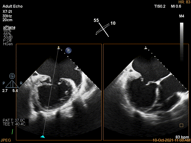
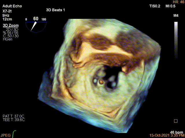
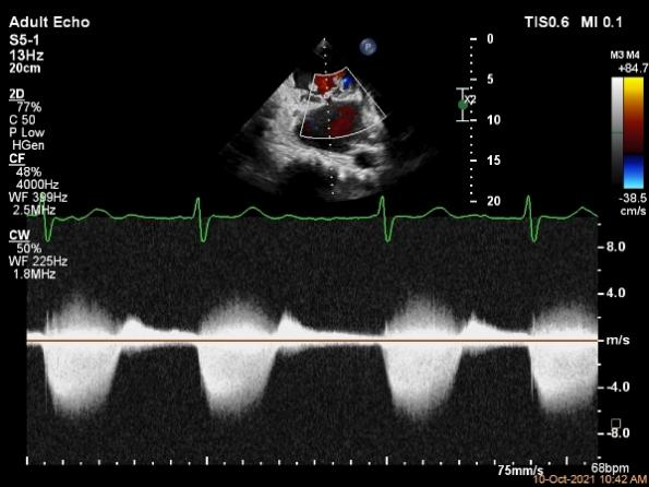
术前超声评估结果

术前超声诊断
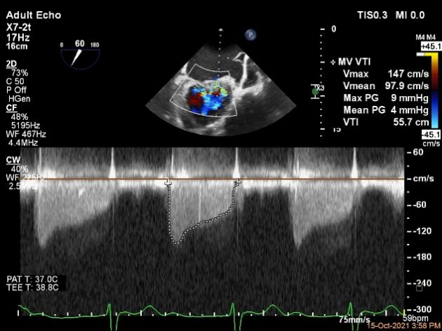
3D-color MV view:极大量返流,1、2区均有受累
Qlab软件勾画估测瓣口面积约:6.23cm²
手术过程
患者麻醉方式为全麻,建立静脉通路后,穿刺右侧股静脉,预埋ProGlide缝合器,食道超声指导下房间隔穿刺成功,将Superstiff导丝送至左房,应用18F鞘管扩张穿刺部位,沿导丝将导引导管送入左房,MitraClip调整后顺利到达二尖瓣目标位置,在食道超声辅助下,将Mitraclip XTR成形夹精确定位后,成功夹合二尖瓣A1-P1区,超声显示P1区内侧残余Flail及返流,将第二枚Mitraclip XTR成形夹精经输送系统送入左房并确定位2区后,成功夹合二尖瓣A2-P2区残余Flail,整体反流量改善至少2级以上,后多切面证实夹合组织充分,肺静脉多普勒波形由反向恢复正常,手术顺利结束,安返普通病房。
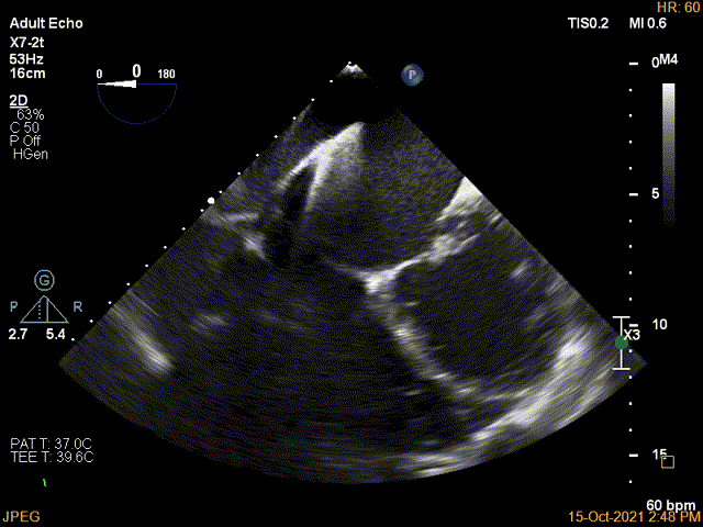
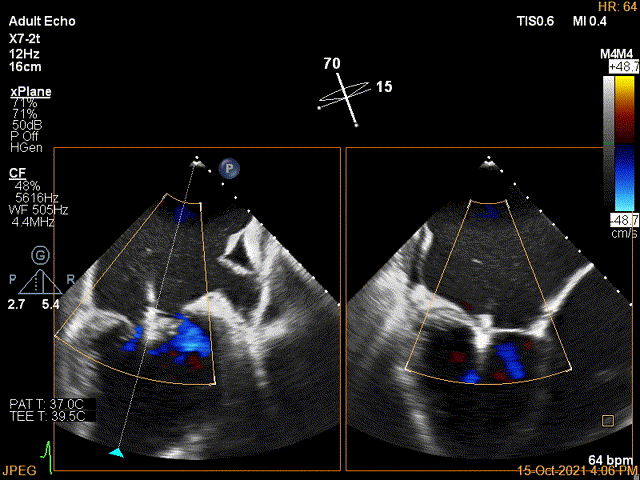
术中及术后即刻超声评估
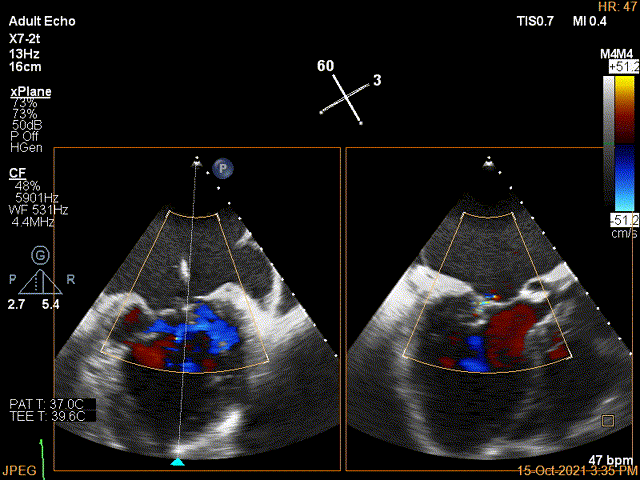
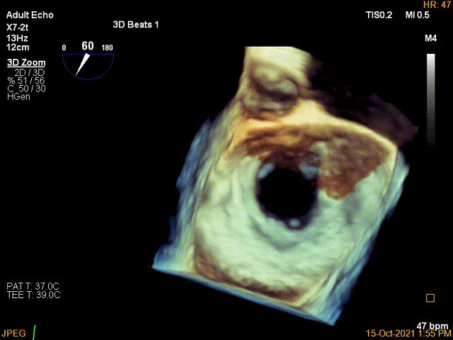
3D确认左房较大,穿刺点位近似于3点位
