2021年10月30日,重庆市新桥医院心内科晋军教授团队、超声科夏红梅教授团队、麻醉科李洪教授团队与浙江大学附属第二医院王建安教授团队密切合作,单日成功完成两例经导管二尖瓣缘对缘修复手术,为两位外科手术高风险的重度二尖瓣反流患者成功植入DragonFly二尖瓣瓣膜夹,早在2021年8月27日该中心已经开展该项技术,这标志着重庆新桥医院在二尖瓣介入治疗领域取得重要进展,同时标志着新桥医院心内科晋军教授团队继成功开展经导管主动脉瓣置换术后再次突破二尖瓣介入领域。
患者一基本信息
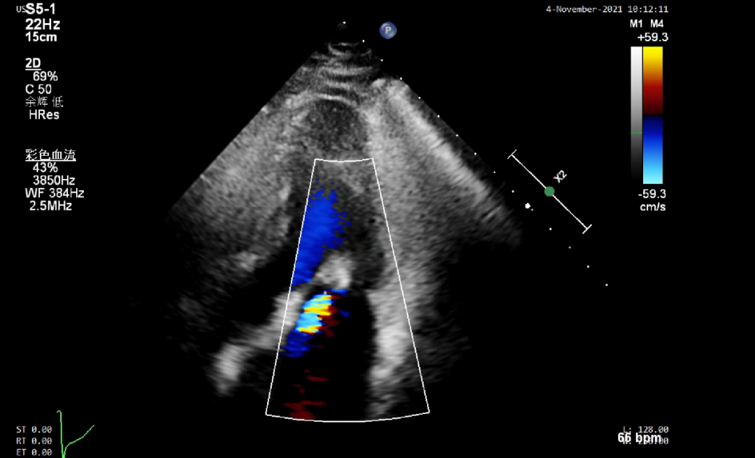
77岁的朱爷爷患心脏病多年,胸闷,喘累,气促伴咳嗽两月余,5天前突然加重,遂至当地医院就诊,考虑“肺部感染”,治疗4-5天症状无缓解,并出现双下肢水肿,建议上级医院就诊,遂至我院心内科门诊就诊,行TTE提示“左房,左室增大,二尖瓣稍增厚,后瓣脱垂,后瓣尖小腱锁断裂,重度反流”,行冠状动脉CT造影,未见冠脉管腔狭窄,随后行TEE评估提示“二尖瓣稍增厚,后瓣(P1区)腱索断裂,明显脱垂,重度反流,脱垂深度7.8mm,反流颈宽7.8mm”。(图1)
图1 患者一:TEE提示二尖瓣重度反流,P1区,腱索断裂
患者二基本信息
70岁的王奶奶患心脏病多年, 10+月胸闷、气促、心悸不适,加重5天,上述症状反复发作,4+前患者症状加重,表现安静休息时亦发作,活动耐量下降,尿量明显减少,就诊于我院行TTE示“二尖瓣脱垂,重度反流,三尖瓣重度反流,肺动脉高压”,调药3月余遂至我院复查超声,行TEE示“二尖瓣后叶P3区明显脱垂并腱索断裂,重度反流,三尖瓣中度反流,脱垂宽度6.9mm,脱垂深度6.3mm,反流颈宽度6.1mm”。(图2)
图2 患者二:TEE提示二尖瓣重度反流,P3区,腱索断裂
手术策略
术前,晋军教授团队和王建安教授团队进行了反复沟通,结合患者一STS评分为8.5%,患者二13.2%,外科风险达到了高危,病人和家属恐惧开胸,家人商议后,经多科室术前病例分析讨论,手术策略采用DragonFly经导管二尖瓣缘对缘修复术。
手术过程
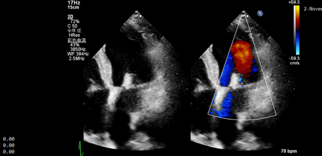
手术于全麻下进行,手术采用经股静脉穿刺房间隔途径,将导管鞘系统送入患者左心房,到达二尖瓣口,全程在TEE引导下,术者通过评估二尖瓣反流位置、瓣叶脱垂位置以及反流程度等,精准夹合二尖瓣叶,患者一准确植入一枚二尖瓣夹,瓣膜夹位置稳定,植入后反流基本消失(图3),耗时两个半小时,二尖瓣跨瓣平均压力阶差1mmHg,左心房平均压力即刻从28mmHg降到10mmHg,患者二较患者一难度稍大,但在术者娴熟的操作中手术更加顺畅,依然一枚二尖瓣钳夹完成,二尖瓣跨瓣平均压力阶差1mmHg,左心房平均压力即刻从27mmHg降到7mmHg,瓣膜夹位置稳定,植入后反流基本消失(图4),耗时两小时,两位患者术后均恢复良好,三、四天后遂出院。
图3 患者一,反流基本消失
图4 患者二,反流完全消失
二尖瓣反流是最常见的心脏瓣膜疾病,发病率最高,传统治疗手段是心外科二尖瓣修复或置换手术,但患者往往因为心功能差、高龄、合并症多等高危因素而无法耐受外科开刀手术,使得很多高危重症患者未得到有效治疗。当前,微创二尖瓣介入治疗技术正在逐步发展,该技术的突破使得更多瓣膜病患者将得到及时有效的救治,也标志着重庆二尖瓣介入治疗实现重大突破!
专家简介
晋军
陆军军医大学第二附属医院(重庆新桥医院)
主任医师、教授、博士生导师。重庆市首批医学领军人才,重庆市学术技术带头人。现任陆军军医大学新桥医院心内科主任、全军心血管病研究所所长,美国心脏病学会专家会员(FACC)、亚洲心脏病学会理事、中华医学会心血管专业委员会大血管学组副组长、重庆市医学会内科学专业委员会主任委员、《中华心血管病杂志》编委。
于世勇
陆军军医大学第二附属医院(重庆新桥医院)
硕士研究生导师,副主任医师,副教授。陆军军医大学全军心血管病研究所副主任,现任中华医学会心血管病学分会肺血管学组副组长、中华医学会内科学专业委员会青年委员、重庆市医学会心血管病学分会委员兼瓣膜学组副组长、重庆市医学会内科学专委会青委副主任委员等职。

