心房颤动简称房颤,是最常见的心律失常之一,也是引起缺血性中风的主要原因之一,极其容易导致患者瘫痪、残疾甚至死亡,给患者和家庭带来巨大痛苦。新疆作为我国陆地面积最大的自治区,人口达2585.23万,房颤患者比例呈逐年增高趋势。根据2015年刊登于中华流行病学杂志的《新疆维吾尔自治区维吾尔族与汉族老年人群房颤流行病学调查》数据显示,维族与汉族老年房颤患者缺血性脑卒中的患病率分别高达8.82%和6.08%,维族与汉族老年房颤患者对房颤抗凝治疗不容乐观。左心耳封堵术(LAAC)作为近年发展起来的一种创伤较小、操作简单、耗时较少的房颤预防方案,成为越来越多心内科医生的新选择,但目前新疆地区却有很多医院尚未开展左心耳封堵术或者刚刚起步。
近年来,在新疆医科大学第一附属医院心脏起搏电生理科汤宝鹏教授的带领下,李耀东教授作为新疆地区第一位LAmbre™带教专家,已在新疆医科大学第五附属医院、新疆医科大学第八附属医院、新疆心脑血管病医院及新疆伊犁州奎屯医院、新疆第二师库尔勒医院等多家中心和地州开展左心耳封堵带教培训,树立了房颤示范基地的引领作用,提升了新疆房颤综合诊疗水平,为患者的卒中预防带来福音。
图:李耀东教授在新疆多地进行带教培训
新疆伊犁哈萨克自治州首例LAmbre™左心耳封堵+冷冻消融一站式手术
2021年8月28日,在李耀东教授的带教指导下,伊犁哈萨克自治州奎屯医院成功开展了首台LAmbre™左心耳封堵+冷冻消融“一站式”手术,实现了疆内地州级医院的“零”突破。
此次接受房颤“一站式”治疗的患者是51岁的女教师万老师,患者具有4年多的阵发性房颤病史且发作频繁,服用预防房颤的药物后出现较明显的不良反应,患者始终未积极治疗。2020年因房颤发作出现两次右下肢动脉栓塞,2021年阵发性房颤发作更加频繁,活动、紧张、劳累后均容易发作。考虑患者房颤发作频繁、药物不耐受,有过两次栓塞史,因此建议患者行冷冻消融+LAmbre™左心耳封堵一站式手术。
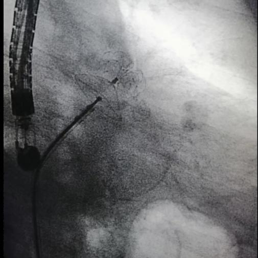
2021年8月28日上午10点,手术正式开始。食管彩超显示左心耳无血栓,李耀东教授带领奎屯医院心内科王飞、杨鸿英、张娟医生进行房间隔穿刺,左心耳造影结果显示为鸡翅型左心耳,在测量左心耳开口宽度和深度后,确定锚定区与封堵区,李教授选择了LAmbre™ 2430封堵器,经输送鞘管送至左心耳实现封堵。造影及食道超声显示均无残余分流,牵拉测试稳定,符合COST原则,释放后取得了理想的封堵效果。随后李耀东教授带领团队对患者4条肺静脉进行冷冻消融,手术历时2小时顺利成功,术后第二日患者活动正常,身体恢复良好。
新疆巴音郭楞蒙古自治州首例左心耳封堵术
患者男性,61岁,有高血压病史2年,房颤、痛风病史多年,术前一周出现心慌、胸闷等不适症状,自行服药无效后前往第二师库尔勒医院诊治。初步诊断患有心律失常、心房颤动、冠状动脉粥样硬化性心脏病及高血压1级。与患者充分沟通后,拟行LAmbre™左心耳封堵术。
2021年9月12日中午13时许,左心耳封堵术正式开始。首先唐琪老师在TEE下,排除了心房室结构及左心耳内血栓存在的风险,同时在多角度下对左心耳封堵器的锚定区和开口区进行了测量。随后在李耀东教授及王继伟副院长的带领下行房间隔穿刺,房穿后鞘管轴向极佳,即刻对左心耳进行了造影,结果显示左心耳形态呈鸡翅菜花型,测量后锚定区24mm,封堵区32mm,综合评估后选用LAmbre™ 2834封堵器进行封堵。DSA和TEE下显示无残余分流,牵拉稳定,完美封堵,整个手术用时仅40余分钟。
这是第二师库尔勒医院首例并且也是巴音郭楞蒙古自治州首例左心耳封堵术,标志着巴音郭楞蒙古自治州房颤治疗水平再上新台阶,也为今后当地开展左心耳封堵术打下了坚实的基础。
在遍布新疆的多例带教活动中,从如何与患者谈话到患者术后管理、从LAmbre™封堵器的选择到植入步骤技巧,李耀东教授倾囊相授。作为新疆地区第一位LAmbre™带教专家,李教授的带教活动对于LAAC的推广及医生术者的成长意义重大,不仅推动了当地医疗技术水平提升,也为当地患者送来了健康与温暖。
作为经验丰富的LAAC带教专家,对于年轻术者有什么建议吗?
