近期,中国科学院大学宁波华美医院叶红华院长、江隆福教授、李恒栋主任及李元十主任团队应用VenusA-Plus®可回收输送系统接连挑战两例高难度TAVR手术,在多学科兄弟科室的密切配合下顺利完成两例手术,成功为两名主狭患者行经导管主动脉瓣置换术。术后患者恢复状况良好,无传导阻滞,无其他并发症,为周边地区广大主动脉瓣重度狭窄患者带来福音。
TYPE1型二叶瓣+高冠脉风险
患者男性,76岁,患者反复头晕1月余,无胸痛,无大汗淋漓,休息20分钟后自行缓解,当时未重视,未就诊,于半月前体力劳动后发生晕厥一次。晕厥前头晕,大汗淋漓,心悸,随后意识丧失,持续约5分钟,患者晕厥时无肢体抽搐,无大小便失禁,自行清醒,清醒后有头晕、恶心呕吐等症状。
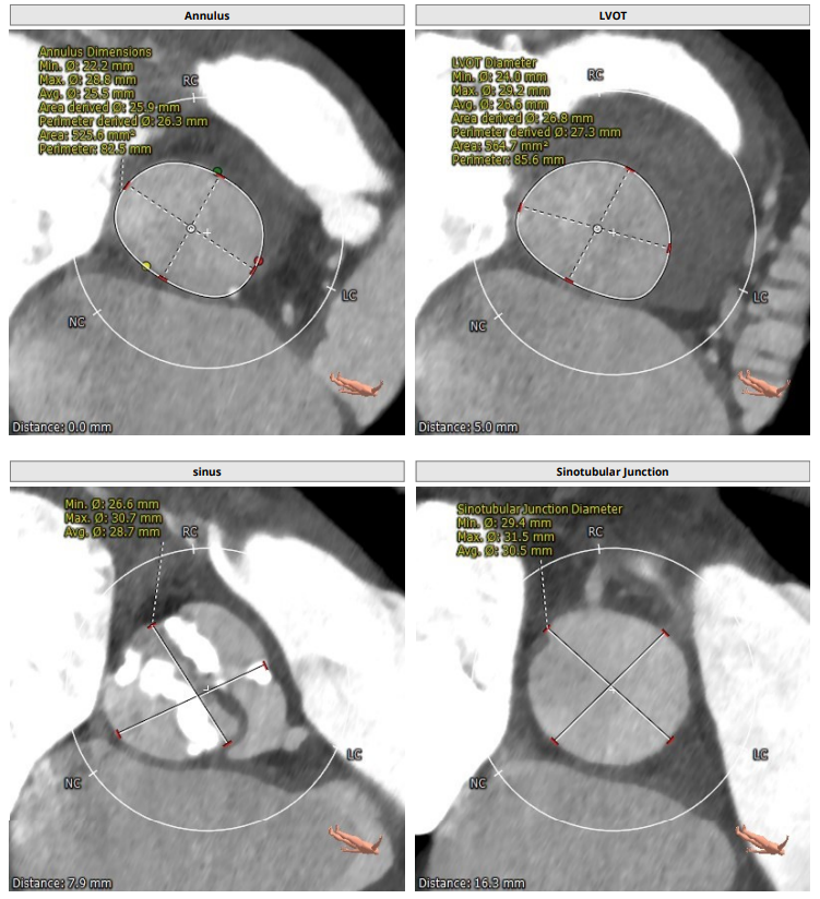
术前CT评估报告:
瓣环平均直径:26.3 mm,左室流出道平均直径:27.3 mm
主动脉窦部: 28.7 mm, STJ : 30.5 mm
左冠高度7.1mm, 右冠高度13.2mm.
