独立完成手术是新术式技术水平成熟的标志,通常会选择较为简单的病例来确保手术的顺利完成,而成都市第三人民医院心脏大血管外科却恰恰相反,以一例横位心、低EF值的风湿性心脏病TYPE1型二叶式主动脉瓣狭窄高难度病例,作为心脏大血管外科独立TAVR的“成人礼”。罗勇教授团队熟练运用FEops&VenusA-Plus“组合拳”从容应对此次挑战,最终取得了手术的圆满成功,术后患者血流动力学即刻改善,恢复情况良好。
患者基本情况:
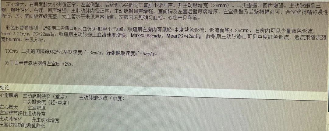
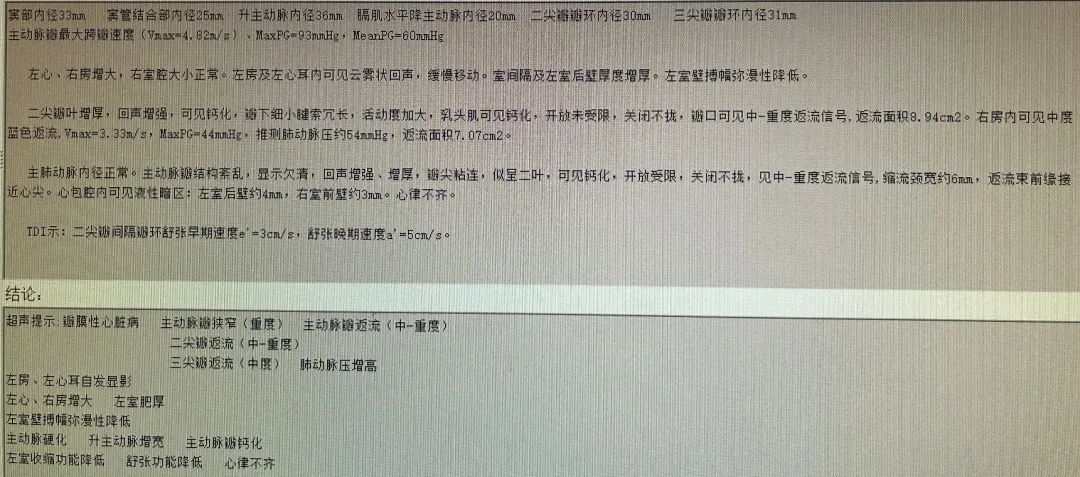
患者女性,67岁,因“反复心累,气促1+年”入院,心脏彩色多普勒超声心动图诊断心脏瓣膜病:主动脉瓣狭窄(重度),主动脉瓣返流(中度),二尖瓣返流(轻-中度),左心增大 ,左室肥厚,左室壁节段性运动异常,主动脉硬化,左室收缩功能测值降低。经其他相关辅助检查,诊断明确,患者一般情况差,瓣膜病变严重,合并症多,心功能差,行外科手术风险极大,符合TAVR手术指征。
超声显示
EF:29%
主动脉瓣平均跨瓣压差:60mmHg
主动脉瓣口峰值流速:4.82m/s
超声诊断:主动脉瓣重度狭窄伴中-重度关闭不全
通过FEops报告选型
瓣环平面相关:
面积为406.4mm2
周长为74.2mm
周长导出径为23.6mm
面积导出径为22.7mm
平均径为22.7mm
FEops评估冠脉风险
瓣膜植入前的主动脉根部形态
瓣膜植入后的主动脉根部形态
根据FEops报告上的左右冠脉CT截面得知RCA Height:16.0mm、LCA Height:16.0mm,冠脉阻塞风险比较低,通过植入前后的3D模型对比瓣叶形态可以进一步验证。
FEops量化评估瓣周漏
根据FEops评估报告得知,L26号瓣膜在高位和标准位释放之后几乎没有瓣周漏,所以两种释放位置都可以考虑。
L26号瓣膜高位植入后的瓣周漏
L26号瓣膜标准位植入后的瓣周漏
FEops评估瓣膜释放稳定性
根据FEops评估报告,起始释放位置与最终稳定位置具有一定的差异,评判瓣膜移位风险较大,建议使用VenusA-Plus确保患者手术安全。

L26号瓣膜标准位植入后的稳定形态
CT评估
瓣环直径:24.5mm,左室流出道直径:26.9mm
主动脉窦:27.3*30.2*32.1mm,STJ:27.2mm
升主动脉直径:31.2,心脏夹角:59度
钙化积分及分布
入路情况
难点分析
*患者为风湿性心脏病患者,TYPE1型二叶瓣,瓣上限制狭窄,瓣膜释放移位风险增加,对术者瓣膜植入位置的操控要求较高。
*心脏角度偏大,输送器过瓣难度增加,瓣膜植入同轴性差,增加了操作的难度。
* 该患者术前左室收缩功能差,EF:29%,术中循环崩溃风险较高。
手术策略
经过分析研判,结合患者瓣上结构,拟采取downsize手术策略,优先需用L26号的VenusA-Valve瓣膜,备L23,术中根据20mm球囊预扩结果来确定瓣膜型号,由于该患者EF较低,提前预装L26号的VenusA-Valve瓣膜,使用VenusA-Plus确保瓣膜的精确释放,减少瓣膜移位风险,瓣膜释放后结合造影和超声情况,决定是否后扩。
