结瓣同行,贞心护航。
本着相互交流,共同学习的初衷,贞”心一“课”系列活动于2021年11月初正式拉开帷幕。该活动由安贞医院心脏瓣膜病介入中心发起,通过与亚太结构性心脏病青年俱乐部(APSHD)开展的”结瓣同行“活动合作,特以每周定期分享二尖瓣/三尖瓣修复和替换案例的形式,以贴近临床的诸多病例为桥梁,搭建安贞与广大青年结构性心脏病术者相互交流学习的平台,集众智,聚众力,共同推动我国结构性心脏病先进诊疗技术的普及与再提高。
本周,首医科大学附属北京安贞医院宋光远教授团队带来了一例复杂的A2、A1区脱垂TEER手术病例。
患者术前资料
基本情况:81岁女性,患者1月前活动后出现喘憋症状,呈阵发性,每次持续3~5分钟,无大汗、无心前区压榨性疼痛,无濒死感,无头痛,无意识障碍,经休息后可缓解,1月来上述症状多次发作,自述发作与活动无关,外院行超声心动提示:二尖瓣大量反流、二尖瓣前叶脱垂,予患者口服药物治疗,上述症状改善不明显,为进一步治疗就诊于我院,行超声心动:二尖瓣前叶A1、A2区脱垂,DMR,Carpentier II型,二尖瓣重度关闭不全(重度,4级),为进一步诊治收入院。
既往病史:无高血压、无糖尿病、无冠心病史。
二尖瓣置换STS评分:4.907%
入院诊断:心脏瓣膜病 二尖瓣前叶脱垂 二尖瓣重度关闭不全
术前评估
患者老年女性,原发性二尖瓣重度关闭不全诊断明确,患者存在心力衰竭症状,经积极药物治疗,其心衰症状改善不明显,考虑二尖瓣重度关闭不全对患者心功能影响较大,经综合评估后,认为该患者有行MitraClip指征。
术前超声评估结果
术前超声诊断
二尖瓣瓣环前后径26mm,左右径26mm
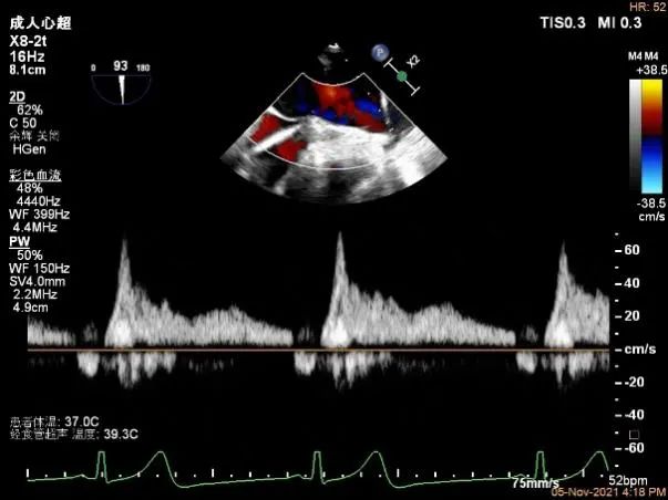
