2021年11月5 日中午,王长谦副院长、胡振雷主任、韩志华副教授等组成的心脏团队成功完成TaurusElite经导管主动脉瓣系统首次植入。本次临床植入患者的主要诊断为“主动脉瓣重度狭窄”,术后瓣膜工作稳定,未出现冠脉阻挡及其他并发症。这是TaurusElite经导管主动脉瓣系统上市以来,在上海交通大学医学院附属第九人民医院的首例植入。
患者基本信息:
患者为64岁老年男性,3周前无明显诱因下出现胸闷及胸痛,位于心前区,呈持续性钝痛,伴有左侧肩背痛,无出汗、恶心、呕吐、晕厥,休息后1小时到2小时后缓解,无明显加重因素。
在上海交通大学医学院附属第九人民医院就诊,心脏超声提示:主动脉瓣重度狭窄,查冠脉造影阴性。患者合并严重的慢阻肺。
心脏超声:
主动脉瓣钙化伴重度狭窄,轻度关闭不全
二尖瓣后叶瓣环钙化伴轻度反流
左室室壁增厚,左室顺应性减低
三尖瓣轻度反流
病例特点:
手术策略讨论:
患者入路血管轻度扭曲,双侧血管内径良好,腹主动脉下段瘤样扩张。术中选择右股动脉为主入路,左侧位辅入路,手术过程要谨慎、轻柔,避免入路血管及腹主动脉瘤并发症。
由于病人为Type1型二叶瓣,瓣叶重度钙化伴增厚、粘连,左右瓣叶形成团块样钙化融合嵴,推开难度较大,所以选用20mm TaurusAtlas球囊进行预扩张,如果扩张充分,可行TaurusElite AV23瓣膜进行最终释放。
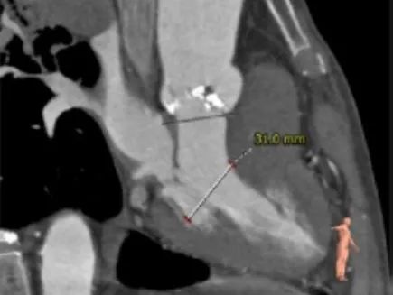
主动脉根部测量:
ANNULUS
SOV DIAMETER
LVOT
STJ
ASCENDING AORTA
LEFT VENTRICLE
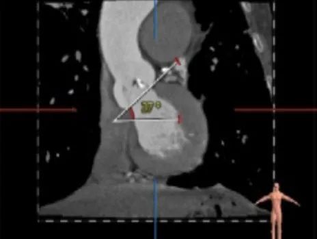
冠脉高度测量:
LEFT CORONARY
左冠开口高度16.0mm
RIGHT CORONARY
右冠开口高度17.0mm
钙化分布
HU542钙化积分1364mm³
左心室影像
心室壁增厚
外周血管及主动脉弓解剖:
入路血管扭曲,双侧血管内径良好,所见主动脉血管壁显著钙化。
手术过程概览:
行主动脉根部造影后,直头导丝成功跨瓣,选择左冠切线位进行球囊预扩;TaurusElite AV23瓣膜送至主动脉弓,主动脉根部再次造影,并取零位释放位置。
球 囊 预 扩
瓣膜精准定位
在团队的密切合作下,瓣膜释放到工作位,行主动脉根部造影评估,明确定位良好,瓣膜缓慢释放,瓣架依次稳定脱钩,花冠完全展开。
释放到工作位

瓣膜缓慢释放,稳定脱钩
术中结合DSA、超声影像,多角度观察显示:瓣周漏及反流显著,遂决定球囊后扩,行18mm TaurusAtlas球囊进行后扩。
主动脉根部造影,瓣周漏显著

18mm球囊扩张,无冠窦形态欠佳
18mm TaurusAtlas球囊后扩张,超声显示瓣周漏及反流改善不明显,在瓣膜可能移位的风险下决定行20mm TaurusAtlas球囊后扩,结果效果理想,血流动力学显著改善。

20mm球囊扩张

主动脉根部造影,血流动力学稳定,微量反流
术后即刻评估:

术后超声评估,血流动力学得到显著改善,手术效果理想。
术后评价
患者瓣叶钙化严重,钙化不均匀、瓣口面积严重狭窄是本例手术面临的主要挑战,瓣周漏、瓣环撕裂风险高;不对称性重度钙化,产生移位可能性较大,对瓣膜释放时的定位带来了不确定性。术中初始定位选择0位,瓣膜释放后,瓣膜位置稳定,但存在显著瓣周漏及反流,决定先使用18mm TaurusAtlas球囊后扩,效果欠佳,再使用20mm TaurusAtlas球囊后扩,第二次后扩瓣膜形态完全展开,血流动力学得到显著改善,瓣周漏消失,仅为微量反流,取得了良好的术后结果,使得患者在这次手术中得到了最大获益。
术后各位专家点评,二叶瓣合并瓣叶重度钙化、瓣叶增厚及粘连融合的患者,对术者要求很高,对释放位置要精准把控,在整个过程中,团队配合也是手术成功的关键要素。
专家简介

主任医师、博士生导师,上海交通大学医学院附属第九人民医院副院长、心血管学科带头人。中国心血管内科医师学会常委,上海心血管内科医师学会委员,上海市内科学分会副主任委员。近年先后承担20余项科研项目,其中国家自然科学基金项目6项、上海市科委重点项目4项、上海市优秀学科带头人计划1项、上海市卫计委重大疾病联合攻关项目1项;获科研成果鉴定4项,获上海市科技进步三等奖2项,上海医学科技奖二等奖1项,申请国家发明专利2项。以第一或通讯作者在国外学术期刊发表SCI收录论著50余篇,在国内学术期刊发表论文100余篇。入选上海市青年科技启明星计划,获上海市卫生局先进工作者、上海市优秀学科带头人等荣誉。

心外科主任,副主任医师,副教授。1997年7月毕业于上海医科大学医疗系,2002年至2005年在复旦大学医学院(原上海医科大学)获硕士学位。2015年获上海交通大学医学院博士学位。长期在心脏外科临床一线工作,积累了丰富的临床经验。曾前往美国宾夕法尼亚大学医学院心脏中心及赴比利时鲁汶大学医院进修。在心脏微创治疗技术方面有丰富经验。目前是国际微创心胸外科协会会员,国家微创心脏外科学会委员。