2021年10月21日,陆军军医大学第二附属医院心内科晋军主任团队成功应用TriGUARD3™抗栓塞远端脑保护装置完成经导管主动脉瓣置换术。这是TriGUARD3™中国临床试验在西南地区的首例入组。
患者基本情况:
老年女性;主诉:活动后气促,乏力一年余,加重伴胸痛1月余;超声结果:主动脉瓣上收缩期峰值流速539cm/s,峰值压差116mmHg,平均压差70mmHg;CT结果:髂动脉轻度弯曲,几乎无钙化。主动脉弓严重弯曲,轻度钙化。主动脉瓣严重钙化;诊断:主动脉瓣增厚并明显钙化,重度狭窄,微量反流。
手术策略:
晋军主任团队会诊后认为,病人主动脉瓣钙化较为严重,存在横位心的跨瓣难度,以及球扩后钙化脱落风险,因此选择在脑保护装置的辅助下完成TAVR手术。
手术过程:
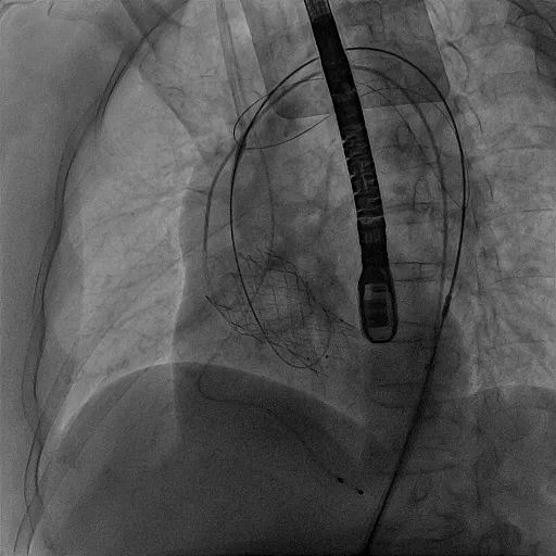
手术开始后,使用猪尾导管在无名动脉在造影辅助下选定TriGUARD3™锚定区,确认释放位置,经由左股动脉送入脑保护装置,使脑保护装置完全覆盖头臂动脉、左颈总动脉、左锁骨下动脉开口。
TriGUARD3™定位
TriGUARD3™完成释放
晋军主任团队在手术中,克服了横位心和扭曲主动脉等难题,为患者植入一枚VenusA-Valve® L23型号的人工主动脉瓣膜。人工主动脉瓣置入后,病人人工主动脉瓣口收缩期峰值血流速度150cm/s,峰值压差9mmHg,平均压差3mmHg。
介入瓣膜释放位置非常满意,血流动力学效果非常好。
TriGUARD3™下释放瓣膜
TriGUARD3™抗栓塞远端脑保护装置在介入瓣膜释放完成后撤出,术中未出现任何并发症。
VenusA-Valve完成释放
TriGUARD3™脑保护装置作为第一个进入人体,最后一个撤出,离开人体的器械。有效阻挡整个TAVR手术过程中栓塞物质进入脑部,从而避免新发大面积脑梗塞病灶产生,降低脑卒中的发生率。
术后被取出的TriGUARD3™脑保护装置
专家简介
博士研究生导师,主任医师,教授;第三军医大学全军心血管病研究所主任。 重庆市首批医学领军人才,重庆市学术技术带头人。现任陆军军医大学新桥医院心内科主任、全军心血管病研究所所长,美国心脏病学会专家会员(FACC)、亚洲心脏病学会理事、中华医学会心血管专业委员会大血管学组副组长、重庆市医学会内科学专业委员会主任委员、《中华心血管病杂志》编委。
寄语
晋军教授表示:TriGUARD3™抗栓塞远端脑保护装置操作简单,不会对介入瓣膜的操作带来负面影响。在TAVR手术过程中,全程保护病人脑部,减少脑血管问题的发生,为患者带来获益。