周周寄语:
这名AS患者是解剖呈两边大中间小的沙漏形状,即流出道33-34,瓣上结构是左右融合的TYPE1二叶瓣,重度钙化,最窄的地方是瓣上6-8mm,然后STJ有43左右,升主动脉有48左右,再加上65°的横位心,使用自膨瓣膜挑战很大。策略上首选32号瓣膜,但是如何放好是个问题,瓣上type1的瓣叶很难提供足够的锚定力,所以瓣中瓣也是必须要考虑的备选策略。如果考虑球扩瓣,最大只有29号,对于这种超大瓣环也不是最安全的选择,有瓣膜移位的风险。所以可回收的自彭瓣还是较安全,而且可以有多次机会调整,寻找最佳锚定点,实在不行就瓣中瓣,也是一种可以接受的结果。
术前评估
患者男,66岁,现病史患者18天前出现劳力性(爬两层)胸骨后闷痛,伴气促、大里冷汗、咳嗽、咳白痰,伴夜间阵发性呼吸困难,持续约2—3分钟,休息后自行缓解,无放射痛,无头痛头晕,无腹胀腹痛,遂至我院门诊就诊,行心脏彩超示:主动脉瓣病变,重度狭窄并中度反流,EF33%,重度肺高压;心电图示:窦性心律,室性早搏,左心室肥厚,拟“主动脉决窄”收入我科,自起病以来,患者精神、睡眠、胃纳可,大小便未见异常,自诉近期体重无明显变化,拟行TAVR术式。
此例病人Type1二叶瓣,左右冠瓣融合,右无疑似融合,重度钙化,瓣环30.5,LVOT33.9,左右冠高度为16.9mm与18.8mm,右无融合离对侧28-30左右,STJ43.7,升主47.9,整体结构极大,心脏角度65度,近乎横位。
入路:
术中:

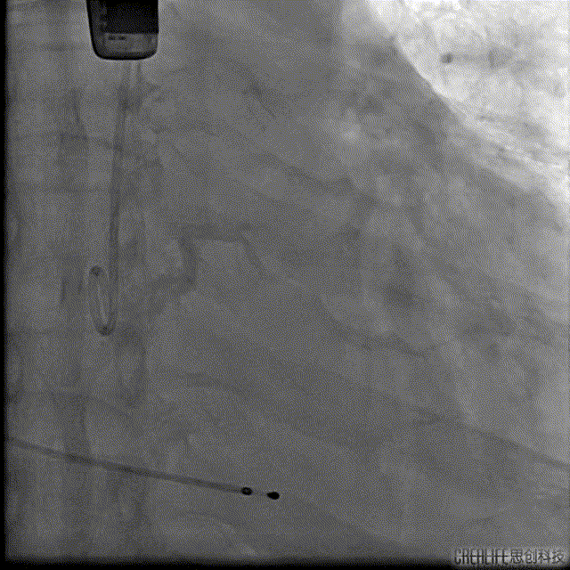
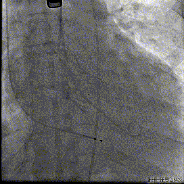
根部造影