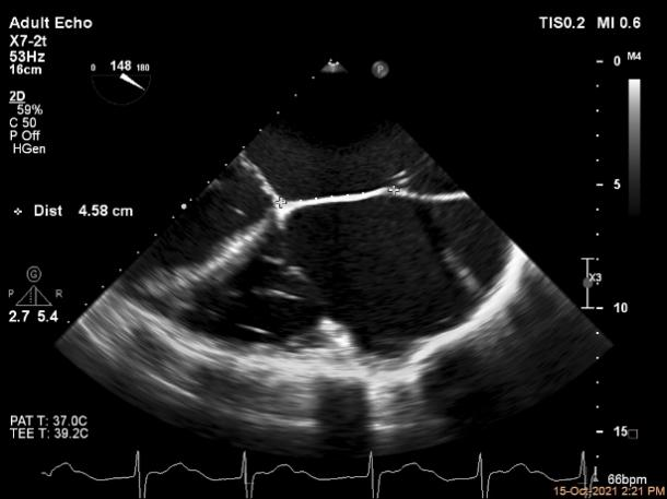
3D视图下大鞘位置及长度测量
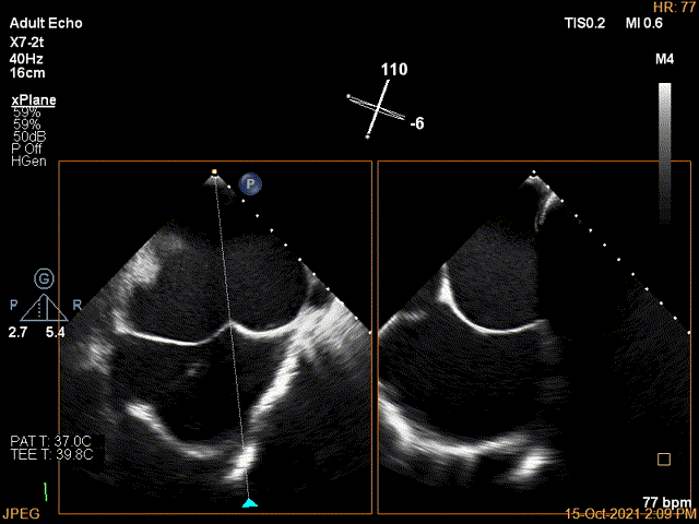
2D视图下trajactiory
3D视图下开夹子并调Rotate

X-plane:下夹子尝试先捕获1区脱垂瓣叶

3D证实夹子内侧残余Flail
3D-color证实残余分流主要位于内侧2区
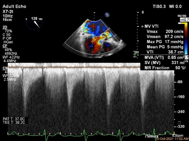
第一个夹子放置后二尖瓣口平均跨瓣压差:4mmHg
2D视图下进第二个夹子并建立trajectory
将第二个夹子置于第一个夹子侧并内调节Rotate

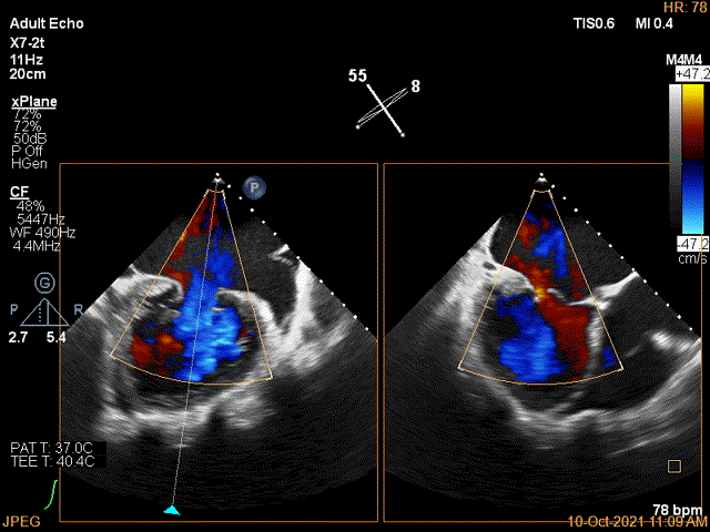
成功抓捕2区域瓣叶
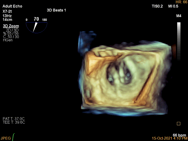
3D视图两个夹子近似并排排列,排列很紧密
Color第二个夹子内侧残余小束分流,宽2.3mm
第二个夹子放置后二尖瓣口平均跨瓣压差:4mmHg
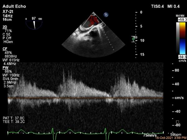
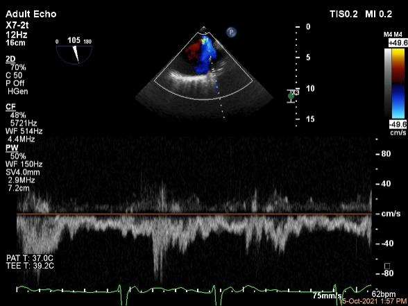
肺静脉血流频谱恢复正向
手术心得:
本例患者主要特点是巨大双心房,对于房间隔的穿刺是一个挑战。
(1)本例中左房明显增大,目测类似常规患者的高度和距离,实际测量值发现位置其实已经很高或者较靠后,因此穿刺时位置应该稍低一些,略靠后。本例患者术中反复确认实际测量高度在4.5-5.0cm,再稍偏后位置进行了成功的房间隔穿刺。