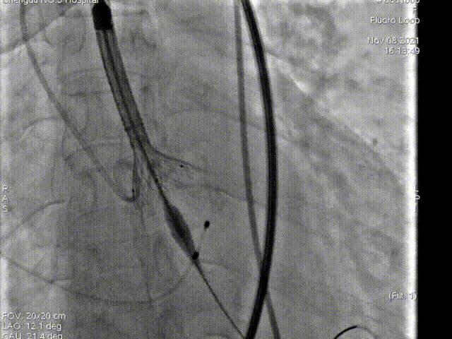
术中影像
主动脉根部造影
术中多次室颤,故当机立断,不进行预扩,直接植入L26号的VenusA-Valve瓣膜。
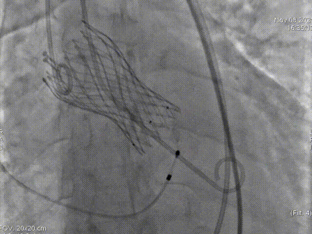
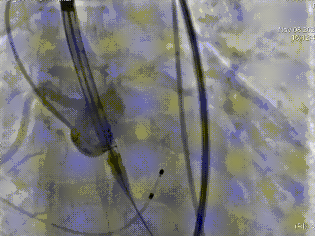
起始释放
第一次释放
位置稍深,选择回收,重新定位释放
第二次起始释放
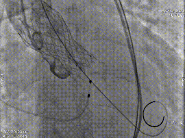
第二次释放位置良好
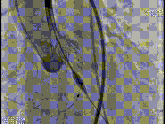
瓣膜打折
球囊后扩
最终位置完美,无瓣周漏
术后结果
术后造影及超声探查未见瓣周漏,跨瓣压差由术前70mmHg降为8mmHg,术中及术后未出现相关并发症,手术圆满完成。
术前压差
术后压差
总结
罗勇教授总结“传导阻滞、瓣膜移位、瓣环撕裂、循环崩溃等各种各样的并发症是TAVR手术主要的风险因素,也是新中心开展TAVR术式的‘拦路虎’ ,面对挑战,我们需要具备过硬的技术实力以及团队多学科的默契协同,来确保手术的顺利完成,另一方面灵活运用FEops的有限元评估功能和VenusA-Plus的精确释放功能,同样可以减少风险因素的发生概率,也是手术成功、独立开台的关键因素之一。”
专家简介
罗勇
成都市第三人民医院
成都市第三人民医院心脏大血管外科主任医师,成都市心血管病研究所副所长,成都市心脏大血管外科质量控制中心业务主任,中国医师协会心血管外科分会冠心病学术委员会副秘书长,中国医师协会心血管外科分会先心病学术委员会委员,国际微创心胸外科学会(ISMICS)委员,国家心脏疾病中心微创心血管外科学术委员会委员,四川省医学会心胸血管外科分会专委会常务委员,成都市医学会心胸血管外科分会专委会常务委员。从事心脏大血管外科二十余年,技术精湛,擅长胸腔镜微创房颤射频消融术、各种先心病的纠治手术、大动脉疾病的外科治疗,尤其擅长冠心病、老年重症瓣膜性心脏病的治疗。
程力剑
成都市第三人民医院
成都市第三人民医院心脏大血管外科副主任医师,医学博士,2009年博士毕业于中国医学科学院北京协和医学院阜外心血管病医院,师从我国大血管外科奠基人孙立忠教授。2009年~2018年在首都医科大学附属北京安贞医院心外科工作,期间,2015年~2016年在美国德克萨斯心脏中心任访问学者。2018年10月起在成都市第三人民医院心脏大血管外科工作。从事心血管外科近20年。擅长大血管疾病诊疗、冠心病外科治疗,成人心瓣膜病诊疗。特别在主动脉疾病方面有丰富的诊疗经验。
崔鹏
成都市第三人民医院
成都市第三人民医院心脏大血管外科主治医师,医学硕士,四川省介入医学专业委员会青年委员,四川省抗癌协会第二届微创专委会委员,成都市抗癌协会专委会委员,四川省妇幼保健协会妇儿专委会委员,成都市外周血管介入质控中心专家库成员。擅长胸、腹主动脉夹层及动脉瘤介入微创治疗,主动脉瓣狭窄介入换瓣微创治疗(TAVI)。
费俊杰
成都市第三人民医院
成都市第三人民医院心脏大血管外科主治医师,医学博士,从事心脏大血管外科多年,在国家心血管病中心-阜外心血管病医院学习两年,擅长冠心病、瓣膜病、先心病、大血管疾病等心脏大血管外科常见疾病的诊治.