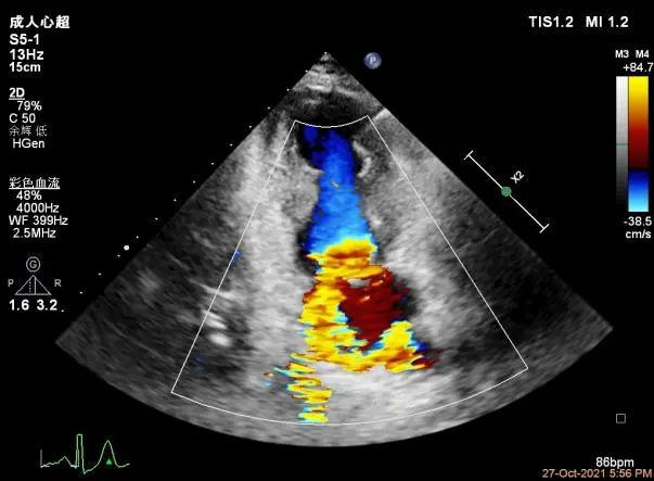
Bicom:MR(重度),返流束宽12.5mm,返流面积11.4cm²
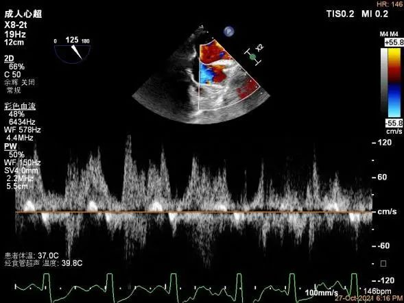
PISA法定量EROA:0.74cm²,Rvol:118ml,RF:63%
右上肺静脉血流频谱呈收缩期反向
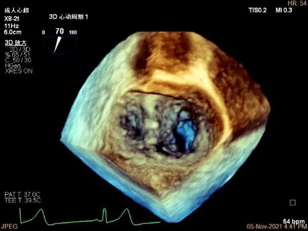
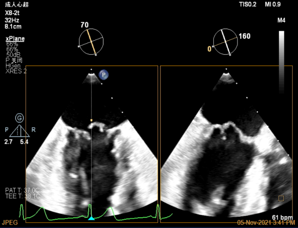
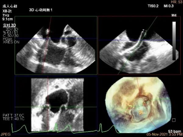
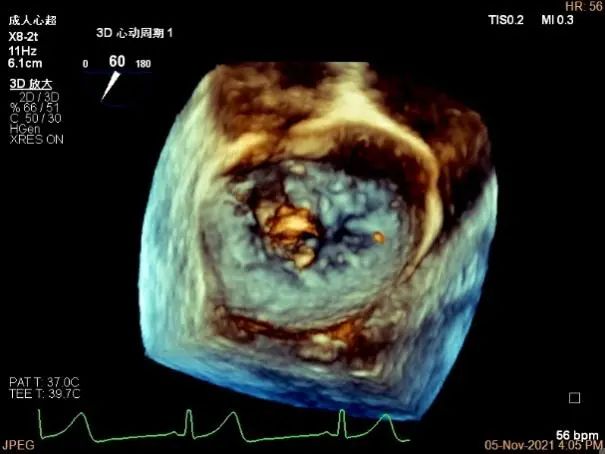
3D MV View:A2/A1区脱垂
3D-color MV view:血流主要来源于A2区,少部分来源于A1区
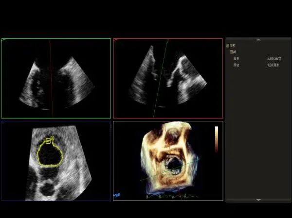
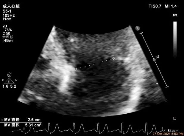
Qlab软件勾画估测瓣口面积约:5.6cm²
二尖瓣口平均跨瓣压差:4mmHg
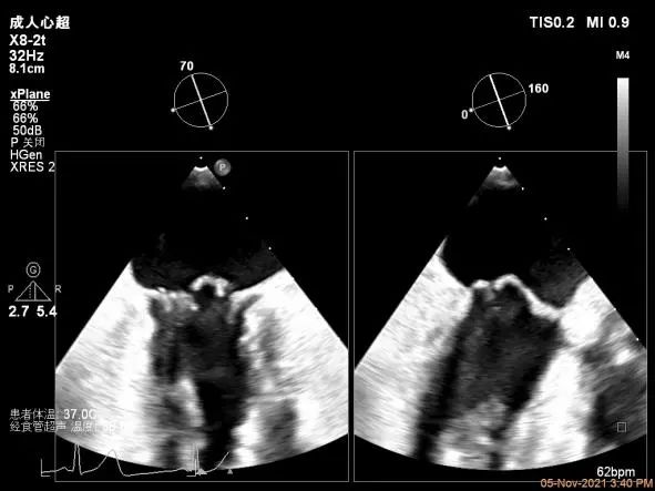
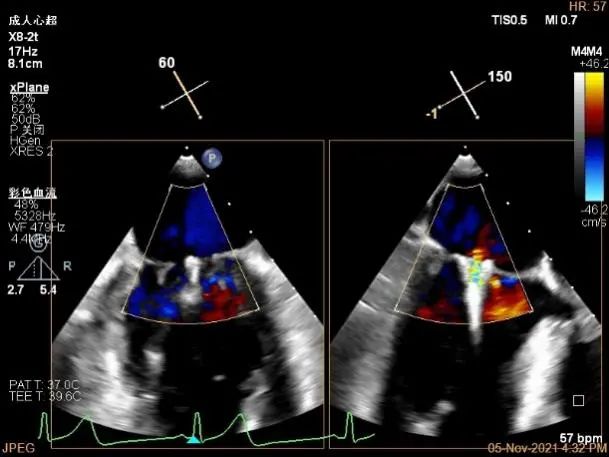
TEE Bicom view:主要脱垂区域为2区
Color-view:返流束主要来源于2区脱垂
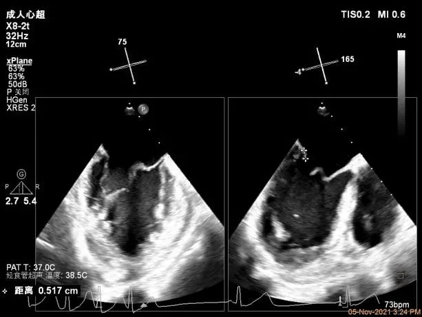
A1P1区后叶发育短小,约5.3mm
A2P2区前后叶长度可,为主要脱垂区域,进而制定手术策略: 2区一个长夹子解决脱垂主要病变区域
手术过程
