近日,首都医科大学附属北京天坛医院心内科主任金泽宁教授团队完成了院内两例经导管主动脉瓣置换手术(TAVR),并完成首例TriGUARD3™脑保护辅助下的经导管主动脉瓣置换术(TAVR)。
什么是主动脉瓣膜病?
主动脉瓣疾病包括主动脉瓣狭窄、主动脉瓣关闭不全以及常见的主动脉瓣狭窄合并关闭不全。主动脉瓣是心脏瓣膜中功能最重要的阀门,它是心脏搏出血液通往全身的闸门,因此在人体中发挥重要的功能。若是发生主动脉瓣狭窄,一旦狭窄到重度并诱发症状,如果不接受及时治疗,两年内死亡率为50%,五年内死亡率为80%。
主动脉瓣膜病的症状?
呼吸困难、心绞痛、晕厥也就是我们说的主动脉瓣狭窄三联征。
什么是TAVR/TAVI手术?
TAVR(经导管主动脉瓣膜置换术)是一种微创瓣膜置换术,是通过介入导管技术,将人工心脏瓣膜输送至主动脉瓣位置,从而完成人工瓣膜植入,恢复瓣膜功能。TAVR目前已经成为外科手术高危症状性重度主动脉瓣狭窄患者的替代治疗以及外科手术禁忌患者的首选治疗。
治疗主动脉瓣膜病的方法?
目前治疗主动脉瓣疾病的方法有三种
第一种是采用药物的保守治疗,这种方法适用于轻度的主动脉瓣疾病患者。保守治疗的方法只能减轻症状,治标不治本。
其余的两种均是采用手术干预,适用于重度主动脉瓣疾病患者或者说是已经出现临床症状的患者,也就是主动脉瓣膜置换手术。目前手术治疗分为传统的外科开胸手术和微创介入,两者进行以下对比。
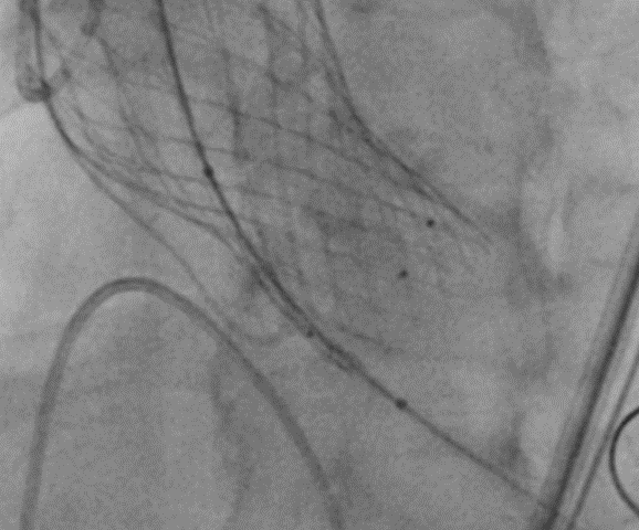
什么是脑保护?在TAVR手术中应用脑保护装置的作用
进行TAVR时,输送系统定位、瓣膜释放和输送系统撤回的过程中,来自主动脉瓣、升主动脉和其他部位的栓塞性物质可能会通过血流经主动脉弓三支血管进入脑部并引起脑梗塞。脑梗塞可能导致潜在的严重后果--如卒中、TIA和急性认知功能障碍等。而新发的中度到轻度脑损伤可能会影响患者的信息处理速度、执行功能和记忆、语言和平衡等基本技能。
TriGUARD3的脑保护装置可以通过完整覆盖主动脉分支无名动脉、左颈动脉和锁骨下动脉开口的设计来预防脑栓塞的脑保护装置,可以最大程度降低经导管主动脉瓣膜置换术(TAVR)和其他心血管手术过程中出现的脑损伤风险,对脑组织进行全面保护。
本次收治的两个患者病情都比较重,都属于重度主动脉瓣狭窄合并多种老年疾病,年纪都在70岁上下,并达到手术指征。经过金泽宁教授团队会诊综合评估之后,确定两个患者行TAVR手术,其中一个患者选择在脑保护装置下辅助完成TAVR手术。
手术开始后,按照术前制定的方案,金泽宁教授团队经由患者左股动脉送入脑保护装置,使脑保护装置完全覆盖头臂动脉、左颈总动脉、左锁骨下动脉开口。然后经由右股送入23球囊,预扩之后,植入L26型号的人工主动脉瓣瓣膜,置入瓣膜之后压差和流速均下降,患者血流动力学效果良好。随后撤出脑保护装置,术中未出现并发症。
本次TAVR手术在脑保护装置辅助下,从患者上台麻醉到下台共用了两个小时,虽然患者术前几天曾因心衰被抢救过一次,心脏功能不好,但是术后患者仅2天就可以下床走动,从手术完成推回病房到出院共计五天时间,大大缩短了住院时间,提升了患者术后的生活质量。保证手术安全,提高手术功效,是我们不懈追求的目标,脑保护助力TAVR手术是主动脉瓣疾病患者的福音。
天坛医院心内科团队介绍:
北京天坛医院心血管内科承担着重要的医疗、教学、科研任务。目前共有医师33名,正主任医师7人,副主任医师13人,主治医师11人。其中获得博士学位7人,硕士学位16人,大学本科学位10人。
目前拥有普通病房、心血管内科门诊、心脏重症监护室、动态血压、动态心电图、运动平板等心脏无创检查室等多个部门。心血管内科病房主要收治各种心血管系统疾病,年平均出院超过1200人次,各项考核指标符合医保、三级甲等医院等相关要求,并多次受到上级医保部门及相关管理部门的奖励。目前开展业务包括心脏无创检查、心脏介入治疗(TAVR/TAVI手术、左心耳封堵术等)、起搏器植入及调试等项目,承担全院心电图、动态心电图、运动平板试验、动态血压监测等无创检查措施。以较高水平完成心血管内科相关的诊疗项目。开展包括冠状动脉造影及介入治疗、心脏电生理与心脏起搏治疗等多项有创诊疗技术。心血管内科门诊年平均诊疗80000余人,并配合上级要求开展双休日门诊、节假日门诊等,更好的满足门诊患者的诊疗需求。
专家简介
金泽宁
首都医科大学附属北京天坛医院
主任医师、教授、博士研究生导师。现任首都医科大学附属北京天坛医院心脏及大血管中心主任。兼任欧洲心脏病学会委员(FESC);北京医学会心血管病学分会常务委员;北京医师协会心血管病学分会常务理事;北京医学会心血管病学分会结构性心脏病学组副组长等。
专业特长:擅长复杂冠心病及结构性心脏病(心脏瓣膜病以及左心耳封堵术等)的介入治疗。入选北京市科技新星,北京市“十百千”百级卫生人才计划。承担国家自然科学基金、科技部十三五“新药创制”重大专项、首都卫生发展科研专项自主创新、首都卫生发展科研专项等多项重大课题。
门诊时间:周四上午专家门诊
