近期,首都医科大学附属北京安贞医院心内科宋现涛教授、张闽教授团队,使用北芯TRUEPHYSIO®压力微导管为两位患者完成FFR测量。北芯TRUEPHYSIO®压力微导管是国产首个实测型FFR产品,其极细的管身及拥有专利的MEMS封装技术保证测量结果准确性的同时,独有的快速交换设计和流线外形可保证其在各种病变中进退自如,节省术者操作时间。
病例1:
患者为71岁老年女性,因“发作性胸闷、气短3年”而入院;既往有心肌梗死病史,PCI治疗术后,左侧髋关节置换术后;超声心动图显示LVEF50%,阶段性室壁运动异常,主动脉瓣轻度反流,ECG提示窦性心律不齐,QT间期延长(图1);入院诊断为不稳定型心绞痛、陈旧性前壁心肌梗死、前降支PCI术后、高脂血症、高胆固醇血症。
图1
冠脉造影:
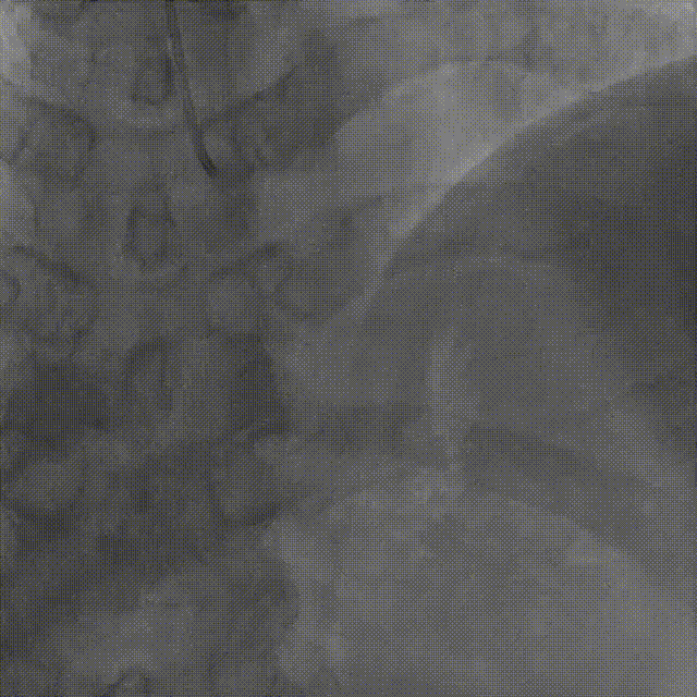
提示该患者为左主干末端分叉病变,LAD近段至LM末段临界病变(图2),LCX近段至开口轻度狭窄(图3),RCA整体均有轻度斑块(图4)。
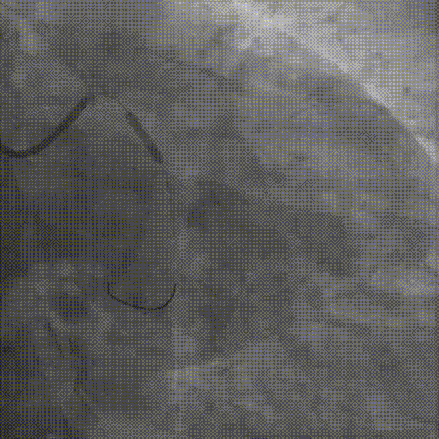
图2.LAD
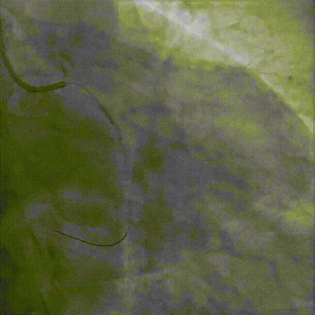
图3.LCX

