2021年11月21日,广东省台山市人民医院陈炎主任带领的TAVR团队成功完成TaurusElite经导管主动脉瓣系统上市后首次植入。患者是一位“主动脉瓣重度狭窄” 的老年男性。术前和广东省人民医院罗建方、李捷团队探讨和研究手术策略。术中使用的TaurusElite精进的柔顺性协助术者顺利跨瓣使假体瓣膜一步到位,成功释放,术后瓣膜工作稳定,造影未见明显反流,植入效果理想。这是TaurusElite经导管主动脉瓣系统上市以来,在广东省二甲级医院的首例植入。
患者基本信息
患者为76岁老年男性,五年前无明显诱因出现气促、多于活动后加重,休息后稍缓解,曾入院治疗。
诊断:慢性左心功能不全,经治疗后好转后出院,2天前患者气促加重,伴咳嗽、咳痰,为白色粘液痰,现为进一步诊治,遂入院就诊。
超声提示:主动脉硬化、左房左室增大、左室壁增厚、主动脉瓣重度狭窄、主动脉瓣环钙化并轻度关闭不全、二尖瓣轻度关闭不全、估测左室射血功能EF约56%、左室舒张功能减低、中量心包积液。
术前评估
Type 0型二叶式主动脉瓣,重度钙化,无冠窦瓣叶边缘靠近左冠侧钙化较重呈团块状,钙化向对合边缘及流出道延伸,前窦钙化分布于窦内,瓣叶不规则增厚粘连。
冠脉开口高度可,左冠切线角度测量瓣叶略长于LCA开口下缘到根部距离。
瓦氏窦内径可,窦管交界、升主动脉内径可。
主动脉瓣环水平夹角61度,横位心,主动脉弓宽度、角度可。
外周入路走行适宜,腹主中下端及左髂总动脉散在钙化,血管内壁不规则增厚。
根部影像非收缩期时相(Phase 71%)。
主动脉根部CTA
根部概览
ANNULUS
SOV DIAMETER
LVOT
STJ
LEFT CORONARY
RIGHT CORONARY
LCA&LEAFLET
RCA&LEAFLET
2mm SUPRA ANNULUS
4mm SUPRA ANNULUS
6mm SUPRA ANNULUS
8mm SUPRA ANNULUS
10mm SUPRA ANNULUS
12mm SUPRA ANNULUS
HU850
HU1000
外周血管及主动脉弓解剖
手术策略讨论
推荐右侧股动脉为主入路,左侧为辅助入路。
根据当前影像及测量数值,推荐跨瓣、球扩、释放采取二叶瓣双窦展开最大角度 RAO 6 CAU 30 左右。
推荐20mm球囊预扩,预装AV23瓣膜,推荐瓣环下零位释放,建议释放后调整至左头位 LAO 23 CRA 20 左右进一步确定冠脉冠灌注及人工瓣膜展开形态。
瓣膜植入成功后,建议常规造影评估入路血管情况,避免遗漏血管并发症情况。
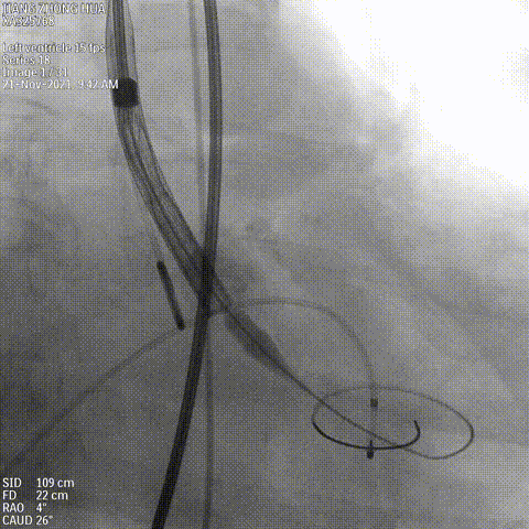
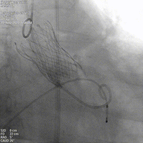
手术过程
球囊预扩
瓣膜定位
瓣膜释放
术后造影
术后即刻评估
术后压差从110 mmHg降至3 mmHg无瓣周漏,瓣膜正常工作,血流动力学即刻得到改善。
陈炎主任寄语:
随着TAVR技术的发展和日益成熟,手术的限制因素不断减少,患者群体不断扩大,更多的高难度病例呈现在我们面前,这对于术者的专业性和产品的性能都是巨大的挑战。此例手术的患者,大角度横位心和升主动脉扭曲也大大增加了手术难度,通过术前专业的评估、术中精准的操作及TaurusElite®精进的柔顺性,手术取得了圆满的成功。
希望TAVR团队再接再厉,不断学习精进,秉承敬佑生命,包容合作精神,为更多患者提供优质服务,取得更大进步。
专家简介
陈炎
台山市人民医院
心血管医学中心主任,广东省医学会心血管病学介入学组成员,中国医疗保健国际交流促进会心血管疾病预防与治疗青年委员会分会委员,中国慢性闭塞病变治疗俱乐部注册成员(CTOCC)。
参与编写《冠状动脉慢性完全闭塞病变介入治疗》、《冠状动脉慢性完全闭塞病变逆向介入治疗技术》;先后发表论文11篇;专业特长为冠心病、心律失常、外周血管的介入治疗,每年冠心病介入超过600例,心律失常介入治疗超过50例。
