2021年11月5日,厦门大学附属心血管病医院王焱院长团队完成了由厦心和启晨医疗集团有限公司共同研发的SIRIUS AFR的首例人体植入。患者症状明显改善,今日出院。
本次手术的成功也标志着SIRIUS AFR FIM试验正式拉开帷幕,国产心房分流器系统迈入新的征程。
病史特点:
患者男性,57岁,体重80 kg, 2017年因“胸闷伴活动后气喘,偶有心悸,伴咳嗽”就诊治疗,心脏彩超显示:全心扩大,以左室扩大为主,LVEF 31%,考虑心肌病、心功能不全,NYHA II级,2型糖尿病,予利尿、降脂、降低心脏耗氧、抑制心脏重构等药物保守治疗后出院。
1年来患者反复心衰症状发作,夜间呼吸困难,活动耐量明显减退,门诊强化药物治疗,心衰仍进行性加重,住院后评估:NYHA III 级,心脏彩提示:LVEF 24%,LA 39mm,LVD 68mm。1、左心扩大;左室壁整体运动幅度普遍减低。2、主动脉窦部及升主动脉增宽,肺动脉增宽。3、轻度二尖瓣反流。4、左室整体收缩功能明显减低,舒张功能Ⅲ级减退。
手术基本情况:
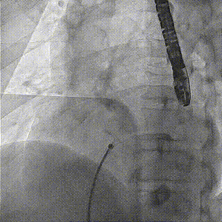
患者于2021年11 月5 日在全麻下进行心房分流器植入。术中右心导管测量肺动脉19mmHg,PCWP 16mmHg,右房压4 mmHg,平均压力梯度5 mmHg。手术中全麻下使用经食道超声确认房间隔穿刺部位在卵圆窝附近,穿刺成功后在送入加硬导丝轨道支撑。根据患者病情及血流动力学结果,使用6 mm球囊预扩张,选择孔径6 mm心房分流器植入,透视下测量分流孔径6mm,孔径精准达标。植入后即刻效果明显,左房负荷超载和肺淤血明显减轻,血流动力学指标改善。肺动脉压降低至18mmHg,PCWP降至6mmHg,右房压降至3 mmHg,平均压力梯度维持在3 mmHg。心房分流器植入部位准确,形态良好,效果理想,释放卸载分流器。
房间隔球囊扩张
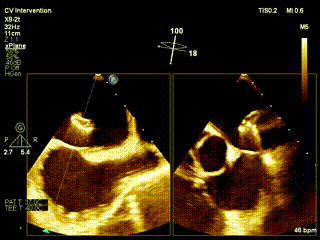
左房伞释放
食道超声确认:分流器左房伞位于左房
右房伞释放
器械整体释放
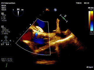
超声可见左向右分流束
SIRIUS AFR心房分流器系统
根据流行病学数据,仅美国就有620万成年心力衰竭患者,而国内现患人群约有1370万,随着人口老龄化加重,心衰人群将进一步扩大。此类患者往往每年需反复住院,生活质量差,病情缺乏有效控制。心力衰竭的临床症状主要是由于PCWP及左房压升高(即左心房超负荷)导致的肺淤血导致,负荷状态下的PCWP升高程度也与其临床症状、远期死亡率及预后率呈正相关。对比正常人群,心衰患者在静息或负荷状态下PCWP均可显著升高,且PCWP升高与最大耗氧量降低呈现明显的正相关,可以作为心衰患者预后的独立预测因素。既往文献报道,鲁登巴赫综合征(二尖瓣狭窄合并房间隔缺损)的患者临床症状出现更晚,程度更轻,是由于房间隔缺损显著降低了左心房压力。相比左心系统,右心系统对容量负荷有着更好的耐受性,其能作为潜在容器承担左心容量超负荷。
对于左心舒张功能障碍导致的左心房超负荷,通过房间隔分流器造成稳定的左向右分流,可极大减轻左心负荷,缓解肺淤血及呼吸困难,同时不显著增加右心负担及降低心排量,也不引起反常栓塞,从而改善患者呼吸困难症状和活动耐量,改善生活质量,并可减少左房压急性升高导致的急性心衰、肺水肿和反复的再住院。这对广大该类左心衰竭患者的治疗将是一种福音。
专家介绍

厦门市心血管疾病重点实验室主任,美国心脏病学院院士(FACC);香港大学医学院博士,中华医学会心血管病分会全国委员,中华医学会心血管病学分会介入心脏病学组副组长,卫生部海峡两岸医药交流协会心血管分会候任主任委员,中国胸痛中心认证工作委员会副主任委员,中国医师协会心血管内科医师分会委员,中国老年学学会心血管专业委员会常委。国务院特殊津贴专家,厦门市首届医学科学与技术带头人,厦门市科学技术重大贡献奖获得者,厦门经济特区建设30周年杰出建设者,第九届中国医师奖获得者。
门诊时间:周四下午

主任医师、博士、副教授、急诊科主任
主要从事心血管内科临床、冠脉介入、瓣膜性心脏病微创介入及胸痛中心建设、维护及认证工作。任中国胸痛中心区域认证中心(厦门)分中心办公室主任、中华医学会心血管病学分会结构性心脏病学组委员、中国胸痛中心认证专家、中国医师协会心力衰竭专业委员会青年工作委员会第一届委员、中国医疗保健国际交流促进会血管疾病高血压分会委员、福建省医学会心血管病分会委员、海峡两岸卫生交流协会心血管分会委员、中国研究型医院学会心血管分会委员。
门诊时间:周二上午,周三下午