“心”能学院 病例典集 | 卢丹:山穷水复疑无路,形态检查点迷津——巨大动脉瘤,谁是元凶?
2021-11-15 19:10
专家简介
卢丹
首都医科大学附属北京安贞医院
北京安贞医院检验科,硕士研究生,主治医师;北京中西医结合学会检验分会委员;从事血液学检验的临床、教学、科研等工作。
相关病史
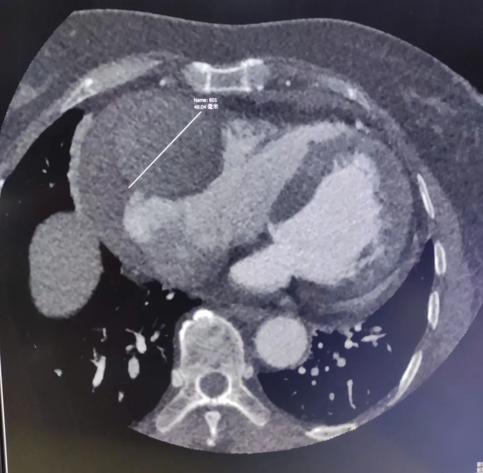
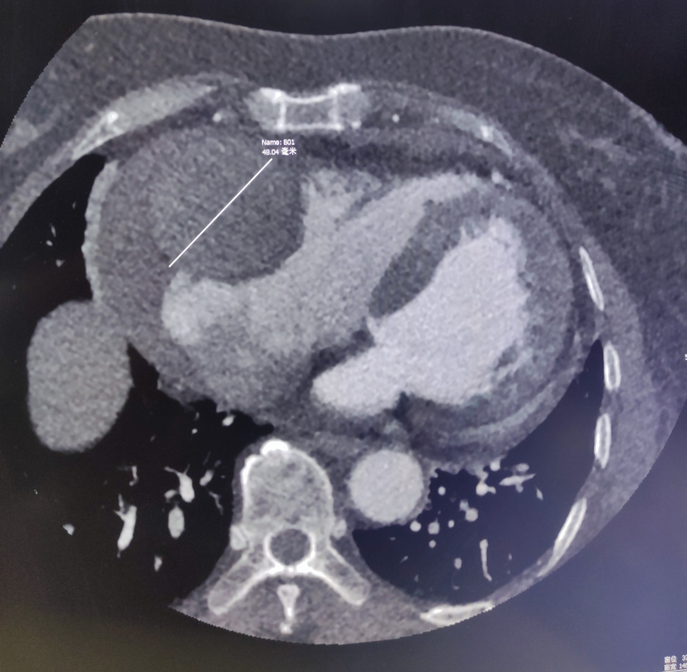
主诉:患者女,67岁,间断出现活动后胸闷、心前区疼痛一年,加重2个月。
外院急诊
冠状动脉瘤概述
冠状动脉瘤的形成原因在于,各种因素影响下动脉中膜层弹力板断裂破坏,动脉内压力作用下管壁逐渐膨胀,形成瘤样扩张结构。
心外科
颈动脉、锁骨下动脉、双下肢动脉超声未见异常;
双下肢静脉超声未见异常;
巨大动脉瘤原因排除冠脉粥样硬化。
风湿科
风湿科出院三个月后再次入院心外科欲行手术治疗。
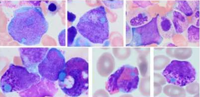
2.血小板数量减少,巨大血小板。
May-hegglin异常包涵体:
梭形,边界清晰,2~5μm嗜碱性小体,主要由RNA组成。
临床沟通
追问病史
血小板减少病史50年,未系统治疗;
尿蛋白阳性20余年;
双耳失聪十余年;
双眼白内障十余年。
高度怀疑MYH-9相关疾病!
MYH-9相关性疾病——Fechtner综合征
MYH-9疾病概述
MYH9相关性疾病(MYH9-RD)属于MYH9基因突变相关的遗传性血小板减少症,是常染色体显性遗传,发病率1/10万。
临床表现:
巨大血小板、血小板减少;
中性粒细胞包涵体;
根据临床表现的差异分为:
May-Hegglin 异常;
Fechtner综合征;
Epstein综合征;
Sebastain综合征。
治疗:
病例回顾
欲行手术治疗,术前外周血涂片发现中性粒细胞异常包涵体,提示可能存在MYH-9相关疾病。进一步结合临床表现、病史、家族史予以确诊Fechtner综合征。
