4小时的艰苦奋斗,只为了一次生命的奇迹!
近日,汕头大学医学院第一附属医院心血管病医院王斌院长,陈畅主任带领团队独立完成复杂TAVR+PCI+起搏器植入一站式手术,并取得了令人满意的手术效果。造福广大患者这一个目标有显著的成效!同时标志着我院的高水平医院项目心血管专科建设取得重大突破!
患者刘某,男,73岁,近日出现无明显诱因的胸前区疼痛,呈压榨性,持续不能缓解,因病情复杂危重,从当地医院转至我院就诊,收入CCU给予抗心衰、纠正缺血、呼吸机治疗等积极抢救治疗,病情改善,但仍不稳定。经过心脏超声、主动脉CTA、冠脉造影检查等检查,病人诊断为急性左心衰、急性非ST段抬高心肌梗死、三度房室传导阻滞、主动脉瓣重度狭窄等,经心内科、心外科、超声科、影像科、麻醉科等多学科团队联合会诊,决定给予患者行经导管主动脉瓣置换术(TAVR)、冠脉介入手术和起搏器植入手术。由于病人心功能不全、心率慢,瓣膜呈二叶瓣,狭窄严重伴不均匀钙化,介入手术难度很大。经过充分讨论和准备,首先由陈业群副院长带领电生理团队先为病人植入双腔起搏器。然后,在麻醉科、超声科、心外科的大力支持下,王斌院长,陈畅主任团队,首先实施冠脉介入(PCI)治疗,随后实施经导管主动脉瓣置换(TAVR)手术,一站式完成整个手术。整个手术一气呵成,经过顺利,手术取得圆满成功。手术后患者状态良好,心功能改善明显。
术前CT评估
瓣环:23.4mm LVOT:24.6mm
TYPE 1型二叶瓣,中重度钙化,STJ:29.3
左冠高度:10.6mm 右冠高度:17.5mm
心脏角度:47°,升主动脉40mm:35.3mm
释放体位:LAO:1°,CRA:7°左冠线切位:LAO:10°,CRA:3°
钙化积分:575mm
左室大小:43.0mm
入路情况:左股,主动脉弓部有钙化
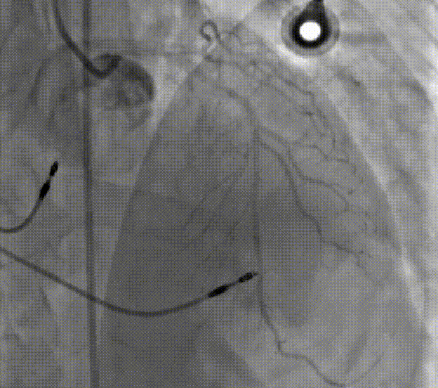
PCI手术
冠状动脉造影

3.0*10mm切割球囊预扩张

Promus-Premier3.0*16mm支架

复查冠脉造影结果满意
TAVR手术







术后心功能各项指标恢复很好,一周出院
(王斌教授,陈畅教授术后查房)
王斌教授点评:
随着我国社会的老龄化,越来越多的老人罹患严重退行性主动脉瓣狭窄,已成为影响人类寿命和社会健康的重要疾病。据统计,主动脉瓣狭窄发病率在>75岁人群达2.5%,在>85岁人群可达8%,是仅次于高血压和冠心病是第三常见的心血管疾病,一旦患者出现症状后不及时治疗,平均生存期仅为2-3年,成为威胁老年人生命的严重老年病。
一旦主动脉瓣严重狭窄,心脏的血液排出受阻,会引发心肌缺血、心绞痛、心力衰竭、心律失常以及猝死。以前,严重的主动脉瓣狭窄只能通过外科手术开胸换瓣。随着经导管主动脉瓣置换术(TAVR/TAVI)发展,使得医生能够通过外周动脉血管以微创的方式实施人工主动脉瓣的植入和替代,大大降低了手术的创伤程度,病人在术后3-5天即可出院。
在独立完成经导管主动脉瓣置换(TAVR)这一高难度的多学科协助的介入技术之后,这次心血管病医院与其他专业紧密合作,再次独立完成经导管主动脉瓣置换(TAVR)、冠脉介入治疗(PCI)和起搏器植入的一体化手术,标志着我院高水平医院建设中心血管专科发展进入新高度,将造福粤东地区更多的心脏病患者。
( 多学科专家团队)
汕头大学医学院第一附属医院简介:
专家简介
王斌
汕头大学医学院第一附属医院
现任汕头大学医学院第一附属医院副院长。
心血管病医院院长,国务院特殊津贴专家,医学博士,博士生导师,兼任北京大学教授,美国心脏学会专业示范中心专家指导委员会主席团成员,中国医师协会心血管内科医师分会委员,卫生部执业医师资格考试命题专家组成员,国家冠心病介入诊疗考试面试考官。曾先后赴瑞士和美国留学,主要从事冠心病和心律失常的介入治疗具有丰富经验,先后完成15000余例病人的介入治疗。完成2项国际合作研究项目,近10项国家级和省部级科研项目,在国际上首先发现心肌组织可以表达lgM分子,先后发表论文80余篇,编译专著40本,获国家专利4项。
陈畅
汕头大学医学院第一附属医院
副主任医师,硕士生导师,医学博士
国家冠脉介入培训导师,汕头大学医学院第一附属医院心血管一病区主任,介入手术室负责人。
美国心脏协会基础(高级)生命支持课程主任导师、广东省医学会心血管病学分会第九届委员会委员。擅长心血管专业的常见病、多发病、危重、疑难病的诊断及治疗。尤其是对于冠心病介入治疗、心内电生理介入治疗、先天性心脏病介入治疗有着丰富的经验。以第一作者在国际循环子杂志(CIR GENIT)中发表冠心病相关文章一篇,参与并主持国家、省部级及汕头市重点项目多个。
熟练掌握心血管专业的常见病、多发病、危重、疑难病的诊断及治疗,有丰富临床经验,解决疑难疾病能力强,对危重病例抢救成功率较高,尤以擅长心脏介入诊治;获广东省科技进步奖1项,市科技进步奖3项。

