患者
患者男性,75岁。
主诉
活动后心累、气促1+月。
现病史
入院前1+月,患者无明显诱因反复出现活动后心累、气促, 走平路约50米即出现,休息后可缓解。无咳嗽、咳痰,无心前区压榨性疼痛,无晕厥等症状。患者于当地医院就诊,行心脏超声提示:“主动脉瓣重度狭窄、二尖瓣中重度关闭不全”,肺功能检查提示:“慢阻肺(重度)、肺扩张受限(中度)、弥散功能下降(轻度)”, 胸部CT提示:“双侧胸腔积液,肺气肿",冠脉造影提示:“左主干未见狭窄,前降支中段狭窄约30%,回旋支狭窄约20%,第一钝缘支狭窄约70%,右冠中段狭窄约20%"。为求进一步诊治到我院就诊,门诊以“心脏瓣膜病”收入我科。
既往史
自诉发现血压升高多年,最高血压达165/? mmHg, 平时血压维持在150/? mmHg左右,未正规治疗。否认“糖尿病"等病史,否认肝炎、 结核、疟疾等传染病史,否认手术史,否认外伤史, 否认输血史,否认药物、食物过敏史,预防接种按计划进行。
超声检查
左室射血分数:50%;
主动脉瓣峰值流速:450cm/s;
主动脉瓣平均压差:44mmHg;
诊断:主动脉瓣钙化狭窄(重)伴中度返流;主动脉硬化;二、三尖瓣轻中度返流;
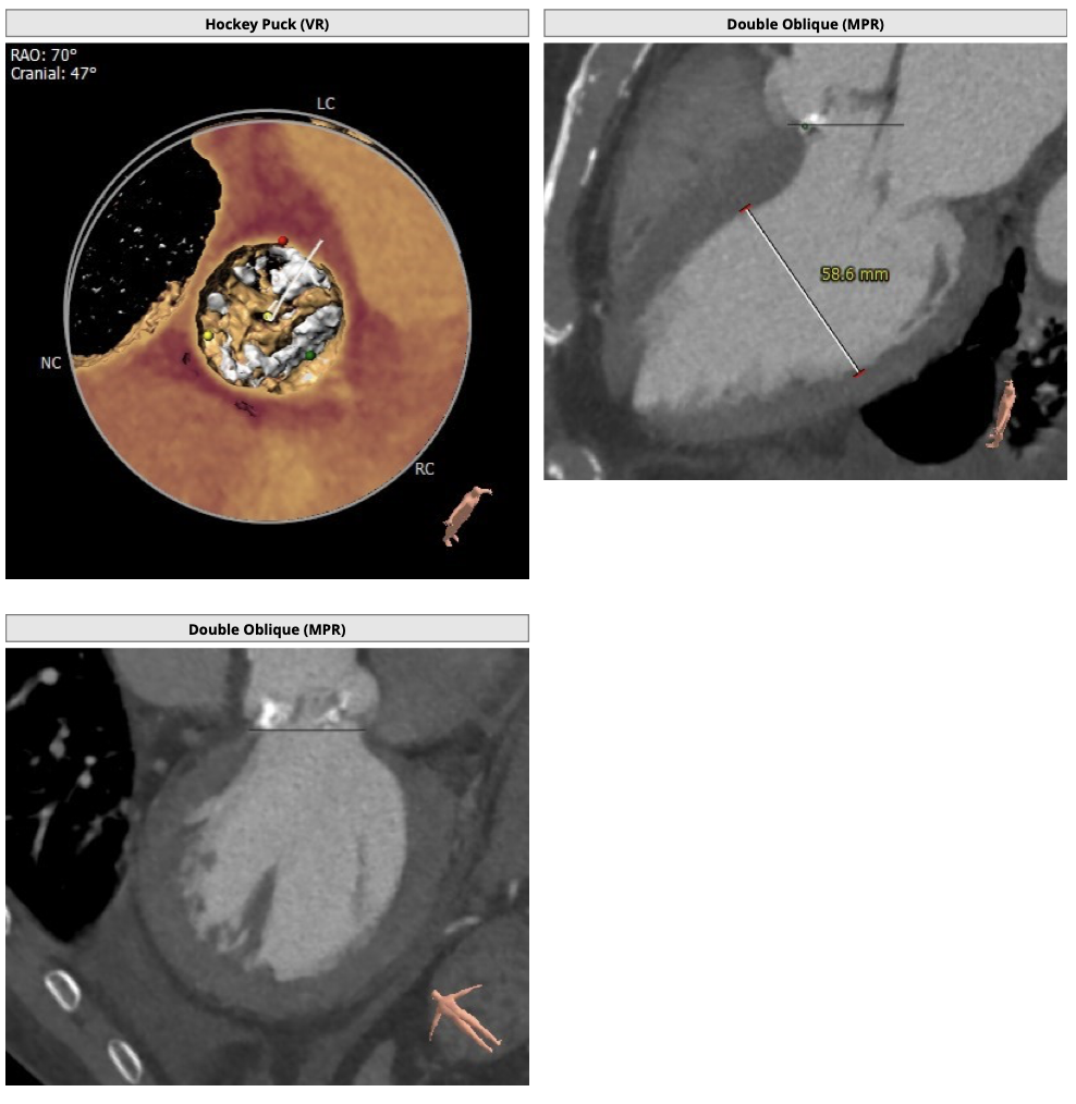
主动脉CT
患者为三叶瓣,轻度钙化,右无、左右疑似部分融合,左冠高度可,右冠高度高,法式窦结构大,左室大,升主动脉未见明显扩张,右股动脉可作为主入路。
经分析研判,根据患者的瓣环径,结合患者瓣上结构,优先选用L26号的VenusA-Valve瓣膜,备L29,使用22mm球囊预扩,根据球扩情况进一步确认选瓣,瓣膜释放后结合造影和超声情况,决定是否后扩。
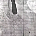
球囊预扩
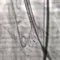
定位胶囊腔
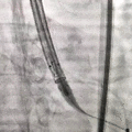
第一次瓣膜释放
回收再次定位
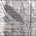
造影确定瓣膜形态
第二次瓣膜释放
瓣膜释放完毕
手术结果
术后造影及超声探查未见瓣周漏,跨瓣压差术前44mmHg,术后几乎无压差,术中及术后未出现相关并发症,手术圆满完成。
孔令文教授熟练运用VenusA-Plus的可回收功能,稳定回收了第一次释放较深的瓣膜,通过细调胶囊腔位置,第二次就将瓣膜精确地释放在最佳工作位置,保证了患者最大的手术收益,同时VenusA-Plus可回收输送系统在多次回收释放后,没有出现支架打折、胶囊腔变形的情况,进一步证实了VenusA-Plus可回收输送系统面对复杂情况时依然能够保持产品的稳定性,为术者挑战高难度病例提供了有力保障。

