突破:云南省阜外心血管病医院成功完成申淇淇麟™经导管三尖瓣缘修复系统全国首例植入

近日由中国医学科学院北京阜外医院结构中心主任,云南省阜外心血管病医院执行院长潘湘斌教授领衔的多学科Heart Team团队,在胡盛寿院士的关心指导下,成功运用国产自主知识产权申淇淇麟™经导管三尖瓣缘对缘修复系统为一例高龄高危三尖瓣反流患者实施了经导管三尖瓣缘对缘修复手术,患者手术顺利,效果良好,拟于近期出院。这标志着云南省阜外医心血管病医院在经导管二/三尖瓣瓣膜介入诊疗领域又迈出了坚实的一步。

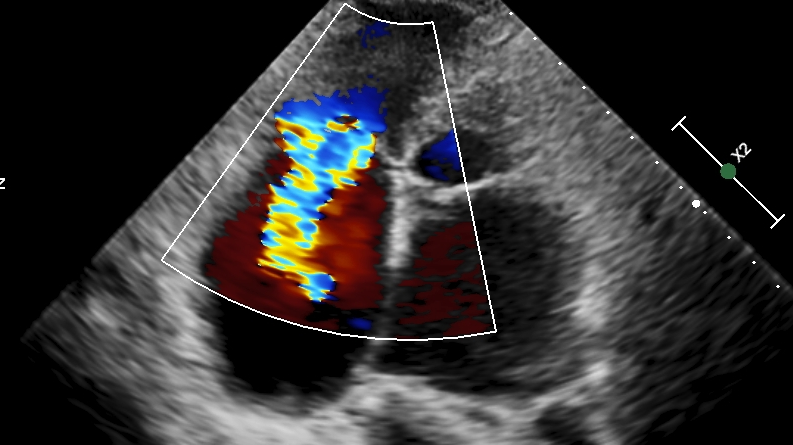
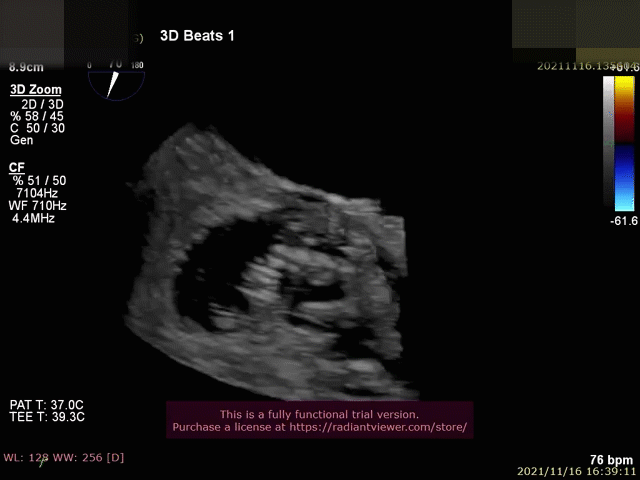
患者为一名77岁高龄的老年女性,罹患极重度三尖瓣反流,临床症状明确,合并高血压,房颤,右心功能不全等多种并发症,经多学科讨论判定为传统外科手术高危患者,经伦理委员会讨论批准,行经导管介入三尖瓣修复技术。术前经胸超声提示极重度三尖瓣反流(图1)。

图片
图片

图1:术前TEE、TEE提示极重度三尖瓣反流。

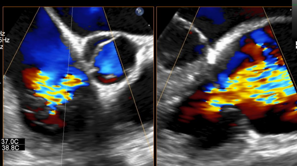
进一步三维经食道超声提示三尖瓣瓣叶活动可,无明显脱垂,隔瓣较小,反流束来源于前瓣及隔瓣对合缘,对合缘明显关闭间隙,反流束同时向后隔交接延申(视频1)。

图片

视频1: 3D TEE彩色多普勒提示三尖瓣重度反流,反流口位于隔瓣及前瓣交接,向后瓣及隔瓣交界延申。

手术采用申淇淇麟经导管三尖瓣缘对缘修复系统,其创新性的采用了复合多向调弯输送系统,在两层鞘管上具备三个不同方向的调弯,可以适应更加复杂的右心室解剖,达到很好的输送同轴性(图2)。

图片

图2:申淇淇麟™经导管三尖瓣缘修复系统,其创新性的采用了复合多向调弯输送系统,在两层鞘管上具备三个不同方向的调弯,可以适应更加复杂的右心室解剖,达到很好的输送同轴性

同时其夹子系统继承于申淇淇麟经导管二尖瓣缘修复系统的优秀设计,具备四个不同型号的夹子及瓣叶分开捕获能力,从而使用更加复杂多变的三尖瓣解剖。因该患者三尖瓣反流束较宽,瓣叶存在较宽的关闭裂隙,术中很好的利用了瓣叶分开捕获的功能,于前隔瓣区域行瓣膜缘对缘修复。夹子植入后,患者反流明显减轻至轻度(视频2/图3)。患者术后回复良好,出院前TTE提示轻度反流。

图片

视频2:术后3D TEE彩色多普勒提示三尖瓣反流明显降低。

图片

图3:术后TEE提示三尖瓣反流明显减轻

三尖瓣反流 (tricuspid regurgitation,TR) 是常见的心脏瓣膜疾病,欧美流行病数据显示其发病人群总数次于二尖瓣病变,高于主动脉瓣膜病变。其中功能性三尖瓣反流为主要病因,多继发于左心瓣膜病、心力衰竭、肺动脉高压和心房颤动等。美国全国注册数据显示10年内仅行单纯TR手术5000余例,单纯三尖瓣外科手术风险在瓣膜手术中是最高的,手术死亡率达8.8%~9.7%,亟待更加微创的经导管介入治疗方式。目前,虽然三尖瓣介入治疗技术路径繁多,真实世界中使用最广泛,临床证据最充分的依然是介入缘对缘修复,真实世界Trivalve注册研究显示接近百分之70%的介入三尖瓣手术是通过缘对缘技术完成的(图4),凸显了介入缘对缘技术在三尖瓣介入领域中广阔的应用前景。申淇淇麟™经导管三尖瓣缘修复系统的问世,更是为我国广大的三尖瓣患者人群提供了更多的治疗选择。

图片

图4:TriValve注册研究器械使用情况统计

中国医学科学院北京阜外医院、云南省阜外心血管医院结构性心脏病团队在胡盛寿院士的关心指导下和潘湘斌教授的带领下,持续在介入二尖瓣/三尖瓣治疗领域探索前行。胡盛寿院士高瞻远瞩,突破学科限制,在国内率先建立了以结构性心脏病疾病为中心的多学科诊疗病房 - 结构性心脏病中心,在北阜及云阜实现高水平心血管疾病诊疗同质化。目前累计完成介入二尖瓣/三尖瓣手术愈百例,技术覆盖了介入二尖瓣置换,介入二尖瓣缘对缘修复,介入二尖瓣人工腱索修复,介入三尖瓣置换,介入三尖瓣缘对缘等多种技术路径,形成了一整套完善的治疗体系,成绩斐然。创新的引入全超声影像引导二/三尖瓣介入诊疗的技术理念,相关系列学术成果发表于JACC cardiovascular intervention等顶级学术期刊。

阅读数: 3113