2021年11月25日华中科技大学同济医学院附属协和医院董念国教授结构团队一天内完成4种瓣膜介入置换手术,包括:二尖瓣瓣中瓣置换,二尖瓣+三尖瓣衰败联合瓣中瓣置换,主动脉瓣+二尖瓣衰败联合瓣中瓣置换,肺动脉瓣介入置换,主动脉瓣介入置换,是华中地区唯一一家可完成四种经导管瓣膜手术的中心。时值感恩节佳际,向医护人员致敬,感恩负重逆行的白衣天使。
其中的一例二尖瓣+三尖瓣联合置换手术颇具风险和难度。患者为81岁高龄,二尖瓣外科瓣与三尖瓣外科瓣置换术后人工生物瓣膜衰败,存在严重心力衰竭。人工生物瓣膜有一定的使用年限,以往衰败只能通过外科开胸的方法完成心脏瓣膜的置换,因此即使在经验丰富的中心,为高危高龄患者实施再次换瓣手术也是巨大的挑战。“瓣中瓣”技术则能够以微创介入的方法解决了该问题。董念国教授领导下的协和结构团队应用上海纽脉医疗科技股份有限公司自主研制的国产创新器械Prizvalve®瓣膜系统成功为这位高危高龄患者完成二尖瓣联合三尖瓣“瓣中瓣”瓣膜置换手术。
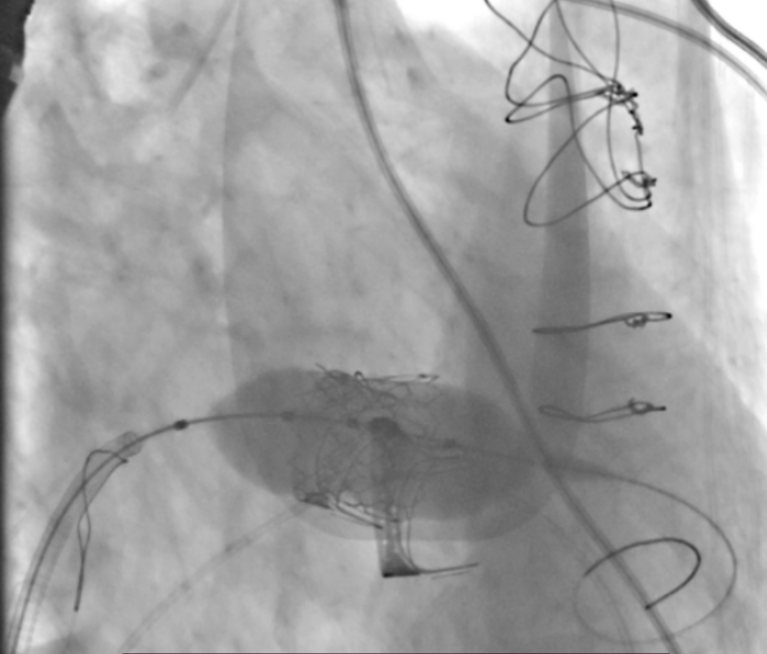
手术过程
患者全麻后,穿刺右股静脉建立通路,穿刺房间隔,选用18mm球囊对房间隔进行扩张。泥鳅导丝跨二尖瓣后,根据术前评估情况,在180次/分快速心室起搏下,收缩压降至50mmHg,选用26mm Prizvalve®球扩瓣进行植入。瓣膜定位精准,释放顺利,撤出输送系统。随后,在圈套器的辅助下,导丝跨过三尖瓣,根据术前评估情况,选用29mm Prizvalve®球扩瓣进行植入。手术顺利完成。
二尖瓣球扩瓣释放
三尖瓣球扩瓣释放
关于纽脉
上海纽脉医疗科技股份有限公司成立于2015年,是一家拥有自主知识产权的高新技术医疗创新型企业。公司专注于国际先进水平的介入人工心脏瓣膜系统的研发与产业化。我们倾听来自于心脏瓣膜患者的声音,理解医生的临床需求,秉承专业、安全、高效的理念,与心血管疾病领域的专家们一起致力于为临床和患者带来更多可以惠及大众的高端医疗器械,打造属于中国的、同步于国际水平的高端医疗器械企业,践行创新造福生命的使命。公司自主研发的Prizvalve®主动脉瓣膜系统已于2021年6月完成FIM临床试验,目前正在进行确证性多中心临床研究,其结构特点有:低瓣架,冠脉保护能力佳;钴铬合金打造,径向支撑力强;牛心包瓣叶,缝合裙边,减少瓣周漏;可调弯系统调节跨弓,球扩展开,稳、准,无需可回收。该产品已完成经由股动脉、下腔静脉、颈动脉及升主动脉四种入路进行TAVR手术,同时也进行了经房间隔的二尖瓣瓣中瓣、经股静脉的三尖瓣瓣中瓣和肺动脉瓣中瓣手术。
武汉协和医院瓣膜中心
武汉协和医院瓣膜中心以夏家红副院长为主任委员,董念国教授为医疗主任、核心专家委员包括曾秋棠、王祥、武庆平、谢明星、史河水、史嘉玮、张劲农、高兴莲、尚小珂、陈澍、钟禹成教授等,加快推进了湖北省心脏瓣膜介入技术的发展,同时又规范了心脏瓣膜病的介入诊疗和改善心脏瓣膜患者预后管理。武汉协和医院瓣膜中心持续探索,屡创佳绩:从2017年起,率先开展华中地区首例TAVR,迄今累计植入逾800台,手术量及手术质量高居华中地区第一,是全国第三、华中地区第一家完成四个瓣膜置换的中心,也是华中地区唯一一家能开展经导管二尖瓣置换、经导管三尖瓣置换、经导管肺动脉瓣置换的中心。同时积极开展各类新技术新器械临床应用,获得多项首例和第一的荣誉:
