2021年11月(总第5期)
主动脉弓离断(Interrupted aortic arch,IAA)又称弓中断,指升主动脉与降主动脉无直接解剖连接的先天性主动脉弓畸形,其发病率约占先天性心脏病的1%。一般将其分为3型:A型,中断在左锁骨下动脉开口远端;B型,中断在左颈总动脉与左锁骨下动脉之间;C型,中断在无名动脉与左颈总动脉之间。弓离断患者临床可表现为顽固性高血压、紫绀等症状。未经治疗的患者可发生脑出血、动脉瘤、主动脉瓣反流等并发症。弓离断患者传统治疗方式为旁路移植术或原位修复术,随着介入技术的发展,经导管治疗方式成为可能。在此,我们报告一个特殊病例:经皮逆行入路治疗A型孤立性弓离断。
患者信息
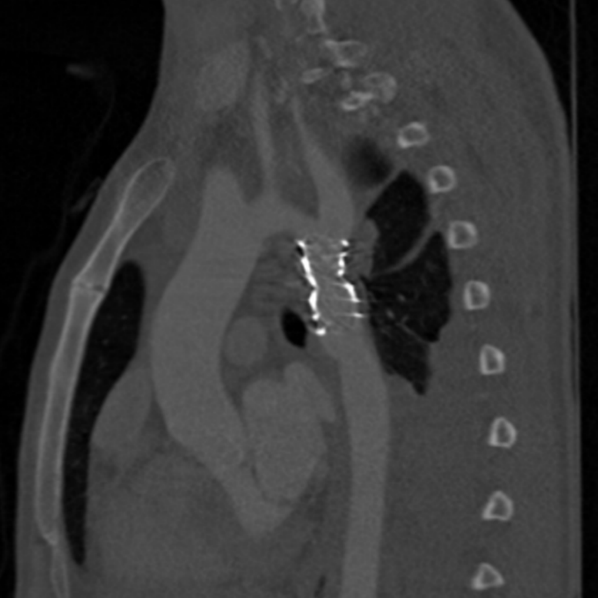
男性,17岁,顽固性高血压,运动时呼吸困难,NYHA II级,上肢血压210/110mmHg,超声心动图提示主动脉瓣轻-中度反流,LVEF 45%,CTA显示在左锁骨下动脉起源的远端主动脉弓中断,近端和远端的距离12mm。
术前主动脉弓部
半透明数字模型
术前主动脉弓部3D打印模型
术中操作
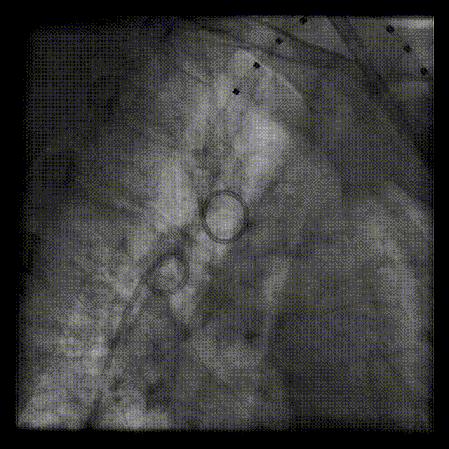
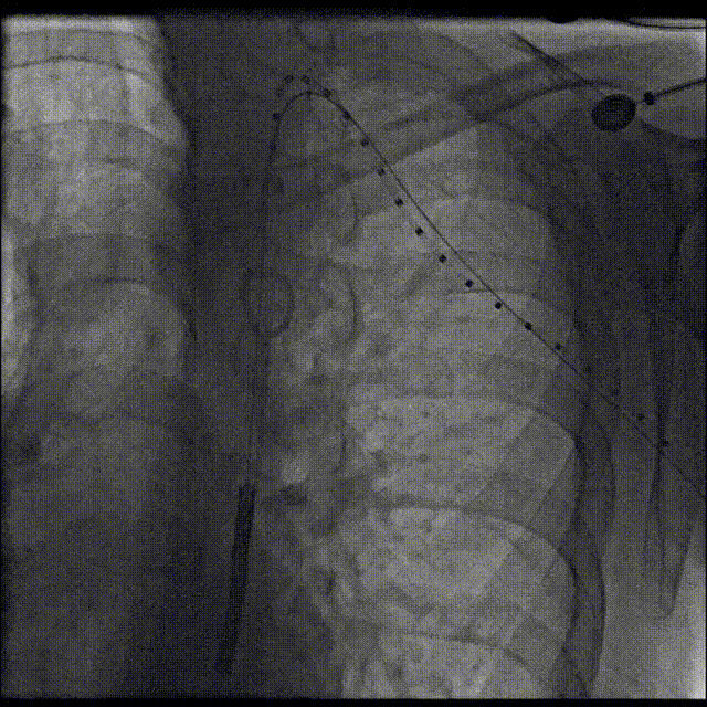
关键步骤:穿通闭塞离断部位。股动脉逆行途径将6F长鞘头端送至降主动脉离断起始部,5F MPA导管及泥鳅导丝经长鞘至离断端,长鞘支撑下,泥鳅导丝配合MPA导管轻柔操作,反复尝试,将260cm0.032‘Terumo软泥鳅导丝和5FrMPA导管逆行穿通闭塞离断部位至左锁骨下动脉。
导丝逆行通过弓离断处
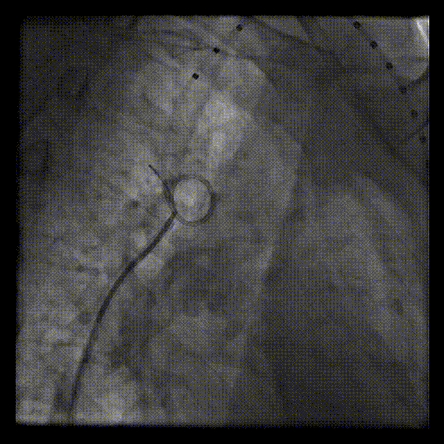
左锁骨下动脉送入圈套器抓捕Terumo软导丝,使导丝头端体外化,建立左桡动脉-弓离断-右股动脉导丝轨道,建立通路。
建立通路