患者麻醉方式为全麻,建立静脉通路后,穿刺右侧股静脉,预埋ProGlide缝合器,食道超声指导下房间隔穿刺成功,将Superstiff导丝送至左房,沿导丝将导引导管送入左房,MitraClip调整后顺利到达二尖瓣目标位置,在食道超声辅助下,将MitraClipXTR成形夹精确定位后,成功夹合二尖瓣A2-P2区,超声显示反流明显减少,多切面证实夹合组织充分,肺静脉多普勒波形由反向恢复正常,手术顺利结束,安返普通病房。
术中及术后即刻超声评估
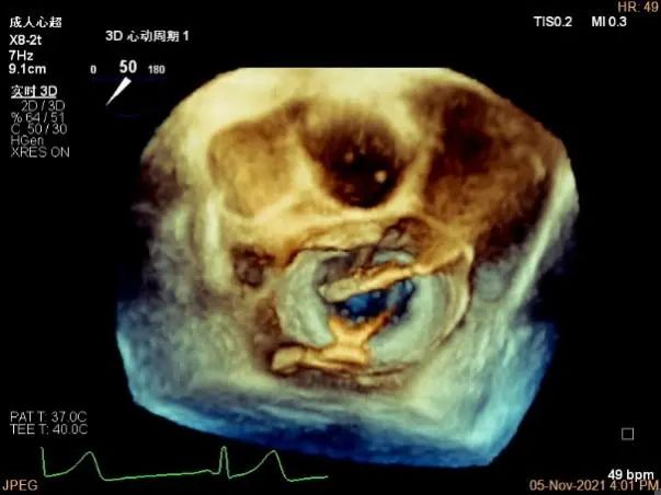
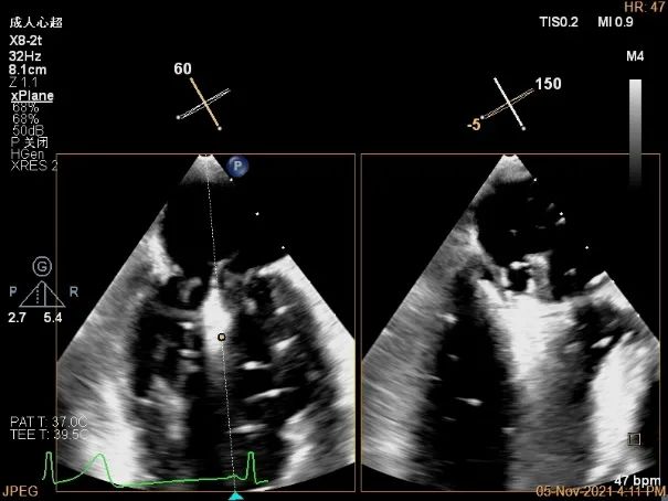
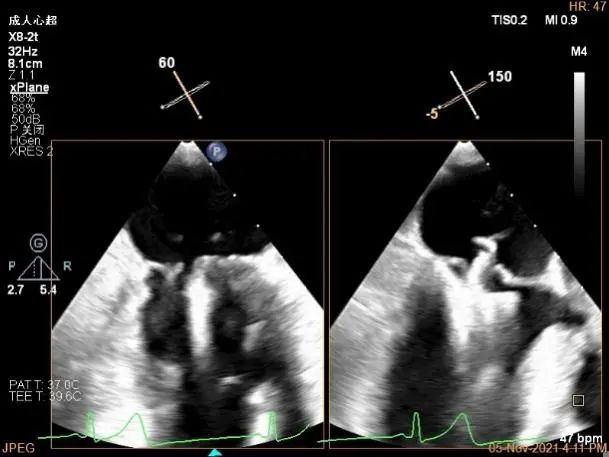
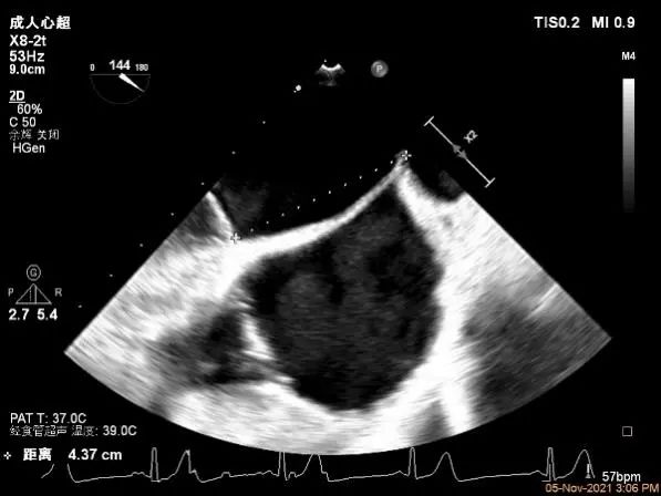
确定房间隔穿刺点:略靠前,3D视图2点位
穿刺点高度测量:4.37cm
Multivue测量大鞘长度2.34cm
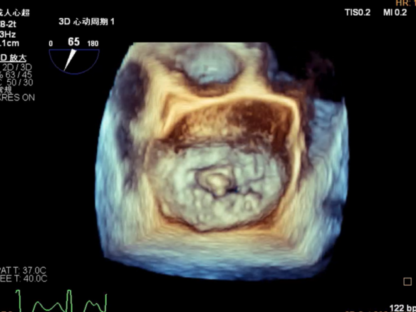
3D视图下进夹子并建立trajectory
3D视图打开夹子
3D视图下调Rotate,主要定位2区
X-plane:下夹子尝试捕获2区脱垂瓣叶
Gripper,前叶捕获长10.1mm,后叶捕获长度8.9mm
夹子逐渐夹闭后,返流量逐渐减少
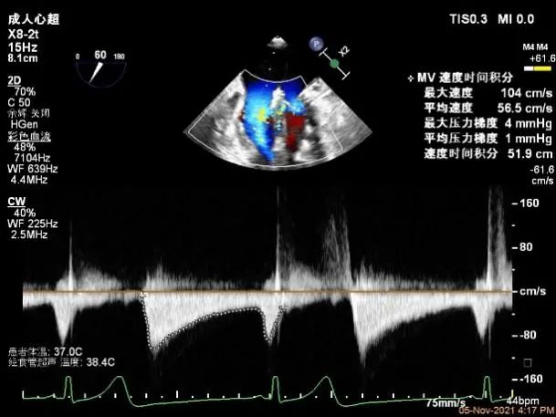
夹子放置后二尖瓣口平均跨瓣压差:1mmHg
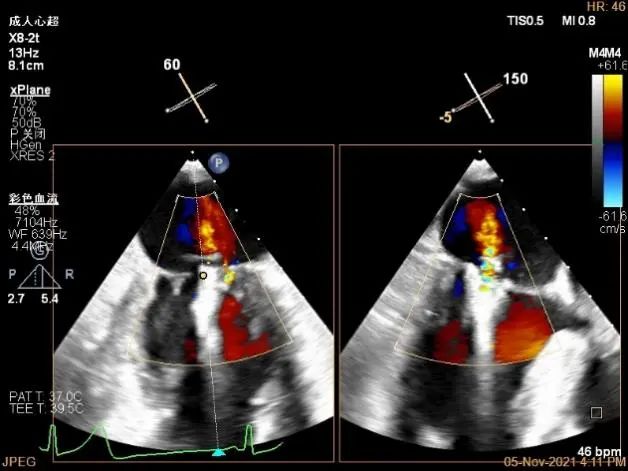
肺静脉血流频谱恢复正向
夹子脱钩后,最终仅少量残余分流
3D视图下观察二尖瓣双孔形态
3D-color:残余少量返流
