经典病例
近日,宁波市医疗中心李惠利医院,心内科成功完成一例 Type -1型瓣叶增厚二叶瓣重度主动脉瓣狭窄经导管主动脉瓣膜置换手术。在医院多学科的共同协助配合下,手术顺利完成,目前患者出院,随访良好,无传导阻滞。宁波市医疗中心李惠利医院已成功完成经导管主动脉瓣置换术10余例,无严重并发症。成为省内少数能独立开展TAVI手术的中心,并处于业内领先水平。
病史简介
患者:男,64岁。
主诉:因“发热”入院,随后检查心脏彩超提示:主动脉瓣重度狭窄伴中重度关闭不全。门诊预收入住院。
既往史:前列腺癌。无腹痛,血尿,尿频,尿急,尿痛不适。
术前检查
心脏彩超
最高跨瓣压差:69mmHg;
平均跨瓣压差:46mmHg;
左室射血分数EF值::54%;
左室舒张末期内径(LVD):51mm;
主动脉瓣重度狭窄,伴中度偏重度关闭不全(主动脉瓣二叶畸形伴钙化可能)、二尖瓣轻度狭窄伴关闭不全、左室舒张功能减退。
主动脉CT
手术治疗策略
策略制定
陈治奎教授总结了该病例特点:
一方面,左右瓣,瓣叶增厚粘连,导致介入瓣膜植入后,瓣膜挤压下滑风险非常高;
另一方面,无冠窦瓣叶较薄,需预防瓣膜植入后瓣膜向上走的风险;
同时,左右冠脉开口均不高,冠脉开口层面均有瓣叶,窦内空间不大,存在冠脉闭塞风险。
本病例窦部情况可,瓣环周长24mm左右,判断使用VitaFlow24或VitaFlow27号瓣膜。
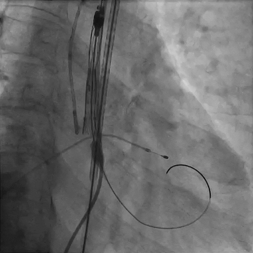
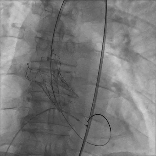
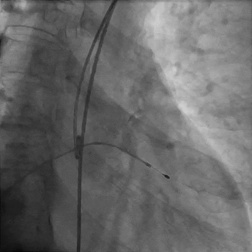
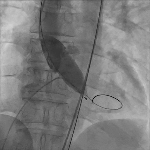
术中精彩操作
主动脉根部造影

导丝跨瓣
球囊预扩
瓣膜初始定位

瓣膜释放至工作体位
瓣膜完全释放,形态完美,无周漏
结语
在多学科协作下,宁波市医疗中心李惠利医院心内科完成首例经股动脉介入主动脉瓣置换术。经过1个小时紧张有序的操作,手术取得圆满成功,患者苏醒后顺利转入病房。陈治奎主任医师说到,相比传统开放手术,经股动脉的TAVI不需要体外循环,不需要打开胸骨,几乎没有明显的失血,麻醉时间更短,创伤小、恢复快。
宁波市医疗中心李惠利医院成功开展TAVR手术10余例,这项国际领先的尖端技术在宁波扎根,为辖区内更多患者带来突破性的医疗新技术福音。
VitaFlow®牛心包经导管主动脉瓣膜系统是由上海微创心通医疗科技有限公司自主研发,其领先的设计理念使术中操作更为流畅高效。牛心包具有良好的耐久性,PET双层裙边贴合原始解剖结构,在有效减少瓣周漏的同时,使瓣膜定位更为准确;全球领先电动输送系统配合混合密度支架进一步实现术中精准控制,稳定释放,为患者带来更优质的手术效果。
专家简历
陈治奎
宁波市心脏大血管诊疗中心主任医师、硕士生导师
担任中国医药教育协会心血管专业分会委员;
浙江省医学会心血管病分会委员兼结构性心脏病学组副组长;
浙江省预防医学会心脑血管病防治分会委员;
宁波市医学会心血管病分会委员兼秘书;
曾以访问学者身份于美国Vanderbilt大学学习冠脉介入,多次于韩国峨山医院、日本札幌东德洲会病院等医院培训学习。擅长冠心病介入治疗,尤其对复杂、严重冠脉病变的介入治疗有深入研究,带领团队率先在院内开展经导管主动脉瓣置换术。曾获得首届“宁波市十大优秀青年医师”提名奖、第12届“宁波市十大杰出青年”等荣誉称号。主持或参与多项国家级及省市级课题,以第一作者发表论文20余篇,获多项省级科研创新奖。
