葛均波院士团队成功应用Lux-Valve Plus完成经血管介入三尖瓣置换临床前研究!

2021年11月14日星期日,复旦大学附属中山医院(以下简称中山医院)葛均波院士团队成功应用经血管介入三尖瓣置换产品Lux-Valve Plus完成临床前研究,并获得圆满成功!此次研究的成功预示经血管三尖瓣产品Lux-Valve Plus已完成临床前准备,即将开启后期的正式临床研究!

图片
图片
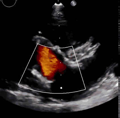
上海中山医院葛均波院士、钱菊英院长、周达新教授、潘文志教授、潘翠珍教授、李伟教授共同完成此次临床前研究。术后葛均波院士对Lux-Valve Plus的器械操作性能给予了高度评价,DSA和超声影像也显示出在本次研究中Lux-Valve Plus的安全性和有效性俱佳。
图片
本次临床前研究经右侧颈静脉置入LuX-Valve Plus输送系统可调弯鞘管,在DSA及超声引导下将人工三尖瓣瓣膜植入到原有三尖瓣位置,利用独特的锚定技术将人工瓣膜支架可靠固定在预定的位置。
图片
图片
图片
此次研究的成功预示经血管三尖瓣产品Lux-Valve Plus已完成临床前准备,即将开启后期的正式临床研究!
图片
图片
Lux-Valve是全球第一款具有我国完全自主知识产权的经导管介入三尖瓣置换系统,利用前瓣夹持及室间隔锚定的复合方式进行瓣膜装置的固定,不依赖瓣环径向支撑力,同时采用自适应复合裙边材料,有效的贴合密封柔软的三尖瓣瓣环,针对于三尖瓣返流的患者有优异的疗效。Lux-Valve Plus采用全新的经血管输送系统,经颈静脉入路创伤更小,可以进一步降低手术风险。相信在后期正式临床研究开展中,Lux-Valve Plus必定会为更多的三尖瓣反流患者带来福音。
阅读数: 5199
相关专题