(2)该患者双房明显扩大,空间结构出现了扭转,在Bi-Plane平面LVOT view看不到左室流出道,因此术中通过3D zoom将主动脉瓣旋转到12点钟方向 ,穿刺位置最好为3点钟,自内交界区上方较合适,确定穿刺高度后,左心房3D成像确认。因此,对于这类患者结合3D视图找到最合适的房间隔穿刺点是成功的关键。
(3)本例前叶脱垂较长,后叶相对较短,P1区后叶长度9.4mm,因此钳夹的关键是尽量托住足够长度的后叶(靠近根部),再托住前叶,然后钳夹。
(4)两个夹子尽量靠近,保持平行,在TEE 3D view和DSA 切线位确认夹子靠近的位置 和同向,瓣膜没有异常的抖动,证明张力合适,clip位置满意。
(5)处理复杂病变的患者需要认真评估瓣膜复合体的结构变化,尤其是将空间结构的变化了然于心,才能根据患者的病变制定最佳的手术策略,术中沉着冷静,TEE和DSA多方确认,确保每个步骤达到满意的目标,才能真正达到最佳的治疗效果。
专家简介
宋光远
首都医科大学附属北京安贞医院
2015.2-2016.7 美国 Cedars Sinai Medical Center 博士后学习。
· 累计完成瓣膜病介入治疗超过 1000 例。
· 累计完成房颤左心耳封堵术超过 200 例,其中 LAAO+PCI 一站式治疗 50 余例。
· 累计完成复杂冠脉介入治疗超过 5000 例。
· 主持结构性心脏病影像核心实验室,目前完成 CT 和超声分析 3000 余例。
· 带教省级医院横跨 30 余省市 60 余家 主持国家自然基金,国家自然青年基金、教育部博士点基金、北京市科委创新基金、协和青年基金等多项课题。
