近日,周口市中心医院心内五科主任贾国力教授团队依托医院互联网平台,在首都医科大学附属北京安贞医院宋光远教授、郑州大学第一附属医院姜正明教授的指导下,带领医院多学科团队,应用SAPIEN 3瓣膜分别于2021年10月27日、2021年11月7日先后完成两例冠脉风险挑战性TAVR手术。
两例手术的圆满完成即标志着国家心血管疾病临床研究中心周口市中心医院合作中心挂牌成立后在结构性心脏病领域扬帆起航,有着足够的实力和医疗资源向更远处航行,更代表着SAPIEN 3瓣膜这项新技术的临床应用已在不断向我国地市级区域医疗中心下沉,能为更多主动脉瓣患者带来诊疗新选择。
病例1:TYPE1二叶瓣,冠脉保护下行TAVR
患者资料
患者为78岁老年女性,因“反复出现胸闷、气喘2年,加重半月”入院。完善心脏彩超提示主动脉瓣重度狭窄,有效瓣口面积0.68cm² ,峰值流速5.2m/s,最大跨瓣压差110mmHg。术前讨论认为该患者年龄大,低体重,体质差,外科换瓣手术创伤大、风险高,术后恢复时间长,故而有行TAVR的绝对指征。
术前CT
为TYPE1型二叶式主动脉瓣,左右融合钙化嵴,钙化较重,瓣环周长获得平均直径25.1mm,左右冠脉开口高度分别为11.1和16.1mm。左冠开口水平可见瓣叶,有堵塞风险。双侧股动脉无明显钙化迂曲,左右最细处分别为5.7和5.8mm。
手术策略
经心脏团队讨论后,拟全麻食道超声监测下,行左冠保护,经右主入路植入26mm SAPIEN 3瓣膜。
手术过程
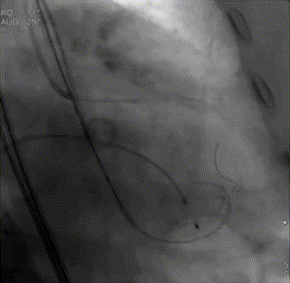
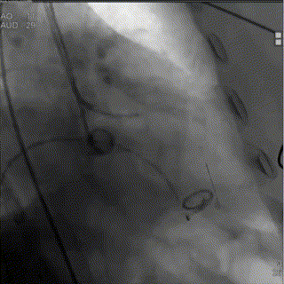
于左冠状动脉预埋支架保护。
(case1-左冠保护)
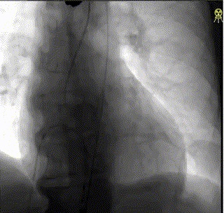
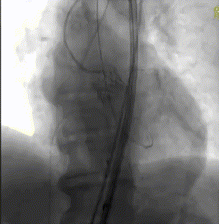
根部造影示大量反流。
(case1-根部造影)
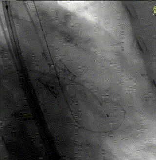
160bpm快速起搏下23mm球囊预扩张,显示钙化被扩开,无腰征无反流,按原计划选用26mm瓣膜植入。
(case1-预扩张)
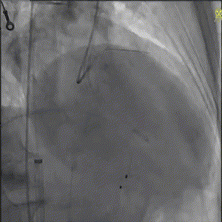
器械输送到位后,以80/20的策略精准定位释放。
(case1-释放)
术后根部造影显示无反流,左冠显影良好,随将预埋钢丝撤出。
(case1-术后即刻)
超声显示瓣膜定位准确,启闭良好,峰值流速1.9m/s,峰值压差14mmHg,无瓣膜反流及瓣周漏,心电监护提示无房室传导阻滞,整个手术历时1小时,圆满结束。
病例2:左冠高危,短瓣设计带来最大获益
患者资料
患者为71岁老年男性,以“间断气喘、心慌1年,加重3天”入院,完善心脏彩超提示主动脉瓣重度狭窄,考虑到患者高龄、合并双侧椎动脉重度狭窄、不愿接受外科手术等因素,心脏团队认为其有行TAVR指征。
术前CT
为三叶式主动脉瓣,瓣叶钙化较重,瓣环周长获得平均直径23.5mm,左右冠脉开口高度分别为11.2和16.4mm。瓣叶冗长,左冠开口水平可见瓣叶,左冠有堵塞风险。双侧股动脉走行流畅,无明显钙化迂曲,左右最细处分别为6.5和6.6mm。
手术策略
经心脏团队讨论后,拟全麻食道超声监测下,行左冠保护,经右主入路植入23mm SAPIEN 3瓣膜。
手术过程
术前根部造影可见大量反流。
(case2-根部造影)
按术前计划行左冠保护,于左冠预埋支架。
(case2-左冠保护)
180bpm快速起搏下18mm球囊预扩张,无腰征无反流,左冠显影欠佳,按原计划选用23mm瓣膜植入。
(case2-预扩张)
瓣膜输送到位后,精准定位释放。

(case2-释放)
术后左冠选择性造影未见堵塞,随将预埋支架撤出,多角度观察冠脉均显影良好,将导丝撤出。
(case2-左冠复造)
食管超声显示瓣膜定位准确,启闭良好,无明显瓣膜反流及瓣周漏,手术圆满结束。
术后点评:短瓣架+大网格,术者更从容
贾国力教授最后总结表示,这两例病例的特点是根部钙化重,且均具备一定的冠脉遮蔽风险。SAPIEN 3瓣膜经典的短瓣架和大网格设计无疑是此类冠脉堵塞高危患者的首选,较大的操作空间为后续冠脉介入提供了迅捷和便利,增强了术者信心,避免了不必要的支架植入,为患者带来了更大获益。此外,输送系统的双重调弯功能可避免释放过程中不必要的滑动,有助于精准定位,降低起搏器植入率,减少不必要的并发症,让术者也能更加从容的去开展TAVR手术。
专家简介
贾国力
周口市中心医院
心血管内科主任医师,周口市中心医院心内科五病区主任,河南省医学会心血管内科专业委员会委员,河南省医学会高血压分会青年学组委员,周口市医学会心血管内科专业委员会副主任委员,周口市急性胸痛救治专家委员会副主任委员,周口市心电生理与起搏专业委员会委员,周口市第七批专业技术拔尖人才。
参考文献:
注释:1. SAPIEN 3瓣膜为经导管主动脉瓣膜系统,注册证编号:国械注进20203130291。
