近日,四川大学华西医院陈茂、冯沅教授团队为一例外周动脉纤细的81岁高龄患者成功实施了全国首例经腔静脉经导管主动脉瓣置换术(TAVR)。得益于完善的术前准备及详细手术预案,手术过程顺利,患者恢复良好,于术后一周出院。
患者基本情况:
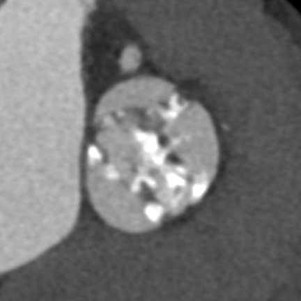
患者女性,81岁,因“反复活动后气促5年,加重1月”入院。术前心脏超声提示:主动脉瓣狭窄(极重度)伴反流(轻度),三尖瓣反流(中度),升主动脉瘤样扩张。主动脉瓣平均跨瓣压差70mmHg,峰值流速5.4m/s。STS评分8.9%,为外科手术高风险患者。
心脏CTA评估显示:Sievers 1型二叶式主动脉瓣,瓣叶明显增厚并重度钙化;瓣环周长82.7mm,瓣环面积534.9mm²;左冠状动脉开口高度12.6mm,右冠状动脉开口高度14.9mm;升主动脉最大直径60mm;横位心,瓣环角度60度。
血管入路评估:双侧股动脉细小且分叉高,最窄处不到5mm,不满足可用TAVR器械对于股动脉入路最小径线的要求。患者锁骨下动脉、颈动脉同样细小,无法作为替代入路。患者升主动脉瘤样扩张,经升主动脉入路风险极高。
手术策略
经TAVR团队谨慎分析、讨论后,认为本例患者升主动脉瘤样扩张、横位心,如采用自展式瓣膜进行TAVR,发生升主动脉损伤、瓣膜移位甚至瓣膜栓塞等严重并发症的风险高,采用球扩式瓣膜进行TAVR是更合理的选择。因患者外周动脉细小,经股动脉、经锁骨下动脉或经颈动脉TAVR均不可行,同时因升主动脉瘤样扩张,经升主动脉TAVR风险极高,而经腔静脉入路是可行的选择。因此,团队决定经由腔静脉至腹主动脉建立手术入路,并采用纽脉医疗球扩式Prizvalve经导管主动脉瓣系统实施TAVR。
手术过程
术中全麻、气管插管,穿刺双侧股动脉及股静脉。
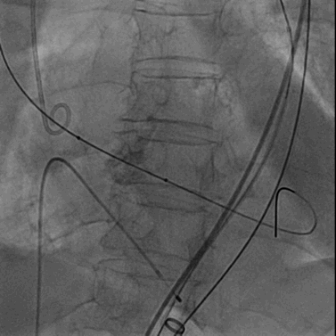
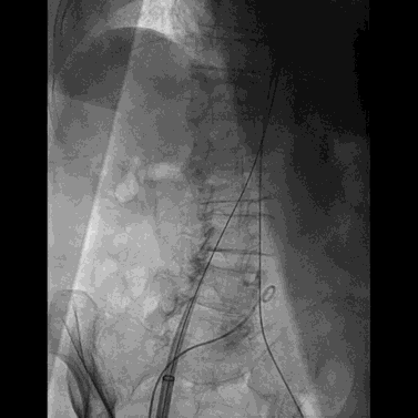
经右股静脉置入7F JR指引导管至下腔静脉,经右股动脉置入6F猪尾导管至腹主动脉,于下腔静脉及腹主动脉同时造影精确定位目标穿刺点。

穿刺系统与圈套器配合完成穿刺并建立下腔静脉至腹主动脉的通路
将0.014英寸导丝交换为超硬导丝后,置入22F大鞘达腹主动脉内。
经右侧股静脉沿超硬导丝置入22F大鞘达腹主动脉内
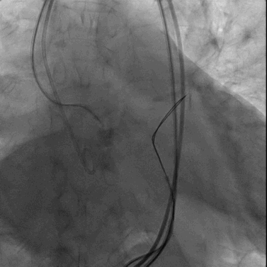
后续TAVR步骤与常规经股动脉TAVR类似:依次行主动脉根部造影、导丝跨主动脉瓣并交换猪尾导管、经左股静脉置入临时起搏电极、主动脉瓣球囊预扩张、在快速起搏下植入经导管主动脉瓣。
主动脉根部造影

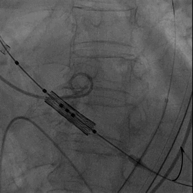
22mm球囊预扩张

置入纽脉医疗29mm球囊扩张式PrizValve
最终造影显示人工瓣膜位置理想,无明显中心或瓣周反流,升主动脉、主动脉弓及降主动脉均未见明显主动脉损伤征象。
术后主动脉根部造影
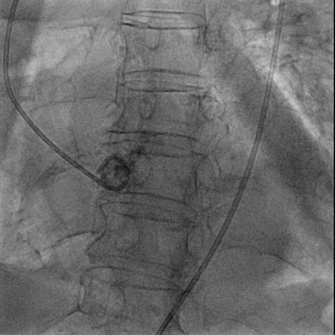
完成瓣膜置入后撤出22F输送鞘并用封堵器封堵腹主动脉与下腔静脉间的动静脉瘘,封堵器完全释放后腹主动脉及下腔静脉内造影均显示封堵效果良好,未见明显造影剂外渗。