升主动脉未见明显扩张,右侧股动脉符合入路条件
术前分析及手术策略:
患者为TYPE1型二叶瓣,重度钙化,左右可见钙化脊,左冠高度低,可能存在较高的冠脉风险,该患者对于瓣膜释放位置要求较高,容错空间很小,法式窦结构可,需要在术中球囊扩张时着重观察冠脉即刻情况且做出相应判断。左室大小可,升主动脉未见明显扩张,心脏角度43°。
术者团队组织科室集体对其病变进行深入分析、反复讨论后,结合患者主动脉根部情况和病情等复杂因素,决定经由右侧股动脉入路,使用VenusA-Plus®可回收输送系统,先选用23 mm球囊预扩张,扩张后结合返流情况再决定是否用25mm球囊预扩,拟植入L29型号瓣膜完成此次手术。
手术精彩回顾:
沿导丝送23 mm球囊至主动脉瓣口,定位准确后,在180次/分临时起搏下用球囊扩张狭窄的主动脉瓣,观察造影见大量返流,经过大家讨论后决定退出23mm球囊后再次送入25mm球囊进行预扩,同时观察造影见无返流,冠脉情况良好。后沿导丝送入VenusA-Plus®可回收输送系统L29型号瓣膜缓慢释放,同时确认冠脉情况,植入后经多体位投照和主动脉根部造影,显示瓣膜释放位置满意,瓣膜形态良好。术后未出现并发症,手术取得圆满成功。


颈动脉入路+TYPE1型横位心
患者女性,73岁,患者1年前出现胸闷等现象,一月余前活动后感到胸闷气促等不适加重的现象,位于心前区,范围呈手掌状大小,程度稍重能忍,胸闷持续存在,休息后缓解,伴头晕,无恶心呕吐,无眼前黑曚,无意识丧失,无发热畏寒等不适,上述症状持续存在未缓解后来到宁波市第二医院就医。
CT评估报告
入路评估:
双侧髂动脉直径窄,右侧髂总动脉可见钙化,遂选择颈动脉作为入路。
左侧颈动脉评估:
术前分析及手术策略
患者TYPE1型二叶瓣,左右冠窦可见融合,轻度钙化,瓣叶增厚,法式窦结构不大,双冠高度可,升主动脉未见明显增宽,横位心,心脏角度约67°,左室稍小,心肌肥厚,主动脉弓部走行较平缓,主动脉弓部可见钙化,过弓需谨慎,双侧髂动脉直径窄,右侧髂总动脉可见小夹层并可见环状钙化,左侧锁骨下动脉直径偏窄,双侧颈动脉直径符合入路条件,推荐左侧颈动脉做为主入路。
手术精彩回顾:
主动脉根部造影评估

20 mm球囊预扩
瓣膜成功植入后,造影提示瓣膜未能完全伸展。术者团队依照既定策略予以20 mm球囊后扩再行主动脉根部造影,提示治疗效果得到改善。
瓣膜完整形态
总结
这两台高难度TAVR手术,一方面反映出国科大宁波华美医院心内科团队对于TAVR术式的深刻理解,另一方面体现出各学科团队间的紧密协作。两位患者术中及术后检查未出现相关并发症,均已出院。浙江大学附属二院王建安教授、刘先宝主任带领其团队为两例手术的成功提供了大力支持。
专家简介
叶红华
中国科学院大学宁波华美医院
主任医师(二级), 硕士生导师。现任中国科学院大学宁波华美医院(原宁波市第二医院)副书记、副院长,心脏大血管病学学科带头人。
主要学术兼职:中国医师协会高血压专业委员会委员、中华医学会心身医学分会双心学组委员、中国康复医学会心血管康复专业委员会委员、浙江省医学会心血管病分会常务委员,浙江省医学会血栓与止血专业委员会副主任委员、浙江省康复医学会心血管康复专业委员会副主任委员。
江隆福
中国科学院大学宁波华美医院
主任医师,硕士研究生导师
浙江省医学会心电生理分会常委,浙江省宁波市医学会心电与起搏学分会副主任委员,中国控制吸烟协会康复与中医学专业委员会常委,中医医药教育协会高血压专业委员会委员,中国医师协会高血压专业委员会老年高血压工作委员会委员。《中华高血压杂志》编委 、《心脑血管病防治》编委。
李恒栋
中国科学院大学宁波华美医院
心血管内科科室副主任,
中国医促会精准心血管病分会青年委员,海医会心脏重症浙江省分会常委,浙江省房颤联盟委员,浙江省心电生理与起搏分会青年委员,心电学组成员,宁波市心电医学副主委,宁波市心血病分会委员兼秘书。
李元十
中国科学院大学宁波华美医院
2009年于哈尔滨医科大学获临床医学博士学位,医学博士、主任医师。现任中国科学院大学宁波华美医院心血管内科二病区负责人。
学术兼职:
中华医学会心血管病学分会第十届结构心脏病学组委员;中国医师协会心血管内科分会结构心脏病专业委员会委员;国家心内管病专家委员会右心与肺血管病专业委员会委员;国家心血管病中心PFO诊疗规范化培训学院专家委员会委员;中国医师协会腔内血管学专业委员会青年委员;中国医疗保健国际交流促进会心血管疾病预防与治疗分会青年委员;中国研究型医院学会孕产期母儿心脏病专业委员会委员;中国医师协会腔内血管学专业委员会腔内微创治疗心脏瓣膜疾病委员会委员;全国心血管疾病介入诊疗技术培训项目培训基地(结构性心脏病介入)导师;北京医学奖励基金会心肺循环专业委员会常委;黑龙江省预防医学会心源性脑卒中预防与控制专业委员会副主任委员。