· 发表论文 20 余篇,共计他引超过 110 次,最高单篇 SCI 影响因子超过 20发表文章质量高:63.2%的文章均发表在《我国高质量科技期刊分级目录》收录的期刊中;21%的文章位于 T1 区(国际一流期刊),31.6%的文章于 T2 区(国际知名期刊)。
· 主译《心脏导管手册》,《结构性心脏病介入治疗》。
何怡华
首都医科大学附属北京安贞医院
主任医师/国家二级教授/博士、博士后导师
首都医科大学附属北京安贞医院心脏超声医学中心主任、胎儿心脏病母胎医学中心主任;
受国家卫健委委托牵头制定《胎儿心脏病诊断咨询及管理指南》;作为首席专家牵头科技部十三五国家重点研发计划1项、参与十三五国家重点研发计划1项,承担科技部十二五国家科技支撑计划及科技部国际合作、国家自然科学基金、北京自然科学基金等多个国家级和省部级项目。
第一完成人获得2020年教育部科学技术进步奖二等奖;第一完人获得2021年第四届妇幼健康科学技术奖一等奖;
中国心胸血管麻醉学会心血管超声分会主任委员、中华医学会超声医学分会第十届委员会妇产超声学组副组长、国家人口与健康数据平台胎儿心脏首席专家、中国妇幼保健协会胎儿心脏病防治专业委员会第一届主任委员、中国风湿免疫病相关生殖及妊娠研究委员会副主任委员、中国医师协会医学遗传医师分会妇幼保健专业委员会第一届委员会副主任委员等;全国产前诊断专家组成员;中国优生科学协会出生缺陷预防专业委员会常务委员
何怡华教授团队目前有成员40名,团队目前在外科术中及介入治疗领域主攻开发成人介入瓣膜远程协同机器人系统,远程机械臂自动图像采集及图像判读诊断系统,在国内相关领域处于技术领先水平。近十年何怡华教授一第一及责任作者发表国内核心期刊文章260余篇,SCI 76余篇,国际会议发言30余次。主编出版专著《胎儿超声心动图学》,再版《经食管超声心动图学》。