封堵器释放后腹主动脉造影
封堵器释放后下腔静脉造影
患者术后恢复过程顺利,无严重并发症发生,术后CT示腹主动脉-下腔静脉瘘被完全封堵、未见明显腹膜后血肿,患者于术后一周康复出院。
总结与讨论
TAVR已成为老年主动脉瓣狭窄的主流治疗方式。股动脉入路是TAVR的首选入路,随着器械的进步,90%以上的患者可经股动脉入路完成TAVR。但仍有部分患者因本身血管纤细或存在严重钙化等原因股动脉有效内径小,不具备经股动脉TAVR的条件,需评估经替代入路行TAVR的可行性。替代入路包括经锁骨下动脉、经腋动脉、经颈动脉或经胸(包括经升主动脉和经心尖)。而股动脉直径小的患者常常锁骨下动脉、腋动脉及颈动脉条件也不理想。经升主动脉和经心尖入路因创伤大、对呼吸系统有潜在影响等原因,风险较高、难以被患者接受。
近年来国际上报道的经腔静脉入路为那些外周动脉条件无法满足TAVR输送系统要求同时又不适合进行经升主动脉或经心尖TAVR的患者提供了一种新的选择。美国Greenbaum等2017年报道的一项注册研究已显示了经腔静脉TAVR良好的安全性。但经腔静脉TAVR的操作步骤相对复杂,对手术团队的技术水准和配合默契度有较高的要求,这可能是国内迟迟未开展该术式的一个重要原因。
四川大学华西医院心脏内科是国内最大的TAVR中心之一,自2012年4月成功完成西部地区首例TAVR以来,目前单中心TAVR手术量已达1300余例,在主动脉瓣疾病的介入治疗方面积累了丰富的经验,此次成功实施国内首例经腔静脉TAVR,标志着中心的技术水准又上了一个新的台阶。
专家简介
陈茂
四川大学华西医院
四川大学华西医院心内科主任,教授、博士研究生导师,国家“万人计划”科技创新领军人才、四川省卫生健康首席专家、四川省卫生计生领军人才、四川省卫生厅学术技术带头人、四川省卫生厅“有突出贡献中青年专家”以及首届“国之名医”荣誉称号获得者。FCSC,FACC,FESC,中华医学会心血管病分会常委,中国医师协会心血管内科医师分会常委,中华医学会心血管病分会结构心脏病学组组长,中国医疗保健国际交流促进会心血管健康医学分会副主任委员,四川省国际医学促进会副会长,四川省医学会心血管病专委会前任及候任主任委员,长城国际心脏病学组委员会县域心血管医师联盟副理事长。PCR—CIT China Chengdu Valves会议、中国中西部心血管病会议执行主席,London Valves会议、Tokyo Valves会议联合国际主席,ESC、PCR、TCT、CSI等会议的专家会员。
研究方向:经导管心脏瓣膜病介入治疗相关基础、应用基础及临床研究。研究成果发表在European Heart Journal、Nature Review of Cardiology、Radiology等国际高水平学术期刊上,现以第一作者或通讯作者发表SCI论文148篇。主持国家十三五、十二五、国家自然科学基金等国家级、省部级科研项目多项。获四川省科技进步一等奖、中华医学科技二等奖、四川省医学科技一等奖、四川省科学技术进步二等奖等。主刀完成我国西部地区第一例经导管主动脉瓣置换术(TAVR),TAVR完成例数居全国领先水平。在全国率先开展经导管二尖瓣、三尖瓣及肺动脉瓣介入治疗,完成例数居全国前列。
冯沅
四川大学华西医院
主任医师,研究生导师,华西医院先心病亚专业组长,一级专家。
中华医学会心血管病分会结构性心脏病学组委员,中国医师协会结构性心脏病学组委员,中华医学会儿科学心血管学组新生儿心脏协作组副组长,中华医学会心血管病分会第10届委员会肺血管病学组委员,四川省心脏瓣膜联盟副主任委员,亚洲心脏瓣膜病学会中国分会心脏瓣膜病介入治疗技术学术委员会常委。临床经验丰富,诊疗技术水平突出,擅长结构性心脏病(先心病、瓣膜病、肺血管病、肺动脉高压)介入诊疗。领先开展多项新技术和挑战、危重症介入手术,高质量完成从新生儿到超高龄患者的各种心脏、肺血管介入手术6000台。发表SCI文章38篇(IF180+),受邀在国内外数十家著名心脏中心指导开展结构性心脏病介入手术。获得2019年四川省科技进步一等奖。