开展华中地区第一例商业化TAVR
TAVR手术量逾600台,华中地区第一,手术成功率98%
全国范围带教逾100台
经皮TAVR治疗单纯反流病变手术量及经验全国第一
华中地区首家独立手术中心
华中地区首次手术全球直播
华中地区率先带教指导推广TAVR技术
华中地区首例生物瓣衰败瓣中瓣植入
华中地区首例零造影剂下TAVR手术
华中地区首例经心尖TAVR
华中地区首例定位键一体式TAVR
华中地区首例单纯反流病变经皮TAVR手术
华中地区首例一站式TAVR+瓣周漏封堵
华中地区首例进口球囊扩张式TAVR瓣膜植入
华中地区首例国产球囊扩张式TAVR瓣膜植入
华中地区首例球囊扩张瓣膜VIV手术
华中地区首例预装载干瓣TAVR植入
华中首例TAVR+脑保护装置
华中首例一站式TAVR+TEAVR手术
华中首例一站式TAVR+EAVR手术
全球首例一站TAVR+MV瓣周漏封堵
全球首例Leaflex主动脉瓣修复系统联合TriGUARD抗栓塞远端脑保护装置
全国首例Sapien-in-TAVR瓣中瓣手术
全国第三、华中唯一完成四个瓣膜经导管置换
全球首例经皮自膨式窄腰肺动脉瓣植入
全球首例Rastelli外管道植入自膨式肺瓣
全球首例极简式介入肺动脉瓣植入术
全球首例一站式自膨式肺瓣+VSD封堵
全球首例一站式自膨式肺瓣+分支支架植入
全球首例ROSS手术后同种带瓣管道TPVR术
全球首例右位心经皮自膨胀TPVR术
全球首例倒漏斗型RVOT的经皮TPVR术
华中首例经导管自膨胀式瓣膜二尖瓣瓣中瓣植入
华中首例经皮球囊扩张式瓣膜二尖瓣瓣中瓣植入
华中首例经导管二尖瓣腱索修复
全国首例LAMPOON技术联合经皮TMVR-VIV手术
华中首例国产器械经皮二尖瓣缘对缘修复
华中首例经导管三尖瓣原位置换
华中首例经导管三尖瓣瓣中瓣植入
华中首例经皮三尖瓣缘对缘修复
华中首例一站式经导管二尖瓣置换联合经导管三尖瓣置换
华中首例一站式经导管二尖瓣置换联合经导管主动脉瓣置换
专家简介
董念国
华中科技大学同济医学院附属协和医院
心脏大血管外科主任、器官移植中心主任、心血管病研究所所长。长期致力于提升重症心脏病外科疗效,对终末期心脏病、婴幼儿复杂先心病、重症瓣膜病外科治疗有突出成就,是我国儿童心脏移植引领者。带领武汉协和医院心血管外科团队自2008年9月至2019年12月共完成心脏移植698例,连续5年(2014-2019)全国第一、世界前列,术后1年、5年生存率90.1%、84.0%,优于国际心肺移植协会(ISHLT)报道。
主持承担国家级课题10余项,发表论文384篇,SCI收录125篇,申请/授权国家发明专利36项。主编及主审专著6部,主译1部,总字数超过500万。以第一完成人获国际科技进步二等奖1项,省部级一等奖5项。获“卫生部有突出贡献中青年专家”、“全国卫生计生系统先进工作者”、“国家名医”等多项荣誉。
