2021年11月1日,广西国际壮医医院心病科徐先增主任带领团队在一次PCI中,成功开通回旋支和右冠状动脉两条慢性闭塞病变(CTO),加之在狭窄的前降支也植入一枚支架,达到了完全血运重建。
病情简介
患者,女,73岁,反复胸闷、夜间阵发性呼吸困难半年。
危险因素:高血压病。
查体:左上肢血压156/79mmHg,右上肢血压130/91mmHg,心脏未见异常。
实验室检查:LDL-C3.1mmol/L,cTnI0.35ng/ml↑,NT-proBNP610pg/ml↑,Cr110umol/L↑。
心电图未见异常(图1)。
超声心动图:左室下后壁运动减弱,EF45%(图2)。
血管多普勒超声:右锁骨下动脉起始部斑块。
冠脉造影
LADp80-90%节段性狭窄,LCXp90%局限狭窄,LCXdCTO,自身桥侧枝形成(图3-4);RCAm90%弥漫性狭窄,RCAdCTO;LDA-S-RCA侧枝循环形成,后三叉以远95-99%狭窄(图5-6)。
图1
图2

图3
图4
图5
图6
术前分析
患者症状明显,超声提示左室节段性运动减弱、EF值减低,无心肌梗死病史,提示心肌严重缺血,有必要行血运重建治疗。
患者右上肢动脉狭窄,且为双支血管CTO病变,需要7F强支撑指引导管,应该选择双侧股动脉通道。
RCA JCTO评分约为1-2分(开口不清晰、长度20mm左右),但闭塞近端存在多条分支,远端血管床不佳,正向、逆向、ADR技术均存在困难,应首选正向;LCX JCTO评分约为0分,但在其他CTO评分中LCX本身即为1分,难度不宜低估;LAD虽有严重狭窄,但介入相对容易。
分次介入相对合理,但因患者上肢血管严重狭窄只能选择股动脉路径,多次介入穿刺股动脉风险增加,如手术顺利一次手术行完全血运重建也是可行的。
手术过程
1. Access:穿刺双侧股动脉,留置7F鞘。
2. GC:7FAL1.0+7FEBU3.75。
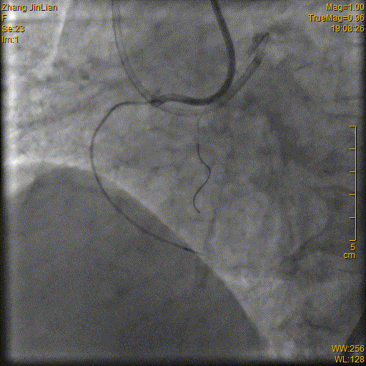
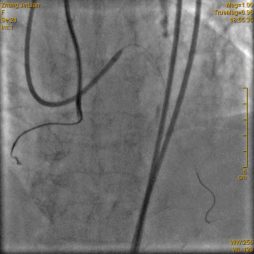
3. LCX PCI:Runthrough导丝引导Corsair150MC进入LCXd(图7),更换Fielder XTR导丝耐心操作,进入LCXd真腔(图8),再更换为Runthrough导丝,另一条植入Runthrough导丝送入OM1保护,2.0×15mm球囊扩张LCXm-d扩张后仍有明显狭窄(图9),2.5×29mmFirebird2DES,效果满意(图10)。
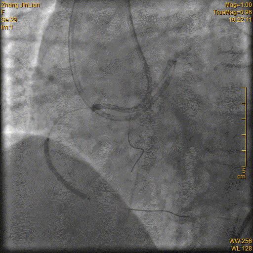
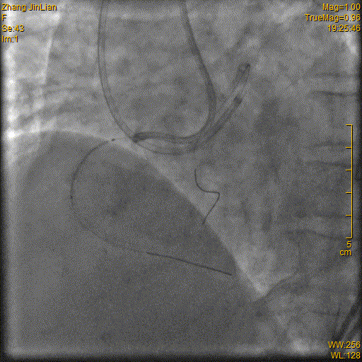
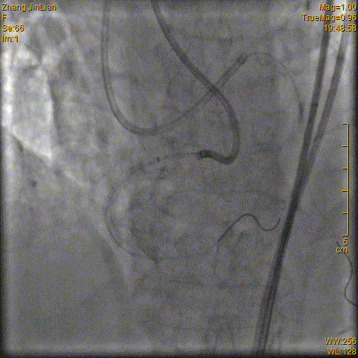
4. RCA PCI:Runthrough导丝保留在LAD行逆向PCI准备,Runthrough导丝引导Corsair150MC进入RCAm, 更换Fielder XTR导丝远端打弯(图11),导丝升级为PILTOT150耐心操作进入远端真腔(图12),Corsair150MC通过闭塞段(图13),更换工作导丝,2.0×15mm球囊扩张RCAm-d扩张后仍有明显狭窄(图14),2.5×29mm、2.75×23mmFirebird2DES串联植入RACp-d(图15-16),后三叉以远不显影,预计严重狭窄(图17),2.0×15mm球囊扩张后狭窄改善(图18),在Guidezilla延长导管支撑下20×23mm药物球囊扩张扩张后三叉60sec,最终效果满意(图19-20)。
图7
图8

