11月20日,首都医科大学附属北京安贞医院心外科瓣膜中心张海波教授团队在潘湘斌院长密切合作下,并与超声科张纯、麻醉科卢家凯和武威、手术许斌、体外黑飞龙和邢家林等Heart Team团队密切配合,成功完成了由上海以心医疗器械有限公司研发的我国首款自主研发的介入二尖瓣置换产品MitraFix®两例注册临床试验,标志着国内多中心开展微创介入二尖瓣治疗领域又登上了一个新的台阶。安贞医院心外科瓣膜中心多年来持续在心脏危重症、瓣膜修复、微创手术和介入手术技术方面国内领先,首席专家孟旭教授多年来担任医学会和医师协会、研究型医院学会、亚洲心脏瓣膜学会等瓣膜病委员会的主任,瓣膜中心介入技术团队多年来很多探索性技术居于国内领先地位,也得到了纪智礼书记、张宏家院长、周玉杰副院长等领导的大力支持,团队王坚刚主任、王盛宇主任,以及王胜询、郑帅、孟斐、胡秋明、沈经纶、吴凯胜等团结协作,保障了两例复杂重症的二尖瓣关闭不全的微创心尖途径二尖瓣置换手术的顺利成功,为国内第二家成功开展此类技术的团队。
患者一为高龄80岁男性,入院诊断:重度二尖瓣关闭不全、心功能III级、高血压III级、结肠肿瘤及直肠息肉术后、双侧颈动脉硬化。STS评分为10分+。
经过安贞医院心外科瓣膜中心联合MDT团队综合讨论评估该患者病情后,患者为重度DMR患者,为传统手术极高危患者,瓣膜病变解剖无法进行介入修复,决定进行MitraFix®经心尖二尖瓣植入。术前心脏CTA瓣环面积折算最大直径39mm 模拟植入34号介入二尖瓣膜, 心室Neo LVOT面积可。
手术采用左侧第六肋间微创切口心尖入路,在超声引导下,清晰识别MitraFix®输送系统准确跨瓣,并将人工瓣膜准确释放于二尖瓣瓣环,瓣膜释放后支架贴合牢固,无瓣周漏及瓣内返流,二尖瓣前向血流通畅,左心室流出道通畅,流出道血流速度为1.6 m/s. 顺利撤出输送系统,关闭心尖切口几乎无出血,手术顺利结束。术后当天下午监护室顺利拔除气管插管。
术前反流
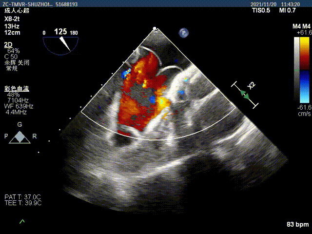
术后无瓣周漏
患者二73岁男性,入院诊断:重度二尖瓣关闭不全、左室下后壁室壁瘤、冠状动脉双支病变、慢性射血分数降低型心率衰竭、缺血性心肌病、心功能IV级、II型糖尿病、缺铁性贫血。STS评分为10分+。几次心衰调整仍然LVEF 30%。
患者为重度FMR患者,为传统手术极高危患者,瓣膜病变解剖无法进行介入修复,决定进行MitraFix®经心尖二尖瓣植入。术前心脏CTA瓣环最大直径42mm 模拟植入34号介入二尖瓣膜, 心室Neo LVOT面积可。
手术采用左侧第六肋间微创切口心尖入路,在超声引导下,清晰识别MitraFix®输送系统准确跨瓣,并将人工瓣膜准确释放于二尖瓣瓣环,术中超声发现局部介入瓣环位置偏低,及时换为手动输送器固定模式,精细调整介入瓣的左心房伞盘位置,最终瓣膜释放后支架贴合牢固,无瓣周漏及瓣内返流,二尖瓣前向血流通畅,左心室流出道通畅,流出道血流速度为2.4 m/s. 顺利撤出输送系统,关闭心尖切口无出血,手术顺利结束。患者射血分数仅30%左右,心脏功能差,麻醉后血压一度需要多巴胺和肾上腺素等药物维持,瓣膜置换后即刻血压升高,出手术室时候所有血管活性药物全部减停了。第二天顺利拔除气管插管。
术前二尖瓣重度反流
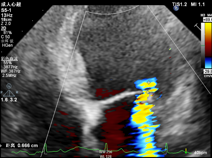
人工二尖瓣启闭良好
二尖瓣病变是发病率最高、介入治疗难度很大的瓣膜疾病,在国际上也是介入治疗技术的难题和研发热点。在我国,据不完全统计,二尖瓣病变潜在患者人数逾千万,治疗缺口极大。随着人口老龄化的发展,老年退行性心脏瓣膜病变越来越常见,严重影响人民健康和生活质量。
张海波教授表示,对于年龄大、体质弱、病变重、合并严重疾病、无法耐受传统开胸手术的高危患者,此类患者功能性(FMR)二尖瓣反流的患者因为瓣环明显扩张、瓣叶被腱索拖拽拴系明显,多数不适合通过介入缘对缘的双孔技术进行修复、即使勉强也病情也容易复发,再次治疗只能通过外科开胸体外循环下置换,但是手术风险很大。TA-TMVR该技术具有创伤小、手术时间短、安全性高、术后恢复快等优点,适合高龄、有外科手术史、心功能差、多脏器功能不全等外科开胸高风险的患者。
MitraFix®经心尖二尖瓣植入系统、植入成功率高,操作简便极易上手;是不依赖放射性的超声引导即可完成的绿色无辐射手术,此技术能够快速下沉至三甲医院心脏外科,同时兼容暂无复合手术室配置的医院,以心医疗自主创新研发的MitraFix®系统给这些患者带来了新的希望。
退行性(DMR)及功能性(FMR)二尖瓣关闭不全构成的复杂二尖瓣反流疾病谱,也大大增加了该类瓣膜病变的治疗难度。介入二尖瓣诊疗器械的研发已成为全球心血管介入诊疗领域的热点及难点。不同于介入二尖瓣修复,以心医疗的MitraFix®系统不受瓣膜病变解剖的限制,兼容FMR和DMR,而且有着更广泛的市场应用前景,也是国际介入二尖瓣领域的研发热点。
作为我国第一款拥有全球范围自主知识产权,且同时拥有经心尖途径及经股静脉途径的介入二尖瓣置换产品,MitraFix®介入人工二尖瓣膜NMPA注册临床研究的顺利开展,也说明以心医疗已同步国外结构性心脏病最高赛道,标志着我国医疗器械研发企业已经达到国际一流水准。
专家简介
张海波
首都医科大学附属北京安贞医院
北京安贞医院心外科主任医师、博士研究生导师、瓣膜中心(九病区)副主任,长期进行瓣膜病、房颤、心脏移植等研究,主持国自然和参加国际课题十余项。兼任中国医师协会全国委员,兼结构性心脏病委员会副主委和心律失常委员会副主委、中国研究型医院学会心脏瓣膜病专委会秘书长、亚洲心脏瓣膜学会中国分会常委兼秘书长、中国心胸血管麻醉学会体外生命支持分会常委、首都医科大学心外科学系委员。获得北京市科委科技新星、北京市委组织部优秀人才、北京市科技进步奖、教育部科研优秀成果奖、北京市卫生局学科骨干、北京市卫生局“十百千”优秀卫生技术人才、北京市优秀青年知识分子。每周一、四上午特需门诊。