术者心得:
本例手术的特点是对返流位置的确定以及夹合策略的制定。
(1)本例患者为DMR,可见明显的A1和A2区脱垂,究竟应该夹合哪个位置?如果选择脱垂最重的位置A1/P1区,将面临后瓣Tething的改变,瓣叶长度不够。所幸通过二维和三维的Color发现主要的Jet来源于A2区域,因此首次夹合位置应该确定为返流最重的A2区域略偏A1区,此处后瓣长度很理想。
(2)本例患者夹合时由于穿刺高度不够,使用大鞘后转,A-Mode旋转以获取更高的高度,得以在心房调整Trajectory和Orientation等操作。
(3)由于正确的选择了夹合部位,得以选择XTR的器械,保证了夹合瓣叶的长度,达到了一次夹合明显减轻的目的,但是依然可见夹子边缘小脱垂。当然如此宽度的脱垂更好的选择应该是XTW的第四代器械。
(4)架子释放后,返流较释放前略加重,验证了上述器械的设想。但反复评估后为微少量返流,肺静脉频谱恢复正常。X线和超声下看夹子稳定,活动度不大。最终未置入第二枚MitraClip。
专家简介
宋光远
首都医科大学附属北京安贞医院
2015.2-2016.7 美国 Cedars Sinai Medical Center 博士后学习
· 累计完成瓣膜病介入治疗超过 1000 例
· 累计完成房颤左心耳封堵术超过 200 例,其中 LAAO+PCI 一站式治疗 50 余例
· 累计完成复杂冠脉介入治疗超过 5000 例
· 主持结构性心脏病影像核心实验室,目前完成 CT 和超声分析 3000 余例
· 带教省级医院横跨 30 余省市 60 余家 主持国家自然基金,国家自然青年基金、教育部博士点基金、北京市科委创新基金、协和青年基金等多项课题