图9

图10
图11

图12
图13

图14
图15
图16
图17
图18
图19
图20
5. LAD PCI:3.5×23mmFirebird2DES串联植入LADp,3.5×12mmNC球囊高压支架内扩张,效果满意,LAD-S-RCA侧枝循环消失(图21-22)。

图21

图22
6. 雅培Proglide血管缝合器缝合两侧股动脉。
7. 手术时间4小时,造影剂350ml,放射剂量1600mGy。
8. 术后第1天正常下床活动,胸闷症状完全消失,cTnI0.91ng/ml,心电图同术前比较无变化(图23),超声心动图提示左室下后壁节段性运动减弱消失,EF增加至67%(图24)。
图23
图24
术后总结
CTO被称为冠心病治疗最后的堡垒,一次手术开通两条CTO无疑高度考验术者的技术和耐心,此例患者因术前准备充分,策略得当,手术在相对顺利,达到了血运重建的目的。
药物支架和药物球囊各有特点,应互为补充,药物球囊处理末端小血管的严重狭窄有优势。
术后患者症状消失,心肌损伤标志物增高轻微,超声心动图提示节段性运动消失,收缩功能大幅改善,提示血运重建效果满意。
血管缝合器可减少病人卧床时间,降低局部血肿和血栓栓塞并发症,并在一定程度上缓解医护人员工作压力。
医院简介:
广西国际壮医医院成立于2016年,以“壮瑶医药为特色,中医药为基础,现代诊疗技术为保障”为定位,集“医疗、教学、科研、康复、保健、壮瑶医推广应用、制剂研发、民族医药文化传承和国际交流”九大功能于一体的全国较大、广西首个综合性现代化国际化三级甲等民族医医院,也是广西中医药大学附属医院。医院地处南宁市五象新区秋月路8号,一期床位1000张。医院共设置55个临床医技药科室、26个病区,包括内、外、妇、儿、治未病等科,设置了近100个民族医诊室。医院配置有3.0T核磁共振、1.5T核磁共振、256排螺旋CT、64排螺旋CT、DSA、DR、直线加速器、彩色多普勒超声诊断仪、四维彩超、30个仓位高压氧舱等先进的大型医疗设备。广西国际壮医医院将立足广西、面向全国、辐射东盟,努力打造成为具有鲜明壮瑶医药特色的现代化、国际化、信息化区域医疗中心。
科室简介:
心病科(心血管内科)是广西国际壮医医院的重点建设学科,拥有一支反应快速、技术过硬的医疗队伍,所有医生均为研究生以上学历,包括博士学历3人,硕士学历12人。多人有国内外心血管大中心进修学习经历。科室在民族医药的基础上,积极开展新技术新业务,目前可独立开展复杂疑难危重冠心病介入诊疗、快速心律失常的电生理检查和射频消融术、缓慢心律失常的永久起搏器安置术、先天性心脏病的封堵术、主动脉和外周动脉介入手术(主动脉夹层腔内隔绝术、肾动脉支架置入术等)、心血管机械支持技术(IABP、ECMO等)、以及目前蓬勃开展的新技术(左心耳封堵术、生理性起搏术、经导管主动脉瓣置换术等)。
术者简介
徐先增
广西国际壮医医院
主任医师,博士,留德学者,广西国际壮医医院心内科主任,广西中西医结合心血管介入委员会常务委员,广西医师协会生命支持学会常务委员。曾到北京安贞医院、阜外医院、德国明斯特大学附属医院进修心脏介入和心脏重症。发表专业论文20篇,自治区厅级课题2项;拥有国家实用新型专利1项。从业心血管内科20余年,擅长复杂冠心病介入、永久起搏器安装、射频消融等各项心血管介入技术,熟练掌握IABP、ECMO等心血管支持方法,擅长各种心血管急危重症的救治。
许北柱
广西国际壮医医院
副主任医师,博士。长期从事心血管疾病临床诊疗工作,擅长先天性心脏病、冠心病的介入治疗。
李健
广西国际壮医医院
副主任医师,医学硕士。广西中西医结合心血管分会委员;广西医师协会中医心血管分会委员。在核心及国家级刊物上发表13篇论文,主持厅级课题1项。擅长冠脉造影术及冠脉支架植入术。
姜益宏
广西国际壮医医院
副主任医师,在读博士。广西中西结合心血管病专业委员会委员、广西中西结合学会脑心同治专业委员会委员。曾在北京大学国际医院进修心内科和冠脉介入。擅长冠脉介入治疗及心血管疾病的中西医结合治疗。