图4.RCA
由于病变位置为LAD近段至LM末段,处于非常重要的位置,故专家团队对该病变的治疗非常谨慎,经讨论后决定对该病变行FFR检查;将压力微导管沿工作导丝送至LAD中段,测量后结果为0.82(图5)核实漂移为1mmHg。
图5.FFR 0.82
经测量FFR后,该处病变未达到介入治疗的标准,故未对其进行介入处理,但由于该处病变所在的位置非常重要,特叮嘱患者及家属需进行定期复查以防后续病变有加重情况发生。
病例2:
患者为66岁老年男性,因“胸闷反复4年,再发1月余”而入院,既往有高血压15年,最高血压160/90mmHg,无糖尿病及高脂血症;ECG提示:窦性心律,aVL导联平T波(图6);外院CT检查示:LM狭窄30%,LAD中段70%,D1开口狭窄小于50%,LCX远端狭窄60%,RCA中远段狭窄50%,PLA狭窄20%;入院诊断为不稳定型心绞痛、高血压2级、高脂血症、高胆固醇血症、应激性溃疡。
图6.ECG
冠脉造影:
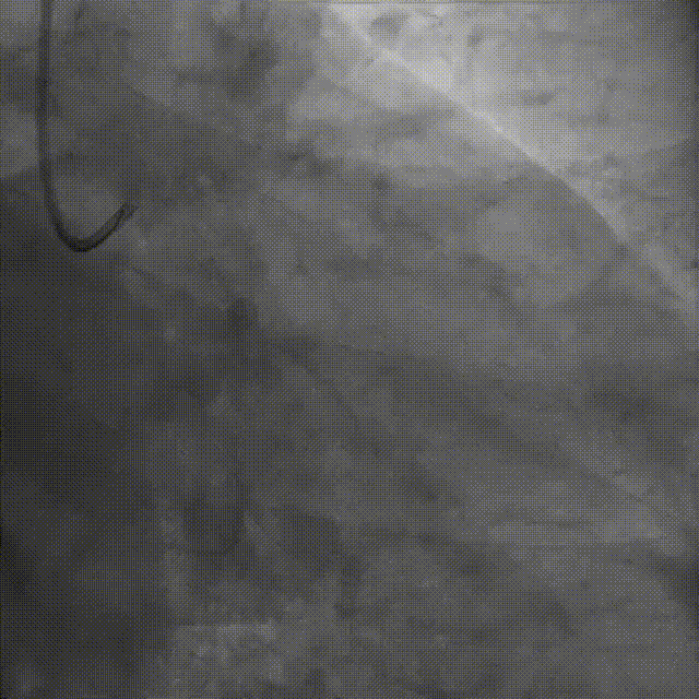
提示该患者为右优势性血管,LM无狭窄,LAD中段弥漫性狭窄,最重处狭窄70%,远端狭窄程度60%(图7),D1近段狭窄程度60%,LCX近段局限性病变,狭窄程度80%(图8),RCA远段狭窄程度50%(图9)。

图7.LAD

图8.LCX
9.RCA
针对多支病变的患者,不能通过单纯的冠脉造影确定哪支病变血管会引起心肌缺血,经过商讨决定使用FFR对LAD及LCX进行检查评估,以确定真正的“罪犯血管”,从而保证对患者行精准介入治疗。
将压力微导管头端的压力传感器送至LAD远端位置进行测量,结果为0.82(图10)。
图10.LAD远端FFR 0.82
专家通过对LAD测量FFR结果解读,决定不对LAD进行介入处理,将工作导丝抽出LAD后送入LCX,同时非常方便的将压力微导管沿工作导丝送至LCX远段进行测量,结果为0.66(图11)且回撤发现近段病变处有压力跳跃,为12mmHg。
图11.LCX-FFR 0.66
教授确认FFR结果后认为LCX近段病变已经达到了介入治疗的标准,对该病变行PCI治疗,选择1.5*15mm球囊对病变部位进行预扩张处理(图12)。
图12.PTCA
经预扩张处理后,选择2.5*14mm支架对病变部位进行覆盖(图13)。
图13.PCI
支架释放后,造影观察可见支架释放效果欠佳(图14),选择2.5*13mm后扩张球囊对支架膨胀稍欠部位进行充分扩张(图15)。
图14.PCI术后即刻造影
图15.支架后扩张
对支架进行扩张充分扩张后造影结果可见,支架释放完全,TIMI3级,无残余狭窄(图16)。
图16.术后造影
术后测量FFR结果为0.84(图17)由于远端病变影响的原因,最终结果未能达到理想数值0.90以上。
图17.术后FFR 0.84
经过两位患者使用压力微导管测量后,安贞医院宋现涛教授及张闽教授对北芯产品给出了很高的评价,在校零及EQ方面的成功率非常高,同时相较于传统的压力导丝在测量方面也有了很大的优化,尤其是针对复杂病变及需要反复测量的情况时,更体现出快速交换设计带来的便利性,在保证准确性的同时,简化操作,缩短检查时间,为患者及介入医生均带来了更多的获益;相信压力微导管在以后的冠脉介入领域会惠及更多的患者及介入医生。
专家简介
宋现涛
首都医科大学附属北京安贞医院
医学博士、主任医师、教授、博士研究生导师;北京安贞医院冠心病中心一病区主任;心血管智慧诊疗北京市工程研究中心主任;国家卫生健康委人才交流服务中心评审专家;国家食品药品监督管理总局医疗器械技术审评专家咨询委员会委员;北京医学会心血管病分会第十届委员会常务委员兼秘书长;卫生健康委全国心血管疾病介入技术诊疗培训项目培训基地(冠心病介入)导师;中国研究型医院学会心血管影像专业委员会青年委员会 副主任委员;中华预防医学会体育运动与健康分会第一届委员会 常务委员。
临床及研究方向:主要从事冠心病临床与相关基础研究工作,擅长复杂、高危冠心病患者的介入治疗;先后主持科研项目12项、参于10项;以主要完成人身份荣获该领域研究奖励3项,包括教育部一等奖1项、北京市科技进步三等奖2项;第一作者/通讯作者发表论著100余篇,其中SCI40余篇。先后入选北京市科技新星、北京市优秀人才、北京市卫生系统高层次卫生技术人才等人才计划。2016年度获“首都十大杰出青年医生”荣誉称号。
