华中科技大学同济医学院梨园心血管临床医学中心黄恺教授团队全国首例心房分流器治疗重度特发性肺动脉高压患者。
2021年11月30日,华中科技大学同济医学院梨园心血管临床医学中心黄恺教授团队成功为一位重度特发性肺动脉高压(IPAH)右心衰竭患者完成经皮心房分流器植入术,术后患者病情明显缓解。当天下午,北京协和医院荆志成教授在北京协和医院远程医疗中心全程参与,保障了手术成功实施,梨园心血管中心结构性心脏病病区肖书娜、袁媛主任、智莹博士和武汉协和医院董念国主任结构心脏病团队共同完成了手术。这是国内心房分流器在重度肺动脉高压患者首次应用,为该技术在肺动脉高压、右心衰竭领域的发展打开破冰之旅。
患者基本情况:
28岁女性,主因反复活动后气促8年余,加重1月入院。心电图:窦性心律,右房异常,右室高电压。超声提示:右心显著扩大,肺动脉瘤样扩张,三尖瓣轻度反流(4.7m/s,压差89mmHg),估测肺动脉收缩压93mmHg,肺动脉瓣轻度反流(4.8m/s,压差88mmHg),TAPSE 15mm,右室EF 40%,右室面积变化分数FAC 31%,NT-proBNP 1450pg/ml。增强心脏CT显示右心肥厚扩张明显,肺动脉主干瘤样扩张,排除先心病。患者心功能Ⅳ级,六分钟步行距离无法配合行走。
手术策略:黄恺教授团队连线北京协和医院荆志成教授团队讨论后认为:患者目前特发性肺动脉高压(重度,高危组),已足量应用三联靶向治疗肺动脉压药物,心功能仍持续恶化,症状重,死亡风险高,可实施心房分流器植入术,创建房水平右向左分流以增加左心输出量,从而改善体循环氧供,改善患者症状,提高生活质量,延长生存周期。
手术过程:
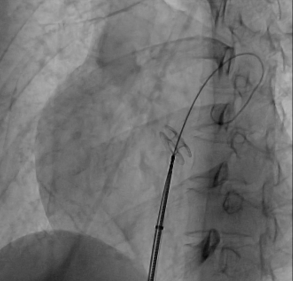
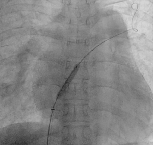
在局麻下为患者行右心导管检查,测量左房压16/8(11) mmHg ,右房压23/11(15) mmHg,肺动脉压167/93(116)mmHg,左右房压差为4 mmHg,全肺阻力 1605 dyn·s·cm-5, 肺血管阻力 1453 dyn·s·cm-5,心输出量 5.6 L/min,心指数 3.7 L/min/m2 ,不吸氧的情况下SPO2 92%,经胸超声定位后行房间隔穿刺,送入预塑形的左房导丝建立轨道,选择6mm外周动脉高压球囊对房间隔进行谨慎扩张三次,送入10F输送系统,体外排气充分后送入心房分流器(WKASD 20-6mm)至房间隔处支撑开此前球囊撕开的不规则房间隔造口,透视及超声观察分流器形态位置良好,释放封堵器。
术后测量左房压16/8(11) mmHg,右房压 17/8(12) mmHg,肺动脉压173/87(116)mmHg,左右房压差为1 mmHg。右房平均压较术前下降3 mmHg,全肺阻力 2167 dyn·s·cm-5,心输出量6.2 L/min,心指数 4.1 L/min/m² ,SPO2 90% ,心输出量较术前显著改善,氧饱和度稍下降。
术后心脏超声提示:房间隔过隔分流存在,孔径约5mm,分流速度 0.9 m/s。
该手术关键难点在于精准控制心房分流量,需保证左心输出量增加带来获益的同时,控制动脉血氧饱和度在合理范围才能增加机体氧供。荆志成教授团队基于前期研究数据进行大量分析计算的基础上,制定了设定造口术后目标动脉血氧饱和度,根据心房压差等一系列数据可以精准计算目标分流量,再使用导管测定血流动力学参数和血氧含量数据,计算目标分流口径的策略,以实现精确计算患者所需要的房间隔造口的直径,从而选择准确口径的分流器。术中选择了腰部开放内径为6mm的分流器,既不引起氧合过度降低,又能增加心排量。黄恺主任手术团队在术中运用局部麻醉,在超声引导下完成房间隔定位穿刺及球囊扩张,心房分流器释放位置满意,血流动力学明显改善,患者症状好转。
球囊房间隔造口术
心房分流器植入术
IPAH患者经过药物联合治疗后仍然心功能III级以上的心力衰竭患者3年生存率很低,重度肺动脉高压目前治疗已包括了基础治疗、靶向药物联合治疗、介入、外科和移植等多种手段,对于特发性肺动脉高压合并心功能Ⅳ级终末期患者,三联靶向药物治疗心功能仍恶化患者,肺移植或心肺联合移植虽是指南治疗的有效方法,因医疗费用高昂,更受到供体来源等很多原因限制,目前在国内开展极少。
