实践检验价值:西安交通大学第一附属医院刘平教授团队成功演示阿格斯OCT系统指导下的高危复杂PCI

从规模上看,中国已经是全球第二大医疗市场。然而,如CT类、磁共振MRI类、核医学类以及心血管成像等大型高精尖诊断器械,长期被外资巨头垄断。其中OCT作为医学界的“光学活检”,开创了冠脉动脉腔内影像检查的里程碑。让OCT设备实现中国造,对我国心血管疾病的精准治疗起到了极大的助推作用。

2020年12月,本土企业阿格斯研发的Argus Clarity® OCT正式获批,NOPURGE®成像导管也在三月后获批上市,打破了外企垄断这一僵局,给中国精准冠脉介入治疗带来全新的选择。

10月29日,在GW-ICC 2021冠脉PCI专场,西安交通大学第一附属医院刘平教授团队带来一场多支血管弥漫病变合并回旋支CTO的精彩病例演示,展示了阿格斯OCT系统的应用效果。

患者情况

患者明确冠心病病史多年,既往于右冠开口、右冠中段、回旋支中段各植入支架一枚。近期反复发作不稳定心绞痛,轻度活动即可诱发,发作时心电图呈现前壁导联广泛压低。

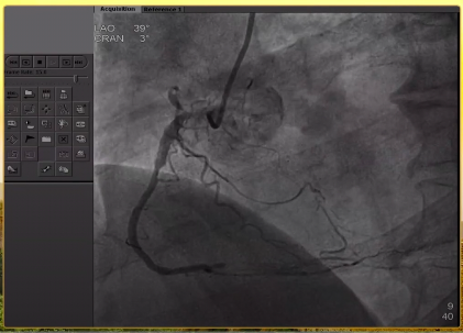
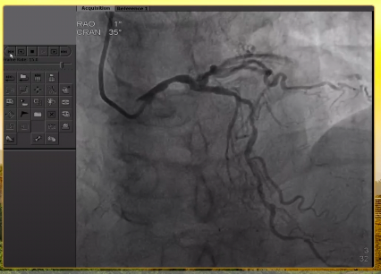
造影结果

左主干偏心斑块,重度狭窄;前降支中段重度狭窄;回旋支开口扭曲伴重度狭窄,支架远端完全闭塞,高位钝缘支开口重度狭窄;右冠开口次全闭塞,开口处可见支架影,中段支架远端完全闭塞。

图片

前降支、回旋支造影结果

图片

 右冠造影结果

手术策略

结合患者症状特点和造影检查结果,由于心电图主要表现为前壁导联广泛压低,本次手术重点处理前降支及回旋支病变。计划先开通回旋支CTO病变,再通过IVUS评估回旋支内支架及开口病变情况,最后决定左主干体部处理方式。

手术过程

1、术前IVUS评估结果

前降支:中段弥漫性偏心斑块,狭窄最重部位以致密纤维斑块为主,伴薄层钙化,第一间隔支汇入部位存在重度斑块负荷,第一对角支汇入部位存在纤维斑块伴回声衰减。

图片

前降支病变IVUS影像

左主干存在偏心斑块,延续至开口上沿,最小管腔面积仅4.8mm²。

图片

左主干IVUS影像特点

回旋支:开口面积4.26mm²。支架内近段存在再狭窄伴钙化,支架内近段血管内膜轻度增生,无明显动脉硬化表现。支架远端原位血管闭塞。

图片

回旋支IVUS结果

2、血管处理

整体策略:重点处理前降支及回旋支病变。计划先开通回旋支CTO病变,再通过IVUS评估回旋支内支架及开口病变情况,最后决定左主干体部处理方式。

处理流程:

回旋支开口处存在高位钝缘支开口,合并95%狭窄,使用2.0mm球囊预扩张,2.5mm切割球囊两次切割;

回旋支开口预埋2.5×15球囊,适当预扩,远端闭塞段开通后支架边缘2.5×15球囊扩张,支架远端2.25×30药物球囊扩张;

左主干到前降支放入3.5×33支架;回旋支开口处放入2.5×15球囊进行主动保护;

左主干延伸至前降支近端支架用3.5×15球囊后扩。

IABP保护下3.0X20药物球囊扩张回旋支开口病变;与左主干内3.5×15球囊对吻;最后使用4.0球囊后扩左主干开口。

图片

最终干预效果

3、术后效果评估

术后联合使用阿格斯OCT系统和IVUS进行评估血管情况。

阿格斯OCT系统验证结果:前降支支架贴壁良好,管腔内面积达标,主干血管面积稍小,采用4.5球囊进行后扩处理。

图片

前降支OCT验证效果

IVUS验证结果:左主干延伸至前降支内支架膨胀均匀,贴壁良好;左主干管腔最小面积超过10mm²,支架盖出左主干开口下缘、覆盖上缘。回旋支开口扭曲,面积达6.84mm2(术前为4.5mm²)。

图片

术后IVUS验证

术后点评:

最后,围绕该病例的病变特点和手术策略选择,刘平教授与参会专家进行了交流。刘平教授谈到,该患者血管病变严重,解剖结构扭曲,介入治疗难度大。且既往已植入多枚支架,本次造影提示支架内及自体血管多处狭窄,腔内影像学技术如OCT和IVUS对于干预策略制定、干预位置选择及干预效果评估具有重要作用。

阿格斯OCT系统图像成像清晰,术前不需要清洗,可以简化手术流程,而且图像成像质量好,在冠脉介入过程中的合理应用有助于指导优化治疗效果,尤其对于此类重度病变患者,需要在确保手术质量的同时尽量缩短手术时长,阿格斯OCT系统具有独特优势。

进口替代是未来十年医疗器械发展的主旋律。OCT作为目前分辨率最高的腔内影像学技术,弥补了传统影像技术的缺陷,并随着循证医学证据的不断增加,在冠脉介入指南中的推荐地位也越来越高。相信随着以阿格斯OCT系统为代表的国产影像器械逐步推广,可以推动介入影像工具创新及普及,惠及更多的医生和患者。

阅读数: 2431