“对于年轻的或者刚接触LAAC的术者来说,我认为首先要加强学习,通过学术讲座、手术观摩、学术讨论等方式,向国内外的专家学习,迅速提高自己,多听多看多动手操作。入门阶段肯定会遇到一些困难,但是不要气馁,遇到一些复杂形态的左心耳时,可以虚心请求其他成熟术者的帮助,在他们的指导下完成手术。不积跬步,无以至千里,年轻术者只有循序渐进,不断积累经验,才能在未来的道路上走得更远。”李耀东教授提到。
同时李教授也希望越来越多的术者可以通过带教活动迅速地成长,独立承担更多的手术操作,帮助更多的房颤患者预防卒中。关于未来的左心耳封堵带教培训工作,李教授也会持续进行,因为教育和培训对于LAAC的良性发展是非常重要的。
未来如何在国内进一步推广左心耳封堵术?
李耀东教授认为LAAC的发展前景是一片光明的,要得到更多推广和应用,互联网可以帮助我们打破时间与空间的限制,将医生术者的碎片时间充分利用起来,实现手术直播与转播、线上专题讲座、线上学术论坛等,深入探讨热点学术内容,为广大临床医生提供更有效的交流推广平台,助力医生成长。
其次患者的宣教工作也应该引起重视,我国房颤患者众多,但是知晓房颤危害并得到有效救治的比例仍然很低。我们可以依靠房颤日、心脏日等开展患者教育活动,让更多患者了解房颤、重视房颤,知晓房颤和卒中的关系,提高预防意识,从而得到有效的治疗。同时我们要将资源和技术等向基层医院下沉,提高基层医生的专业水平,使房颤病人在基层医院就能得到救治。
结语:
匠人精神,薪火相传,相信未来在汤宝鹏教授及李耀东教授的引领下,有更多专家的共同参与和推进,LAmbre™左心耳封堵术将在新疆地区得到更大的推广、普及和提升,为房颤患者预防卒中带来新的治疗选择,为新疆地区房颤防治工作贡献力量。
专家简介
汤宝鹏
新疆医科大学第一附属医院
教授,博士生导师,新疆医科大学第一附属医院副院长、自治区心电生理与心脏重塑重点实验室主任。享受国务院政府特殊津贴专家,新世纪百千万人才工程国家级人选,卫生计生委有突出贡献的优秀中青年专家。中国医师协会心律专业委员会副主任委员,国家卫生计生委脑卒中防治专家委员会房颤卒中防治专业委员会副主任委员;(中华心律失常杂志)副总编;中华医学会心电生理与起搏分会常务委员,心脏起搏工作副组长。心力衰竭器械治疗专业委员会副主任委员,心脏远程医疗专业委员会副主任委员,长程心电监测工作委员会副主任委员,室性心律失常与心脏猝死专业委员会副主任委员,新疆医学会心电生理与起搏分会主任委员。国家心血管病中心专家委员会第一届委员会委员,全国卫生系统先进工作者、首届国之名医-优秀风范国家级名医。美国、欧洲心脏及心脏节律协会专家会员(FELLOW)
李耀东
新疆医科大学第一附属医院
博士,教授、主任医师、博士生导师、新疆医科大学第一附属医院心脏中心起搏电生理科副主任,中华医学会心电生理和起搏分会第六、七届全国青年委员。“全国心律失常治疗规范和新技术培训”项目培训导师。中国医师协会心律学专业委员会中青年电生理工作委员会委员,中国房颤中心联盟第一届左心耳封堵委员会委员,中国老年医学会心电与心功能分会第一届委员,中华心律失常学杂志第五届通讯编委。心血管病学进展杂志编委,《心肺血管病杂志》青年编委。新疆起搏与心电生理学会青委会副主任委员。主要从事心律失常的临床及基础研究,在国内外杂志共发表论文30余篇,其中SCI文章10余篇。主持国家自然科学基金3项,其中面上项目2项,参编论著4项,获国家发明专利1项。