心房分流器是一种治疗肺动脉高压的新兴微创介入器械,置入分流器后,通过限制性右向左分流可增加左心心输出量,降低右室压力,提高运动耐量及生活质量,由于一部分未氧合的血液通过分流器进入左房,患者的血氧饱和度将轻度下降,而增高的心输出量可弥补氧合下降,从而改善心力衰竭引起的症状及预后。因此,房间隔球囊造口并心房分流器置入术不失为该类患者可选择的创伤较小、可耐受且可改善心功能的器械治疗。武汉唯柯医疗科技有限公司设计了新型心房分流器可实现精准控制分流量。同时设计了多种分流器孔径型号,释放后可回收、可更换、可二次干预,只为用精心的设计确保经皮房间隔造口术为每一位患者带来最大获益。
北京协和医院荆志成教授表示:
经过药物联合治疗仍然持续心力衰竭的重度肺动脉高压患者预后极差,器官移植尚未常规应用于此类患者,目前几无有效方法。经皮房间隔造口是治疗此类患者的姑息性治疗方法,但存在造口早期闭塞的风险,而经皮房间隔造口后植入创新型心房分流器治疗危重肺动脉高压右心衰竭,优化了球囊房间隔造口术,可有效避免房间隔造口后早期闭塞等并发症,精准控制分流量在合理范围从而保证左心室输出量增加带来获益的同时,维持动脉血氧饱和度在合理范围至关重要,使患者症状、心功能分级和死亡率均得到显著改善。值得注意的是对于重度肺高压右心衰竭患者,由于其心肺代偿能力极低,术中如果分流量大则可产生难以纠正的低氧血症,而且右心房大,穿刺房间隔有心包填塞等严重并发症,需术前做好严密的心肺功能支持紧急预案,包括ECMO 和心外科支持。热烈祝贺黄恺教授带领肖书娜主任、袁媛主任等专家能大胆创新,勇于突破,在梨园心血管中心完成全国第一例心房分流器治疗危重肺动脉高压,意义重大。我相信这一技术的推广和应用将为更多危重肺动脉高压患者带来福音。期待更多患者从此类手术中获益。
专家简介
黄恺
华中科技大学同济医学院附属协和医院
二级教授,主任医师,博士生导师,教育部长江学者特聘教授,美国心脏病学院 Fellow (FACC)。现任华中科技大学同济医学院附属协和医院副院长,心血管内科教研室主任,同济医学院梨园心血管临床医学中心主任;湖北省代谢性心血管疾病医学临床研究中心主任;中国胸痛中心联盟副主席、湖北省胸痛中心联盟主席;中华医学会心血管病分会委员、代谢学组副组长;中国医师协会理事、高血压专委会常委;中华预防医学会心脏病专委会常务委员、湖北省预防医学会心血管专委会主任委员;湖北省医学会心血管专委会副主任委员。担任《中华心血管病杂志》在内的多个国内、国际专业杂志编委。先后主持十多项科技部、教育部、国家自然科学基金委、湖北省和武汉市支持的研究课题。
2020年10月在人民网·人民健康联合中国研究型医院学会主办的2020年“人民好医生”推荐宣传活动由黄恺教授领衔的华中科技大学同济医学院附属协和医院心血管团队获得学术成就-优秀专家团队奖。
2021年荣获“第九届国家卫生健康突出贡献中青年专家”。
肖书娜
华中科技大学同济医学院附属梨园医院
结构病区主任,副主任医师
华中科技大学同济医学院附属梨园医院心血管中心 结构性心脏病和肺动脉高压诊治负责人,湖北省医学会胸心外科分会结构性心脏病专业委员会委员,湖北省预防医学会心血管病分会结构性心脏病专业委员会委员,湖北省TAVR联盟成员,湖北省围生期中毒委员会委员,擅长结构性心脏介入治疗,心力衰竭、肺动脉高压,心律失常,高血压危象,先心病的诊治。参与先心病、结构性心脏病手术近1千例,梨园医院肺高压医学中心学科带头人,在国内外核心期刊发表文章50余篇,拥有与结构性心脏病手术器械相关国家发明专利5项,2019年获得院“十佳医生”奖章,参与结构性心脏病医疗器械创新团队。
袁媛
华中科技大学同济医学院附属梨园医院
心血管超声主任,副主任医师
华中科技大学同济医学院附属梨园医院心血管中心 心血管超声学科带头人,对心血管超声在心脏瓣膜病、先天性心脏病、术中监护等领域有深入研究,术中监测(瓣膜介入导管治疗如TAVR、二尖瓣夹合、Mitroclip、三尖瓣夹合等)有深入研究,对经食道超声心动图、三维超声心动图、组织多普勒成像、超声造影、应变成像等方法与临床应用有深入研究,长期从事心血管内科临床、教学、科研工作,擅长心内科常见疾病诊断及治疗、急危重症及疑难病例救治,尤其擅长结构性心脏病治疗。


