2021年11月15日上午,中南大学湘雅二医院周胜华教授团队的方臻飞、胡信群教授带领团队在心脏超声科、心外科等多学科团队的密切配合下,成功应用由沛嘉医疗自主研发的TaurusNXT“非醛交联”经导管主动脉瓣系统(干瓣预装载)为一位低EF、高冠脉风险、重度钙化的重度主动脉瓣狭窄患者完成TAVR手术。目前本中心已完成4例TaurusNXT临床试验入组,3例已完成30天初步随访,CT评估未见异常,无瓣中反流,血流动力学良好。
患者信息
患者为76岁女性,术前超声心动图提示主动脉瓣重度狭窄并轻度关闭不全、峰值流速 5.1m/s、平均跨瓣压差 71mmHg、有效瓣口面积 0.32cm²;双房增大,升主动脉瘤样扩张,左室后壁增厚;二尖瓣轻度反流、三尖瓣中度反流;LVEDd:49mm,LVEF:29%,左心功能减退。
主动脉根部评估
CT 数据显示该患者为Type1型二叶式主动脉瓣
主动脉瓣瓣环周长76.8mm,周长径24.5mm;
LVOT 周长 86.1mm,周长径27.4mm;
SOV:32.3mm*34.5mm*33.7mm;
STJ 周长 100.6mm;
瓣叶严重粘连增厚,瓣叶钙化明显,HU850:1448.3mm³。
左冠开口高度8.6mm,右冠开口高度15.0mm,左冠高度偏低,左冠瓣瓣尖钙化明显,根据瓦氏窦内径和瓣叶长度综合判断,左冠存在较高堵塞风险;左心室后壁增厚。
血管外周入路评估
入路血管少量钙化无其他病变,双侧血管内径良好,整体入路血管条件良好。
病例特点
TaurusNXT植入过程
手术采用22 mm TaurusAtlas球囊进行预扩,植入AV23TaurusNXT主动脉瓣。第一次释放后位置偏高,瓣膜完全回收。第二次释放到工作位,检测左右冠血流灌注情况,考虑左瓣叶的瓣尖钙化影响左冠脉血流,使用第二次回收后,预置LCA保护。之后再次释放瓣膜至工作位,在GuidezillaII支撑保护下送 4.0×18mm 支架至 LAD 近段,之后瓣膜精准释放,后用22mm TaurusAtlas球囊后扩。术后即刻经胸超声心动图评估显示少量瓣周漏,平均跨瓣压差为10mmHg,主动脉瓣口峰值流速为2.3m/s,有效瓣口面积为1.80cm²,血流动力学指标理想。
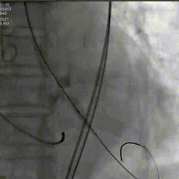
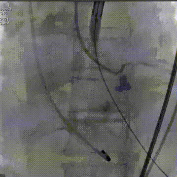
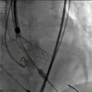
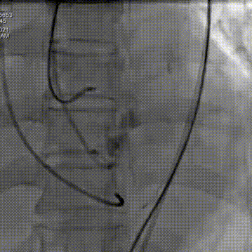
术中影像
主动脉根部造影可见重度钙化
22mm球囊预扩
瓣膜第一次释放
未达到最佳位置,完全回收
重心定位后,第二次释放到瓣膜工作位,发现LCA灌注缝隙狭小
预置LCA保护
完全回收,第三次定位释放,瓣膜位置良好
瓣膜工作位释放“烟囱支架”
瓣膜完全释放后22mm球囊后扩
释放后造影
超声影像
血流动力学改善,瓣膜形态良好,少量瓣周漏
沛嘉自创立之初即潜心研究瓣叶处理技术,历经多年终实现技术的革命性突破。TaurusNXT经导管主动脉瓣系统,是沛嘉医疗第三代介入牛心包瓣膜,是全球首次将“非醛交联”瓣叶生物处理技术和超低温真空冻干处理技术应用于经导管主动脉瓣系统并顺利进入人体临床试验。和醛基封闭或醛基清洗技术不同,非醛瓣叶生物处理技术避免戊二醛处理瓣叶而残留的醛基所诱发的组织钙化,从机制上消除钙化的主要风险,并且应用全新的复合交联、除原体细胞、抗降解性能、病毒去活等技术,以期带来更优越的耐久性和更好的生物相容性,瓣叶在复水后即刻血液动力学指标良好。超低温真空冻干的瓣叶干式处理,完整保持瓣叶物理性能,同时实现瓣膜系统的预装载,减少植入前准备时间。TaurusNXT优化支架结构和输送系统,在瓣膜锚定、封堵、瓣口面积等血流动力学改善以及术者操控性等方面均有进一步的提升。
沛嘉医疗专注于结构心脏病介入治疗解决方案的自主研发与创新,以至善尽心、呵护生命为理念,致力于不断推出适合于中国患者惠及世界的高品质医疗产品,救治上千万心脏瓣膜疾病患者是我们不懈努力的方向。在中国,为中国,惠世界。
专家简介
周胜华 教授
中南大学湘雅二医院
我国知名介入心脏病学专家,中南大学“湘雅名医”,第三届“国之名医,优秀风范“荣誉获得者。现任中南大学湘雅二医院心血管内科主任、主任医师、博士生导师、湖南省心血管病医院(中心)主任、湖南省心血管病介入治疗中心主任、湖南省临床介入治疗质量控制中心主任、湖南省心血管疾病现代医疗技术研究中心主任。
中华医学会心血管病学分会第十一届委员兼副秘书长,中国医师协会心力衰竭分会副主任委员,湖南省心血管病学委员会主任委员,中华医学会心电生理和起搏学会常务委员,中国医师协会心血管内科医师分会常务委员,中国生物医学工程学会心律分会常务委员、中国心律学会常务理事。
卫生部有突出贡献中青年专家、“卫生部优秀青年科技人才”、国家心血管病介入诊疗质量控制专家、国家心血管病中心专家组成员、享受国务院特殊津贴、湖南省学科领军人才。
方臻飞 教授
中南大学湘雅二医院
心血管内科主任医师,教授,博士生导师。湖南省心血管病现代医疗技术研究中心副主任。国家卫计委心血管介入诊疗规范化培训导师(结构性心脏病、冠心病)。
中华医学会心血管病分会结构性心脏病学组委员、中国医师协会结构性心脏病专业委员会委员、亚太结构性心脏病青年俱乐部黄金会员、湖南省医学会结构性心脏病学组副组长。作为写作组成员参与编写我国《经导管主动脉瓣置换术专家共识》。长期致力于结构性心脏病、冠心病介入诊疗工作,先后留学法国、美国学习先进技术。完成中部地区首台TAVR手术,并多次完成急诊TAVR等复杂高危手术,独立完成TAVR百余例。
发表论文40余篇,其中SCI论文20余篇。主持国家自然科学基金1项,卫生部临床学科重点项目1项。获湖南省科技进步二等奖3项,湖南医学科技奖2项,中南大学医疗新技术成果奖3项。
胡信群 教授
中南大学湘雅二医院
医学博士,主任医师,教授,博士生导师。主要从事冠心病,先心病介入治疗研究;先后留学日本、法国、美国。在湖南省内率先开展急性心肌梗死冠脉内血栓抽吸术,血管内超声的应用,冠脉内旋磨的应用,急性心肌梗死延迟支架植入的策略,冠脉血流储备分数测定等一系列的新技术。近年主持国家自然科学基金面上项目及教育部及省自然科学课题6项,近5年发表SCI论文30余篇;获湖南省科技进步奖项5项;获中南大学医疗成果奖3项,参编专著2部。


