稳中求进 | 陕西省人民医院心内一科顺利完成第10台TAVR手术
2021-11-17 09:54
患者
患者女性,71岁。
主诉
10天前无明显诱因出现胸闷,气短,无胸痛、出汗,无恶心呕吐,呕吐腹泻等不适,持续10余分钟,经休息后可缓解,10天来上述症状间断发作,期间出现黑朦1次,无意识丧失,无头晕、痛疚不适。
既往史
高血压病史4年,血压最高181/100mmHg,2型糖尿病3年,口服二甲双胍控制血脂糖。
超声检查
左室射血分数:58%;
峰值流速:433cm/s;
平均压差:85mmHg;
诊断:老年退行性主动脉瓣狭窄(重度);左房增大升主动脉整款;左室舒张功能差;二尖瓣返流(少量);
主动脉CT
患者为TYPE0型二叶瓣,轻中度钙化,瓣叶可见增厚,冠脉高度可,法式窦结构大,左室大小尚可,心肌肥厚,升主动脉可见增宽。
经分析研判,结合患者瓣上结构,拟采取downsize手术策略,优先选用L26号的VenusA-Valve瓣膜,备L23,使用VenusA-Plus确保瓣膜的精确释放,减少瓣膜移位风险,瓣膜释放后结合造影和超声情况,决定是否后扩。
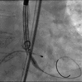
根部造影
导丝跨瓣
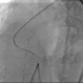
输送器定位
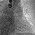
释放瓣膜
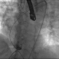
瓣膜释放完毕
手术结果
术后造影及超声探查未见瓣周漏,跨瓣压差由术前85mmHg降为6mmHg,术中及术后未出现相关并发症,手术圆满完成。
心内一科王军奎主任和官功昌副主任针对现代心脏病学的发展形势,提出大力支持心内科亚专业发展的思想,经过10余年的发展,逐渐形成冠心病团队,起搏电生理团队,结构心脏病团队,大血管及外周血管团队,ECMO及重症团队。各个团队互相协作,显著提升了救治复杂危重心血管疾病的能力,使患者能够享受“一站式”的优质医疗服务,为广大患者带来福音。