6Fr Cook鞘和14Fr Cook鞘沿通路轻柔操作,先后对离断部位进行扩张。
鞘管扩张通路
送入支架
造影定位
弓离断处送入39mm Cheatham-Platinum覆膜支架,选用20mmNuMED BiB球囊扩张

释放覆膜支架
术后造影显示离断处通路正常,无残余压差。
术后造影
术后复查
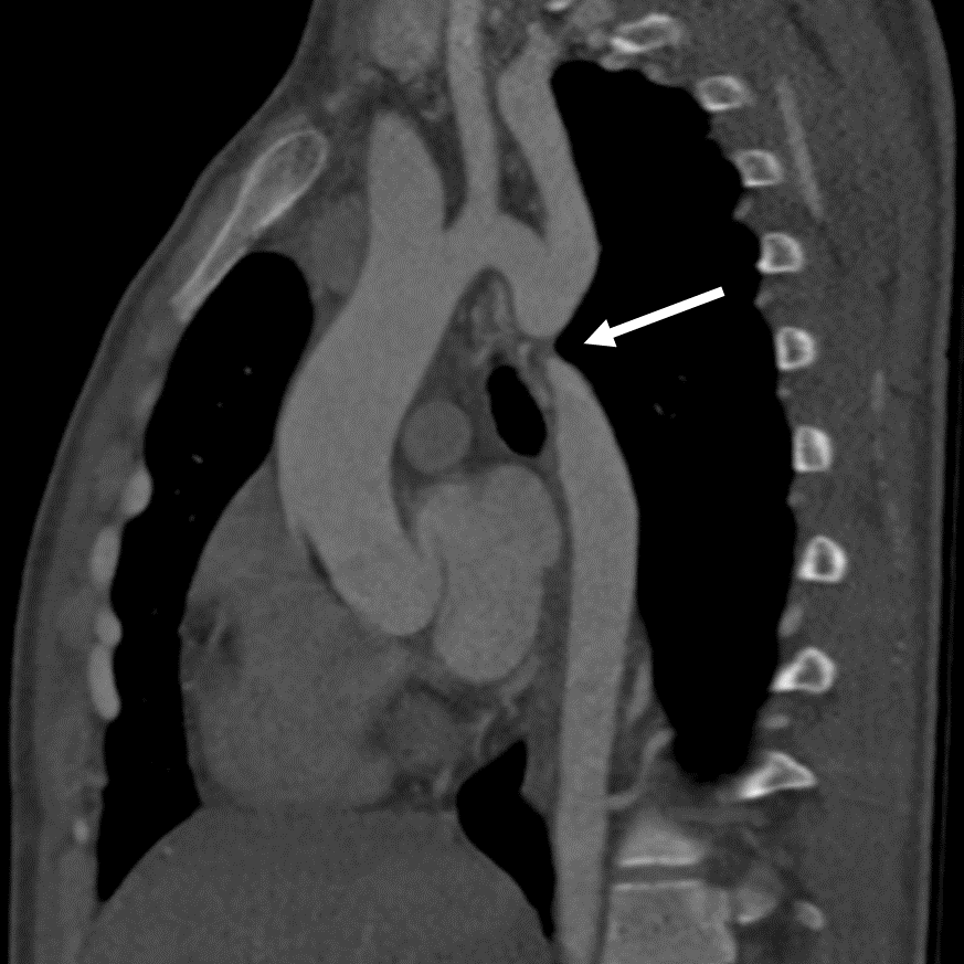
患者术后6个月复查CTA显示支架位置理想,且无并发症。
术后CTA影像
术后主动脉弓部3D打印模型
讨论
孤立型弓离断是一种极为罕见的成人先天性疾病,是主动脉弓缩窄的一种极端形式,在过去的几十年里,经皮支架植入术已成为治疗弓缩窄的一种有效手段。然而对主动脉弓中断的患者采用经皮介入技术重新建立完整弓部的操作难度大,且存在一定的手术风险和潜在的并发症,如形成假腔、急性血管壁损伤或破裂等。
根据当前报道的相关弓离断患者的介入治疗技术,主要有顺行通过离断部位和逆行通过离断部位两种方式。本病例中首先采用顺行途径,多次尝试未能打通中断的弓部,改用逆行入路方式,血管角度适合,导丝依次成功穿过弓离断处的远端及近端。术后再分析患者CTA影像可见弓离断的远端结构较小且顶端有细小分支,因此采用逆行途径手术较易。此外,术中建立通路后,使用6Fr鞘管和14Fr鞘管逐步扩大管腔,最后使用覆膜支架球囊扩张并释放。
专家简介
杨剑
空军军医大学西京医院
心血管外科一病区主任,博士研究生导师。曾于德国洪堡大学Charité医学院、德国柏林心脏中心、美国Cleveland Clinic医学中心等国际知名医学中心访问研修。担任美国心脏协会专家会员(FAHA)、 美国心脏病学会专家会员(FACC)、中国医师协会心血管外科医师分会结构性心脏病专业委员会副主任委员、中华医学会胸心血管外科分会第九届委员会青年委员、陕西省医疗器械不良事件监测专家咨询评价委员会专家。获聘陕西省中青年科技创新领军人才、陕西省科技创新团队带头人,为陕西省自然科学基础研究计划杰出青年科学基金项目获得者、西安交通大学兼职教授。