2021年11月9日,浙江大学医学院附属第二医院王建安教授团队成功完成3例经导管三尖瓣修复系统(Trialign)临床应用,三位患者手术顺利,效果良好,术后3天左右出院。这标志着浙大二院在经导管三尖瓣修复诊疗领域又迈出了坚实的一步。
Case1
患者基本情况
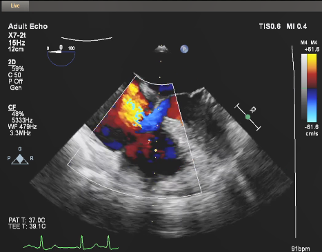
图1:术前超声提示极重度三尖瓣反流
手术过程
全麻下经右颈静脉入路,在食道超声及放射线引导下,将三尖瓣导丝输送导管经三尖瓣指引导管送至右心室,定位三尖瓣瓣环穿刺位点。穿越导丝连接高频发生器穿刺三尖瓣环(图2),在三尖瓣瓣环上植入一对锚片。通过缩短两个锚片之间的距离折叠三尖瓣瓣环,并通过3D-TEE、2D-TEE确认瓣环折叠及三尖瓣反流情况,最终实现三尖瓣瓣环的二瓣叶化(视频1),从而降低因瓣环扩大、瓣叶关闭不全产生的三尖瓣反流。
术中影像
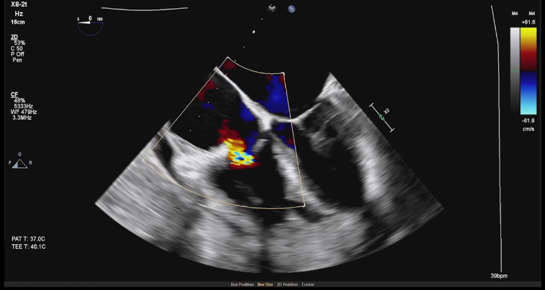
a
b
图2 :穿越导丝穿刺三尖瓣环(a:2D-TEE,b:3D-TEE)
a
b
视频1:a:锚片锚定三尖瓣瓣环,b:三尖瓣后瓣折叠
术后情况
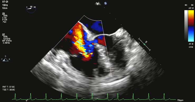
经导管三尖瓣修复系统(Trialign)修复术后,超声(图3),三尖瓣瓣环内径约3.95cm,三尖瓣等量反流(2级)。
图3:术后超声
Case2
患者基本情况
患者,69岁老年女性,症状性重度三尖瓣反流,术前经胸超声提示极重度三尖瓣反流(5级),有效反流口面积(EROA)约1.78cm²,反流容积约104ml(图4),进一步三维经食道超声提示三尖瓣瓣叶活动可,无明显脱垂,反流束来源于前瓣及隔瓣。
图4:术前超声提示巨量三尖瓣反流
经导管三尖瓣修复系统(Trialign)修复术后,超声(图5),有效反流口面积减少至约0.89cm² ,反流容积降低至52ml,三尖瓣反流下降至中等量。
图5:术后超声
Case3
患者基本情况
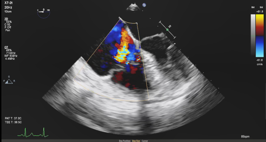
患者,68岁老年男性,症状性极重度三尖瓣反流,术前经胸超声提示重度三尖瓣反流, 三尖瓣瓣环内径4.92cm,有效反流口面积(EROA)约0.79cm²,反流容积约68ml(图6),进一步三维经食道超声提示三尖瓣瓣叶活动可,无明显脱垂,反流束来源于隔瓣及后瓣。
图6:术前经胸超声提示重度三尖瓣反流
经导管三尖瓣修复系统(Trialign)修复术后,减轻至三尖瓣中等量反流,三尖瓣瓣环内径3.81cm,有效反流口面积约0.34cm² ,反流容积约26ml。(图7)
图7:术后超声
三尖瓣治疗现状
针对功能性三尖瓣反流,目前缺乏理想的治疗手段。药物治疗往往只能通过利尿剂对症处理,随着疾病的进展治疗效果会越来越差。外科手术需要开胸、体外循环,创伤大,死亡率较高,因此,单纯的三尖瓣手术也是许多外科医生觉得棘手的难题。
而经导管三尖瓣反流介入手术治疗通过颈静脉入路,经上腔静脉到达右心房和右心室,在心脏正常跳动下经导管完成瓣环锚片植入、折叠和锁定,使瓣环环缩及二瓣化。该方法不影响左心系统,操作精准可控,创伤小,术后当天可以下地,心衰患者耐受性好,在解剖适合的患者可以有效的治疗三尖瓣反流,围术期风险低。因此,经导管介入治疗在三尖瓣反流的治疗中具有广阔的临床应用前景。
卡迪泰医疗
北京卡迪泰医疗器械科技有限公司(以下简称“卡迪泰医疗”)于2018年在北京经济技术开发区注册成立,公司秉承科学创新精神,致力于探索和开发疾病治疗的精准解决方案,专注于解决心血管及肺部疾病诊疗等领域的“卡脖子”难题,成为医生和患者可信赖的医疗器械公司,为推动国产医疗器械发展做出贡献。
卡迪泰医疗依托母集团正大制药的优质资源,全力打造集研发、生产、销售于一体的创新医疗器械科技企业。公司本部配套国际先进的研发中心、生产车间、实验室和办公区域,拥有先进的医疗器械生产及检验设备。公司下属上海精劢医疗科技有限公司和武汉杨森生物技术有限公司两家子公司。
卡迪泰医疗目前主要产品包括:中国第一款经导管三尖瓣修复系统Trialign、国内首款智能穿刺定位针及导航设备智能手术系统以及全球首创聚氨酯复合材料三层仿生结构人工血管等。
专家简介
王建安
浙江大学医学院附属第二医院
医学博士、教授、博士生导师,浙江省特级专家,浙江大学医学院附属第二医院党委书记、心脏中心主任。
学术兼职:欧洲CSI(心脏结构与瓣膜介入大会)共同主席,中华医学会心血管病学分会副主任委员,中国医师协会心血管内科医师分会副会长,中华医学会心电生理和起搏分会常务委员,浙江省医学会副会长,浙江省医学会心血管病学分会前任主任委员,浙江省医师协会心血管内科医师分会会长,JACC: Aisa主编;Word Journal of Emergency Medicine 主编;《中华急诊医学杂志》总编辑;《中华心血管病学杂志》副总编辑。
学术成就:全国“白求恩”奖章、何梁何利科学与技术进步奖、吴阶平医药创新奖、浙江省创新人才奖、浙江省科技重大贡献奖以及全国“最具领导力医院院长“获得者;在心脏瓣膜病的介入治疗方面和间充质干细胞治疗心功能不全的基础和临床研究上具有非常高的学术影响力,以第一完成人获国家科技进步奖二等奖1项、省科学技术一等奖3项,以通讯作者在国际权威杂志发表SCI论文100余篇。