Numed25预扩
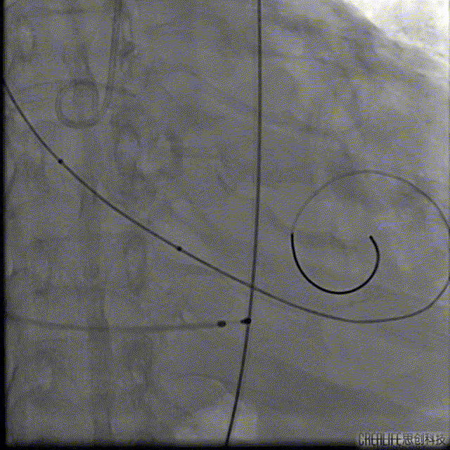
Venus32上跳

Venus32回收

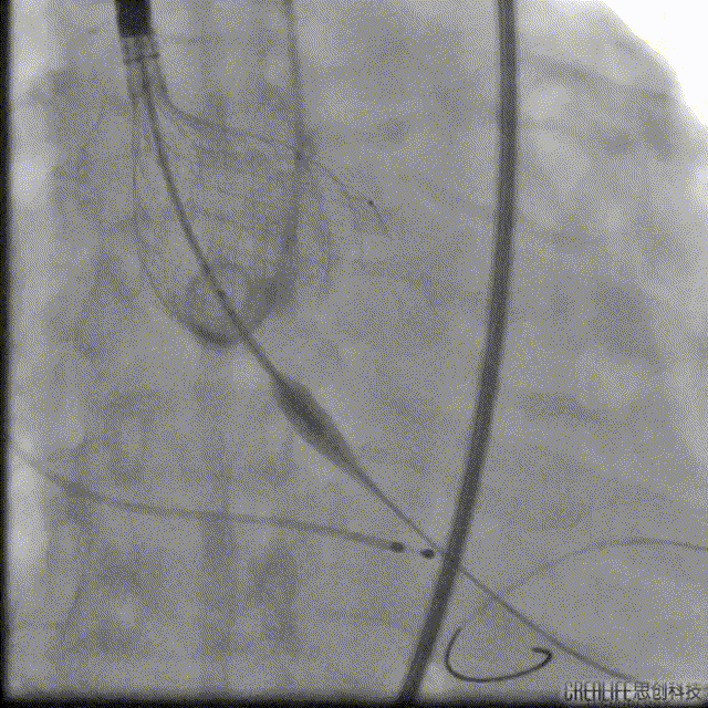
VenusAplus32释放
ICE辅助下TAVR手术

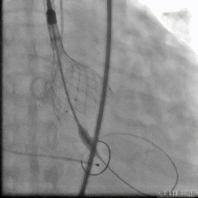
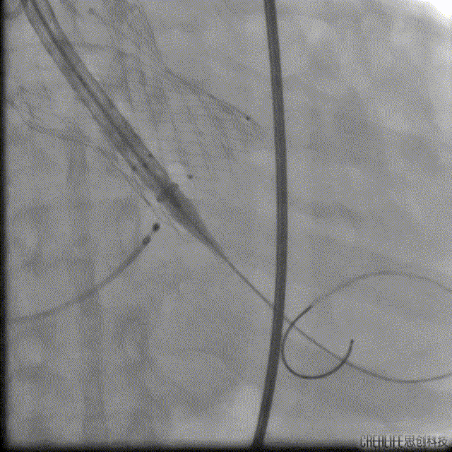
造影大量反流

VenusA32瓣膜瓣中瓣

最后一枪造影
术后:
术后患者跨瓣压差由48下降为2,无瓣周漏,患者症状改善,一周后出院。
专家介绍
罗建方
广东省人民医院
医学博士、主任医师、博士生导师。现任广东省人民医院心内科副主任,广东省人民医院南海医院院长、广东省人民医院血管病诊疗中心主任、广东省冠心病防治研究重点实验室副主任。
学术任职:美国心脏病学院Fellow (FACC)、欧洲心脏病协会Fellow (FESC)、美国心血管造影与介入学会Fellow (FSCAI)、首批Global Hybrid Algorithm Community国际认证Hybrid CTO带教专家、卫生部心血管疾病介入诊疗培训基地(冠心病介入治疗)导师。
中华医学会心血管病学分会大血管学组副组长、中国研究型医院学会心血管影像专业委员会副主任委员、中国研究型医院学会血管医学专业委员会副主任委员、中国医疗保健国际交流促进会血管疾病分会副主任委员、中国医疗保健国际交流促进会难治性高血压与周围动脉病分会副主任委员、中国医药教育协会血管医学分会副主任委员、广东省介入性心脏病学会周围血管介入分会主任委员、广东省医师协会心血管介入医师分会副主任委员、广东省医师协会心血管内科医师分会常务委员、广东省医学会心血管病分会结构性心脏病学组副组长等。
血管疾病多学科协作论坛(VMDT)执行主席、冠心病与周围血管介入沙龙(CPIS)执行主席、亚太CTO俱乐部广州峰会共同执行主席、亚洲心脏病学会年会秘书长等。
技术特长:擅长复杂冠脉病变、主动脉疾病、瓣膜疾病、周围血管病等的介入治疗。在国内率先开展脑保护装置下颈动脉介入治疗、经桡动脉行肾动脉介入治疗、快速起搏与经皮穿刺主动脉腔内修复术(TEVAR),2016年4月完成华南地区首例经导管主动脉瓣置换术(TAVR),2019年2月成功实施全球首例经股动脉途径TAVR联合TEVAR一站式手术,团队整体TAVR手术量已超过500台,已经帮助全国100家中心开展TAVR手术。
科研成果:获中国医药教育协会科学技术奖二等奖1项、广东省科学技术奖二等奖2项、三等奖2项。参编学术专著6部,发明专利4项,发表学术论文100余篇。先后承担省市级课题数项,培养硕博士20余人,目前在研经费超过500万元。
李捷
广东省人民医院
医学博士,副主任医师,硕士导师。
学术任职:中国医师协会心血管病分会结构组委员;广东省介入性心脏病协会结构分会常务委员;广东省医师协会心血管介入医师分会委员;广东省医师协会高血压分会青年委员;广东省医院协会心血管质控管理分会结构性心脏病学组委员;中国大湾区心脏协会精准诊疗分会委员;中国结构周秘书长;血管疾病多学科协作论坛(VMDT)秘书。
技术特长:擅长经导管主动脉瓣置换术,手术量超600台,帮助全国70多家中心开展TAVR手术。擅长复杂冠脉病变、主动脉疾病、瓣膜疾病、周围血管病等的介入治疗。