担任Eur Heart J, BMJ,AJC等杂志特邀审稿人,《中华胸心血管外科杂志》、《心脏杂志》、《中国体外循环杂志》、《心血管外科杂志》、《精准医学杂志》编委。临床专长于复杂结构性心脏病的微创及介入治疗,在国内较先开展了经导管肺动脉瓣置换、主动脉瓣置换、二尖瓣修复、二尖瓣置换以及瓣周漏封堵等创新性技术。主要科研方向为结构性心脏病诊疗新技术以及心肌细胞损伤修复、重构和再生的临床转化研究。在微创心血管器械研发、临床转化及以3D打印为主的多模态影像学评估方面有一定建树。先后在Eur Heart J,JACC等国际期刊上以第一或通讯作者发表SCI论文30余篇,被Circulation,JACC等国际权威杂志引用500次,承担十三五国家重点研发计划、国家自然科学基金等10余项基金,经费1000余万元。荣获国家科技进步二等奖、中华医学科技一等奖、中华医学会胸心血管外科分会Lillehei奖学金“菁英奖”、中国医师协会胸心血管外科分会优秀青年医师“杏林奖”等奖励。授权国家专利20余项,出版专著、译著12部。
刘洋
空军军医大学西京医院
心血管外科博士,副教授,硕士生导师。美国马里兰大学医学院博士后。国家心血管病专家委员会微创心血管外科专业委员会委员。专注心血管疾病微创治疗。先后开展经皮微创介入瓣膜病修复及置换术,瓣膜置换术后瓣周漏介入封堵术,主动脉缩窄球囊扩张支架置入术,冠状动脉漏介入封堵术等多项心血管疾病微创治疗新技术。在国内外发表研究论著50余篇,其中SCI论著18篇;主持军队重大专项子课题1项,国家自然科学基金1项,军队及省部级课题各3项;参加“863”重点课题,“十二五”、“十三五”国家重大科技专项等课题13项。获国家专利11项;副主译专著1部,参编专著8部。先后获得美国ASAIO青年医师奖,Euro-ELSO青年研究者奖,中国医师协会心血管外科分会杏林奖,中华医学会胸心血管外科分会Lillehei 奖学金及厄尔巴肯奖学金。

