周周寄语:
冠脉堵塞是TAVR的严重并发症之一,CT预判,采取合适的冠脉保护策略,是避免冠脉堵塞的最好办法。但是总有一些患者难以做到术前100%预判,另外还有一些患者是术后才发生冠脉堵塞,本次病例正是属于后者。从术前CT看,患者窦足够大,STJ足够大,冠脉高度也够,唯一的风险就是冠脉开口接近联合部,而不像其他二叶瓣开口在窦底。术者遇到的几个未预判到的冠脉堵塞都是出现在这种0型二叶瓣,冠脉开口接近联合部的情况,不知道其他同行是否有类似情况?
基本信息
75岁男性,头晕气促4年,加重1年,重度主动脉瓣狭窄(EF 64%,流速4.5m)。
合并症;高血压病;COPD;胆囊结石;拟行TAVR手术。
根部解剖:
患者为TYPE0二叶瓣,重度钙化,术前可见瓣周突出物,怀疑囊肿,瓣环23.8,LVOT25.5,鱼嘴开口22.8,预计瓣口开口22.3,STJ33.9,窦部空间大,左右冠高度分别为19.9和21.5,预计18号球囊预扩。
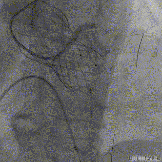
手术过程:

主动脉根部造影



术后48小时


左主干开口被瓣膜阻挡








最后造影
术后介绍
跨瓣压差消失,无明显瓣周漏,病人一周后康复出院。
专家介绍
罗建方
广东省人民医院
医学博士、主任医师、博士生导师。现任广东省人民医院心内科副主任,广东省人民医院南海医院院长、广东省人民医院血管病诊疗中心主任、广东省冠心病防治研究重点实验室副主任。
学术任职:美国心脏病学院Fellow (FACC)、欧洲心脏病协会Fellow (FESC)、美国心血管造影与介入学会Fellow (FSCAI)、首批Global Hybrid Algorithm Community国际认证Hybrid CTO带教专家、卫生部心血管疾病介入诊疗培训基地(冠心病介入治疗)导师。
中华医学会心血管病学分会大血管学组副组长、中国研究型医院学会心血管影像专业委员会副主任委员、中国研究型医院学会血管医学专业委员会副主任委员、中国医疗保健国际交流促进会血管疾病分会副主任委员、中国医疗保健国际交流促进会难治性高血压与周围动脉病分会副主任委员、中国医药教育协会血管医学分会副主任委员、广东省介入性心脏病学会周围血管介入分会主任委员、广东省医师协会心血管介入医师分会副主任委员、广东省医师协会心血管内科医师分会常务委员、广东省医学会心血管病分会结构性心脏病学组副组长等。
血管疾病多学科协作论坛(VMDT)执行主席、冠心病与周围血管介入沙龙(CPIS)执行主席、亚太CTO俱乐部广州峰会共同执行主席、亚洲心脏病学会年会秘书长等。
技术特长:擅长复杂冠脉病变、主动脉疾病、瓣膜疾病、周围血管病等的介入治疗。在国内率先开展脑保护装置下颈动脉介入治疗、经桡动脉行肾动脉介入治疗、快速起搏与经皮穿刺主动脉腔内修复术(TEVAR),2016年4月完成华南地区首例经导管主动脉瓣置换术(TAVR),2019年2月成功实施全球首例经股动脉途径TAVR联合TEVAR一站式手术,团队整体TAVR手术量已超过500台,已经帮助全国100家中心开展TAVR手术。
科研成果:获中国医药教育协会科学技术奖二等奖1项、广东省科学技术奖二等奖2项、三等奖2项。参编学术专著6部,发明专利4项,发表学术论文100余篇。先后承担省市级课题数项,培养硕博士20余人,目前在研经费超过500万元。
李捷
广东省人民医院
医学博士,副主任医师,硕士导师。
学术任职:中国医师协会心血管病分会结构组委员;广东省介入性心脏病协会结构分会常务委员;广东省医师协会心血管介入医师分会委员;广东省医师协会高血压分会青年委员;广东省医院协会心血管质控管理分会结构性心脏病学组委员;中国大湾区心脏协会精准诊疗分会委员;中国结构周秘书长;血管疾病多学科协作论坛(VMDT)秘书。
技术特长:擅长经导管主动脉瓣置换术,手术量超600台,帮助全国70多家中心开展TAVR手术。擅长复杂冠脉病变、主动脉疾病、瓣膜疾病、周围血管病等的介入治疗。