· 发表论文 20 余篇,共计他引超过 110 次,最高单篇 SCI 影响因子超过 20发表文章质量高:63.2%的文章均发表在《我国高质量科技期刊分级目录》收录的期刊中;21%的文章位于 T1 区(国际一流期刊),31.6%的文章于 T2 区(国际知名期刊)
· 主译《心脏导管手册》,《结构性心脏病介入治疗》
何怡华
首都医科大学附属北京安贞医院
主任医师/国家二级教授/博士、博士后导师
首都医科大学附属北京安贞医院心脏超声医学中心主任、胎儿心脏病母胎医学中心主任;
受国家卫健委委托牵头制定《胎儿心脏病诊断咨询及管理指南》;作为首席专家牵头科技部十三五国家重点研发计划1项、参与十三五国家重点研发计划1项,承担科技部十二五国家科技支撑计划及科技部国际合作、国家自然科学基金、北京自然科学基金等多个国家级和省部级项目。
第一完成人获得2020年教育部科学技术进步奖二等奖;第一完人获得2021年第四届妇幼健康科学技术奖一等奖;
中国心胸血管麻醉学会心血管超声分会主任委员、中华医学会超声医学分会第十届委员会妇产超声学组副组长、国家人口与健康数据平台胎儿心脏首席专家、中国妇幼保健协会胎儿心脏病防治专业委员会第一届主任委员、中国风湿免疫病相关生殖及妊娠研究委员会副主任委员、中国医师协会医学遗传医师分会妇幼保健专业委员会第一届委员会副主任委员等;全国产前诊断专家组成员;中国优生科学协会出生缺陷预防专业委员会常务委员
何怡华教授团队目前有成员40名,团队目前在外科术中及介入治疗领域主攻开发成人介入瓣膜远程协同机器人系统,远程机械臂自动图像采集及图像判读诊断系统,在国内相关领域处于技术领先水平。近十年何怡华教授一第一及责任作者发表国内核心期刊文章260余篇,SCI 76余篇,国际会议发言30余次。主编出版专著《胎儿超声心动图学》,再版《经食管超声心动图学》。

